症例詳細
Case detail
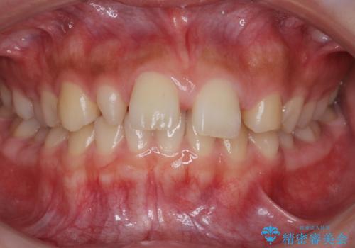
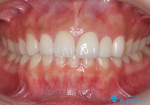
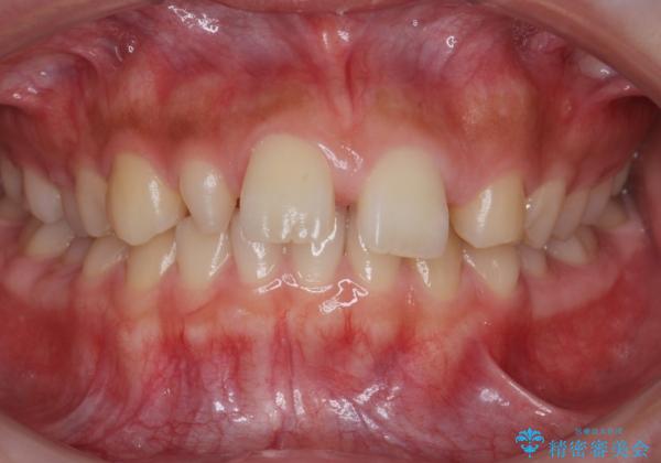
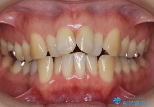
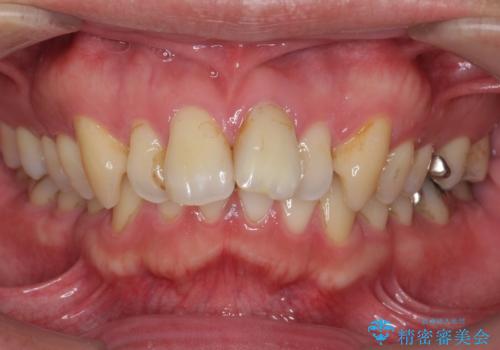
前歯が出っ歯ですきっ歯 抜かずに前歯を見た目良く
治療症例の内容
- 患者様
- 20代女性
- 矯正装置
- インビザライン
- 治療期間
- 2年3ヶ月
- 治療回数
- 10-30回
- 治療計画
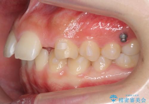
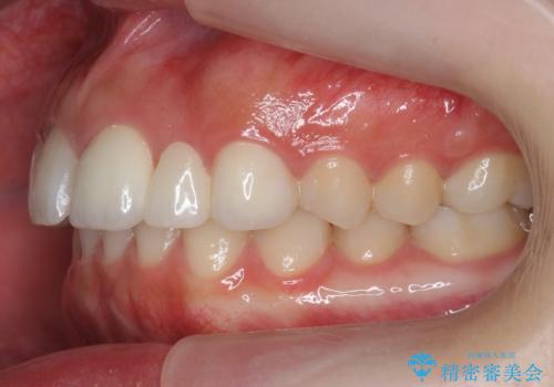
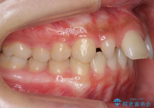
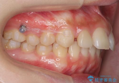
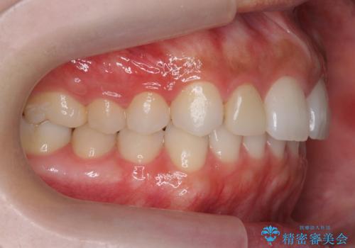
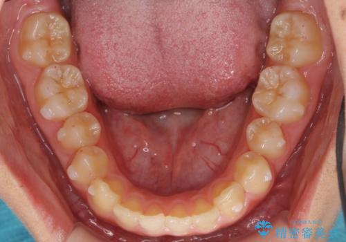
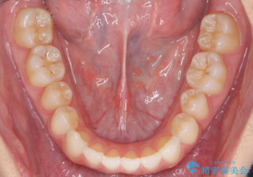
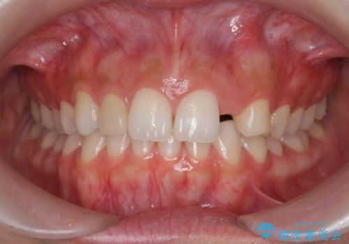
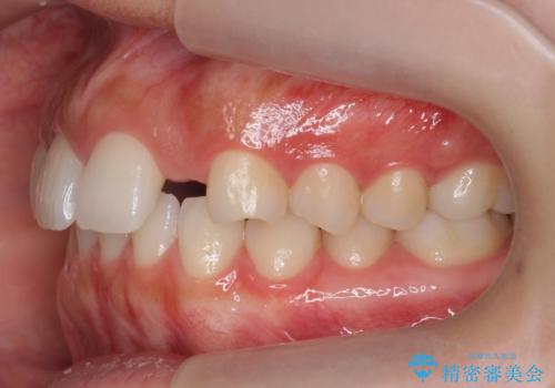
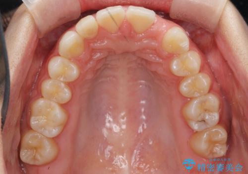
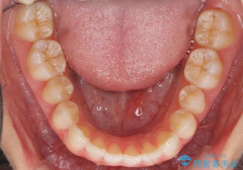
- 前歯の並びを主訴に来院。
前歯が出ており、また、左上の側切歯が1本生まれつき少ない状態でした。
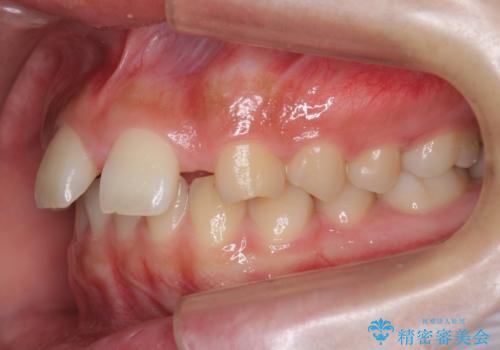
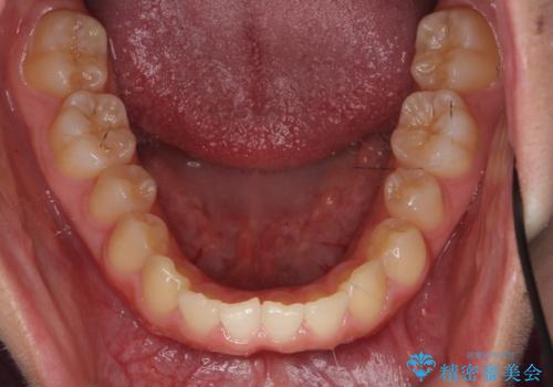
また、右の奥歯の関係も上が前にある状態で大きくずれていました。
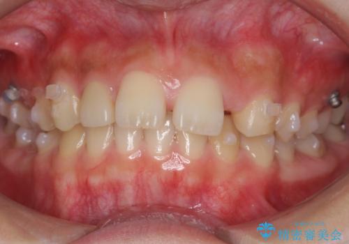
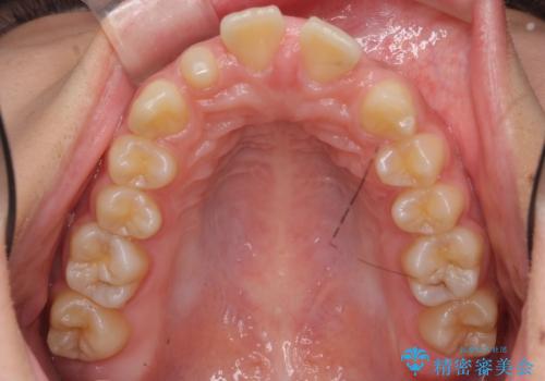
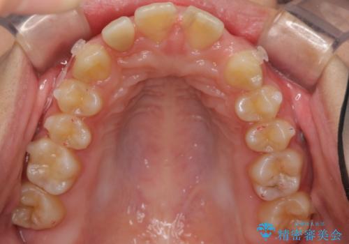
臼歯関係は無理に1級にしようとすると抜歯が必要になります。
今回は左右とも1歯対2歯の関係であるため、それは変えずに前歯を可及的にひっこめて足りない部分をブリッジで補う治療としました。
矯正後の前歯ブリッジについては横浜桜木町歯科の大元院長が担当しています。
- 費用(概算)
- 104.5万円(マウスピース矯正 93.5万円、矯正用スクリュー11万円) 前歯ブリッジ代は別途費用は治療当時の料金となります
治療について
奥歯の関係を完全に1級にするには右上の小臼歯の抜歯が必要でしたが、もともと左上の前歯が生まれつき少ないため今回は歯を抜かずに治療しています。
マウスピース矯正の注意事項(リスク・副作用など)
- 口腔内・歯並びの状態によっては対応できない場合があります
- マウスピース型矯正装置の長時間装着(1日20時間以上)が必須です
- 治療計画通りに進めるためには、患者様の意志が重要になります
- 矯正治療後の保定が不十分だと後戻り(元の位置に戻ろうとする動き)をします
- 薬機法対象外の矯正歯科装置のため医薬品副作用被害救済制度の対象外となる場合があります
- 自費診療(保険適用外)となります
セラミック治療の注意事項(リスク・副作用など)
- 天然歯を削ります
- 硬い素材は天然歯を傷つけてしまう場合があります
- かみ合わせや歯ぎしりが強すぎる方はセラミックが割れてしまう可能性があります
- 自費診療(保険適用外治療)となります
当サイトの内容、テキスト、画像等の無断転載、複製、複写、盗用を固く禁じます。





















