症例詳細
Case detail
むし歯で歯茎から血が出てくる オールセラミッククラウンでの補綴治療
治療症例の内容
- 診療科目
- 治療カテゴリ
- 担当医
- 藤巻太一朗(ドクタープロフィール)
- 患者様
- 40代女性
- 治療期間
- 2ヶ月
- 治療回数
- 2-5回
- 治療計画
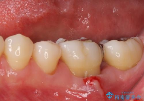
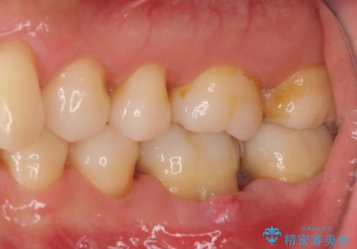
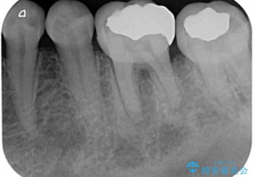
- 以前処置をした歯の歯肉からの出血するとのことで来院された患者様です。
以前むし歯治療をした後から定期的に痛むことがあるとのことで、レントゲン写真より神経組織が失活していることが予想されました。
銀歯を外すと神経組織の一部が取り除かれており、歯根に付け根に穴が空けられている状態でした。
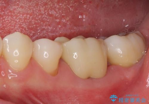
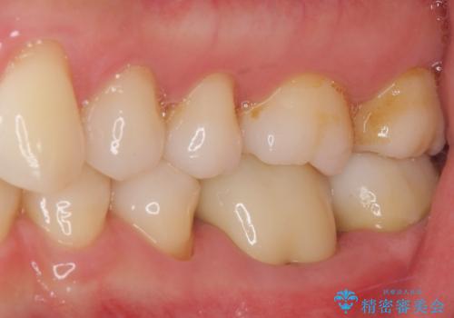
出血の原因は以前の治療で空けられた穴であると考え、封鎖をするとともに根管治療を行い、その後オールセラミッククラウンにて補綴治療を行うこととしました。
- 費用(概算)
- 治療費の目安: 25万円(税込)費用は治療当時の料金となります
治療について
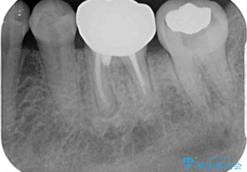
術後6ヶ月でレントゲン写真を撮影したところ、出血の原因であった穴付近の溶けていた骨が回復している様子が認められました。
セラミック治療の注意事項(リスク・副作用など)
- 天然歯を削ります
- 硬い素材は天然歯を傷つけてしまう場合があります
- かみ合わせや歯ぎしりが強すぎる方はセラミックが割れてしまう可能性があります
- 自費診療(保険適用外治療)となります
当サイトの内容、テキスト、画像等の無断転載、複製、複写、盗用を固く禁じます。










