症例詳細
Case detail
装着感の良い入れ歯を作りたい 金属床を使用した適合の良い部分床義歯
治療症例の内容
- 担当医
- 藤巻太一朗(ドクタープロフィール)
- 患者様
- 50代男性
- 治療期間
- 1年2ヶ月
- 治療回数
- 5-10回
- 治療計画
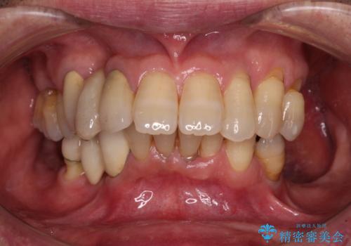
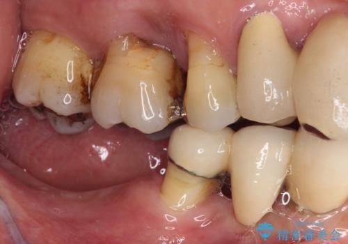
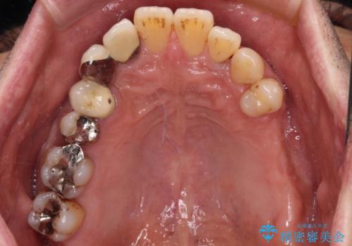
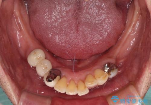
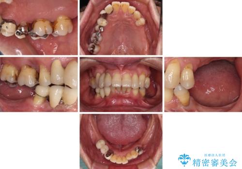
- 以前入れ歯を製作したものの、装着感が悪く使用できなかったとのことで来院された患者様です。
インプラントによる治療プランも提案しましたが、インプラントは避けたいとのご希望であったため、入れ歯による補綴治療を行うこととしました。
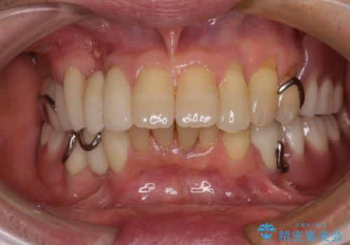
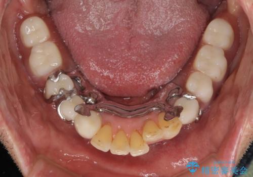
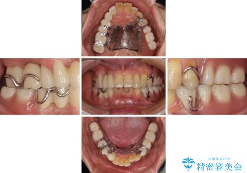
自費治療の義歯は装着感がとても良いですが、急に入れ歯を装着すると、異物感が強く継続使用できなくなるため、仮歯の期間中に保険治療での義歯を装着してもらい、口腔内を義歯に慣れさせるようにしました。
- 費用(概算)
- 治療費の目安: 225万円(税込)費用は治療当時の料金となります
治療について
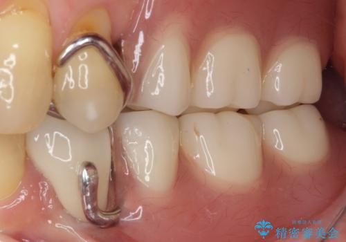
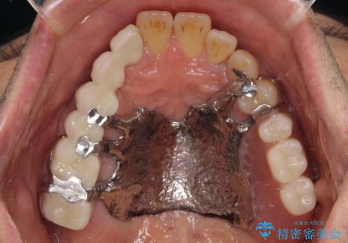
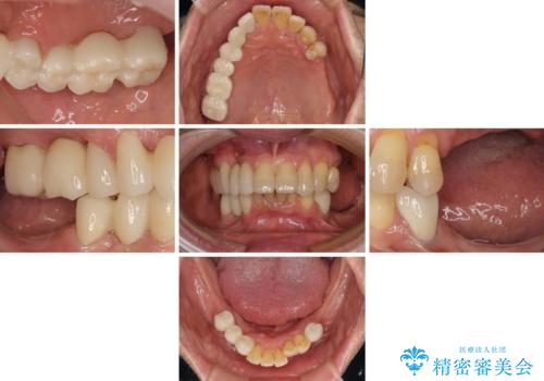
より適合の良い義歯とするため、セラミッククラウンなどは義歯の設計に合わせた土台の歯となるよう全て再製作をし、安定感に優れた義歯を製作することができました。
セラミック治療の注意事項(リスク・副作用など)
- 天然歯を削ります
- 硬い素材は天然歯を傷つけてしまう場合があります
- かみ合わせや歯ぎしりが強すぎる方はセラミックが割れてしまう可能性があります
- 自費診療(保険適用外治療)となります
入れ歯の注意事項(リスク・副作用など)
- ブリッジやインプラントと比較して、色が合いづらい、見た目の違和感があります
- ブリッジやインプラントと比較して、話しにくい、舌が当たる等の違和感があります
- 慣れるまで微調整で何度か通って頂くことがあります
- 就寝時や食後に毎回取り外して、清掃する必要があります
- 自費診療(保険適用外)となります
当サイトの内容、テキスト、画像等の無断転載、複製、複写、盗用を固く禁じます。














