症例詳細
Case detail
[40代男性・受け口] 下のみ抜歯の矯正治療
治療症例の内容
- 患者様
- 40代男性
- 矯正装置
- 審美装置
- 治療期間
- 2年11ヶ月
- 治療回数
- 10-30回
- 治療計画
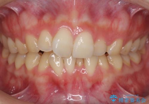
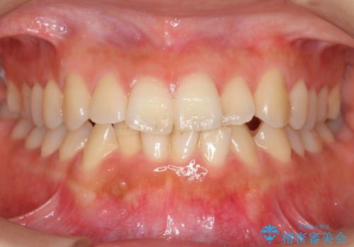
- 前歯の反対咬合を主訴に来院。
上の犬歯2本はすでに抜歯されており、隙間がありました。
歯の数を揃えて下の前歯を下げるため、下を二本抜歯して並べました。
時間は多少かかりましたが、治療結果には大変満足していただきました。
- 費用(概算)
- 80万円(装置代)費用は治療当時の料金となります
治療について
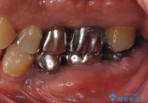
40代男性ということもあり、なかなか下の臼歯が動かず隙間を閉じるのが大変でしたが、無事治療を終えることができました。
現在、すべての詰め物のやりかえを行っています。
ワイヤー矯正の注意事項(リスク・副作用など)
- 治療中は違和感や痛みが起こることがあります
- 症状により、抜歯が必要な場合があります
- 治療中は歯磨きがしにくくなるため、虫歯や歯周病になりやすくなります
- 矯正治療後の保定が不十分だと後戻り(元の位置に戻ろうとする動き)をします
- 自費診療(保険適用外)となります
当サイトの内容、テキスト、画像等の無断転載、複製、複写、盗用を固く禁じます。

![[40代男性・受け口] 下のみ抜歯の矯正治療の治療前](https://seimitsushinbi.jp/wp/wp-content/uploads/2017/10/C12-500x350.jpg)
![[40代男性・受け口] 下のみ抜歯の矯正治療の治療中](https://seimitsushinbi.jp/wp/wp-content/uploads/2017/10/C721-500x350.jpg)
![[40代男性・受け口] 下のみ抜歯の矯正治療の治療後](https://seimitsushinbi.jp/wp/wp-content/uploads/2017/10/C1381-500x350.jpg)
![[40代男性・受け口] 下のみ抜歯の矯正治療の治療前](https://seimitsushinbi.jp/wp/wp-content/uploads/2017/10/C22-500x350.jpg)
![[40代男性・受け口] 下のみ抜歯の矯正治療の治療中](https://seimitsushinbi.jp/wp/wp-content/uploads/2017/10/C731-500x350.jpg)
![[40代男性・受け口] 下のみ抜歯の矯正治療の治療後](https://seimitsushinbi.jp/wp/wp-content/uploads/2017/10/C139-500x350.jpg)
![[40代男性・受け口] 下のみ抜歯の矯正治療の治療前](https://seimitsushinbi.jp/wp/wp-content/uploads/2017/10/C32-500x350.jpg)
![[40代男性・受け口] 下のみ抜歯の矯正治療の治療中](https://seimitsushinbi.jp/wp/wp-content/uploads/2017/10/C741-500x350.jpg)
![[40代男性・受け口] 下のみ抜歯の矯正治療の治療後](https://seimitsushinbi.jp/wp/wp-content/uploads/2017/10/C142-500x350.jpg)
![[40代男性・受け口] 下のみ抜歯の矯正治療の治療前](https://seimitsushinbi.jp/wp/wp-content/uploads/2017/10/C43-500x350.jpg)
![[40代男性・受け口] 下のみ抜歯の矯正治療の治療中](https://seimitsushinbi.jp/wp/wp-content/uploads/2017/10/C751-500x350.jpg)
![[40代男性・受け口] 下のみ抜歯の矯正治療の治療後](https://seimitsushinbi.jp/wp/wp-content/uploads/2017/10/C143-500x350.jpg)
![[40代男性・受け口] 下のみ抜歯の矯正治療の治療前](https://seimitsushinbi.jp/wp/wp-content/uploads/2017/10/C52-500x350.jpg)
![[40代男性・受け口] 下のみ抜歯の矯正治療の治療中](https://seimitsushinbi.jp/wp/wp-content/uploads/2017/10/C762-500x350.jpg)
![[40代男性・受け口] 下のみ抜歯の矯正治療の治療後](https://seimitsushinbi.jp/wp/wp-content/uploads/2017/10/C144-500x350.jpg)
![[40代男性・受け口] 下のみ抜歯の矯正治療の治療前(顔貌)](https://seimitsushinbi.jp/wp/wp-content/uploads/2017/10/C72.jpg)
![[40代男性・受け口] 下のみ抜歯の矯正治療の治療後(顔貌)](https://seimitsushinbi.jp/wp/wp-content/uploads/2017/10/C153.jpg)