症例詳細
Case detail
むし歯だらけの前歯をオールセラミッククラウンできれいに
治療症例の内容
- 患者様
- 40代女性
- 治療期間
- 9ヶ月
- 治療回数
- 5-10回
- 治療計画
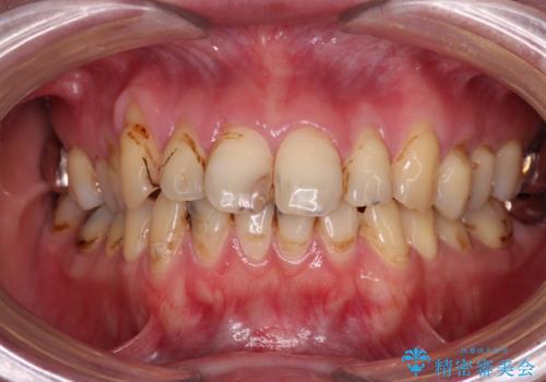
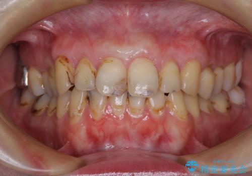
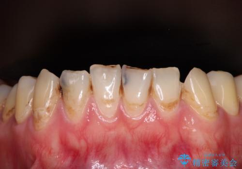
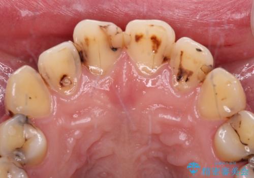
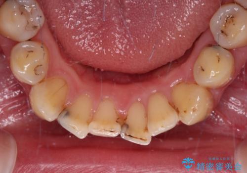
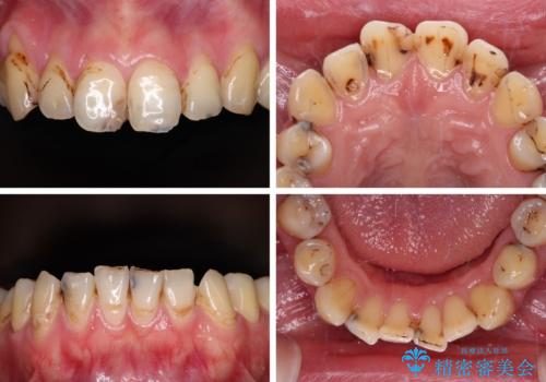
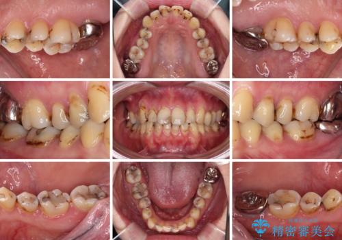
- 上下前歯や奥歯の虫歯治療を希望して来院された患者様です。
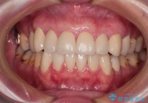
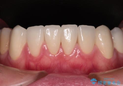
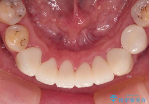
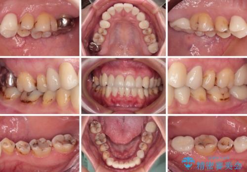
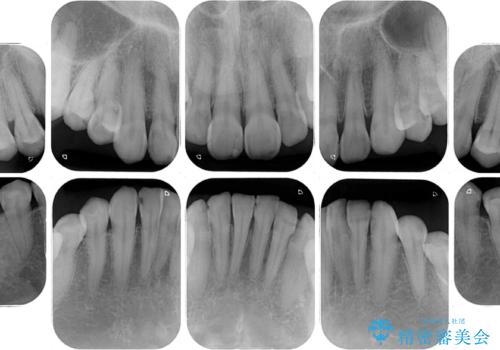
全顎的にむし歯が多く、根管治療の必要奥歯や、審美的に気になっている前歯を中心にオールセラミッククラウンにて補綴治療を行うこととしました。
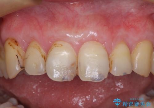
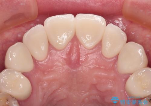
上顎前歯は歯肉退縮により歯根が露出していたため、事前に歯肉移植術により根面被覆を行い、その後にオールセラミッククラウンを装着することとしました。
- 費用(概算)
- 治療費の目安: 205万円(税込)費用は治療当時の料金となります
治療について
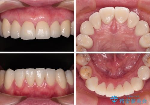
歯肉移植術による根面被覆を行うかどうかは非常に悩まれていましたが、歯肉が覆われたことで長く見えていた歯の長さが整い、きれいな前歯の仕上がりとなりました。
外科処置の注意事項(リスク・副作用など)
- 外科手術のため、術後に出血、痛みや腫れ、違和感を伴います
- 口腔内の状態によっては適応できないことがあります
セラミック治療の注意事項(リスク・副作用など)
- 天然歯を削ります
- 硬い素材は天然歯を傷つけてしまう場合があります
- かみ合わせや歯ぎしりが強すぎる方はセラミックが割れてしまう可能性があります
- 自費診療(保険適用外治療)となります
当サイトの内容、テキスト、画像等の無断転載、複製、複写、盗用を固く禁じます。





















