症例詳細
Case detail
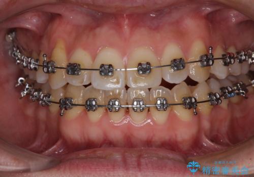
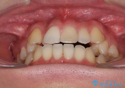
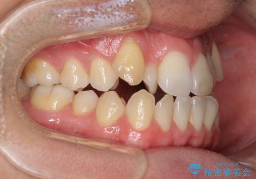
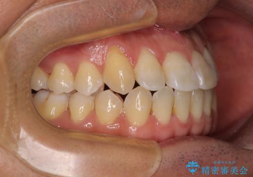
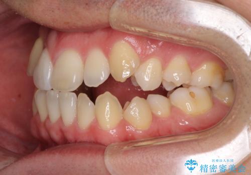
左右の八重歯が気になる ワイヤー装置での咬み合わせ改善
治療症例の内容
- 担当医
- 藤巻太一朗(ドクタープロフィール)
- 患者様
- 30代男性
- 矯正装置
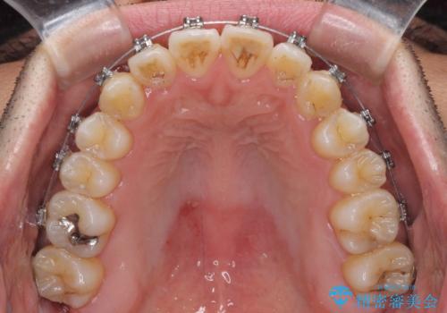
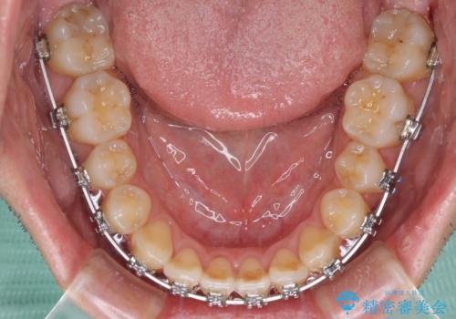
- メタルブラケット
- 治療期間
- 4年1ヶ月
- 治療回数
- 10-30回
- 治療計画
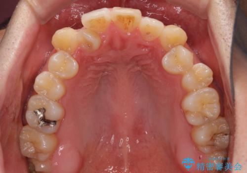
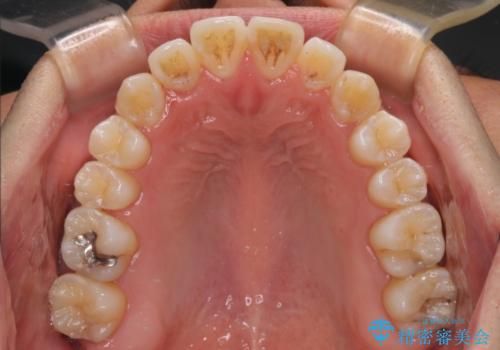
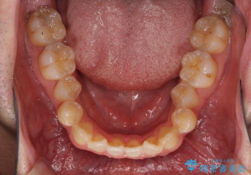
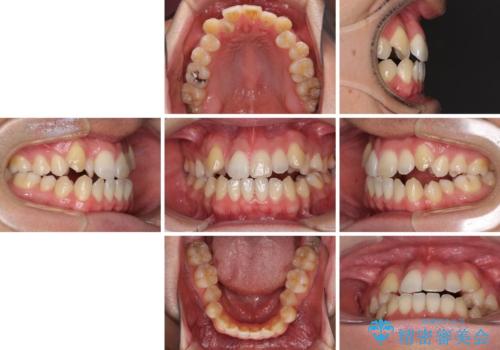
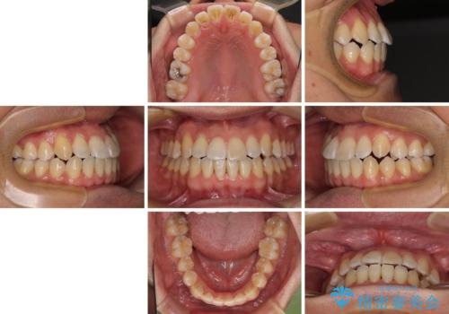
- 八重歯と前歯のデコボコを気にして来院された患者様です。
営業職であり、商談などで飲食をする機会が多いとのことで、インビザラインではなく、ワイヤー装置にて矯正治療を行うこととしました。
- 費用(概算)
- 治療費の目安: 85万円(税込)費用は治療当時の料金となります
治療について
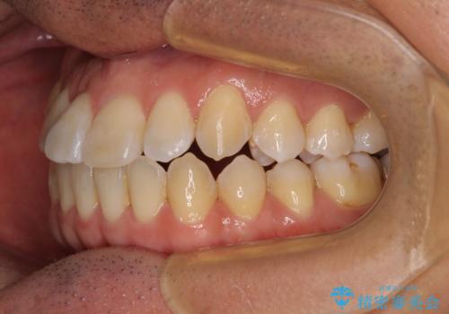
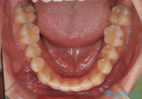
舌の突出癖がなかなか改善されず、上下前歯部の接触が得られるまでに予定の倍ほどの期間がかかりました。
ワイヤー矯正の注意事項(リスク・副作用など)
- 治療中は違和感や痛みが起こることがあります
- 症状により、抜歯が必要な場合があります
- 治療中は歯磨きがしにくくなるため、虫歯や歯周病になりやすくなります
- 矯正治療後の保定が不十分だと後戻り(元の位置に戻ろうとする動き)をします
- 自費診療(保険適用外)となります
当サイトの内容、テキスト、画像等の無断転載、複製、複写、盗用を固く禁じます。


























