症例詳細
Case detail
デコボコと膨らんだ口元 ハーフリンガルによる抜歯矯正とインプラント補綴治療
治療症例の内容
- 患者様
- 20代女性
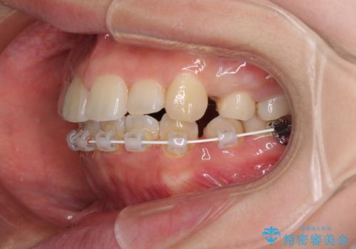
- 矯正装置
- ハーフリンガル
- 治療期間
- 4年4ヶ月
- 治療回数
- 30回以上
- 治療計画
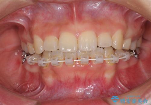
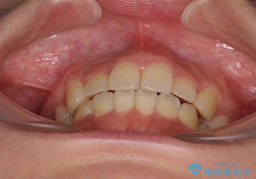
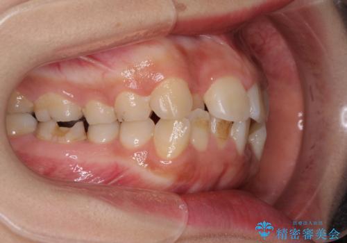
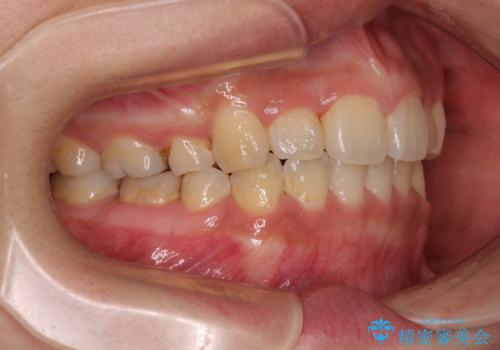
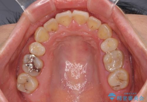
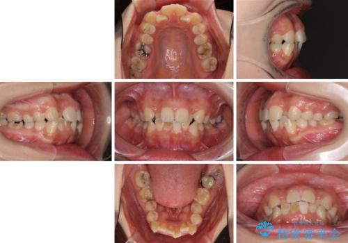
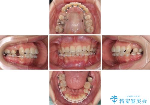
- 前歯のデコボコと上顎の前突感による口の閉じにくさを気にして来院された患者様です。
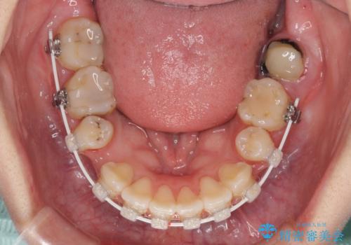
目立たない装置を希望されたので、上顎が裏側装置のハーフリンガルを選択し、上下左右の小臼歯(計4歯)を抜歯して矯正治療を行うこととしました。
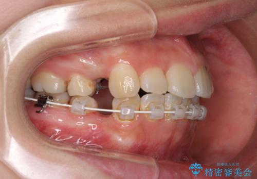
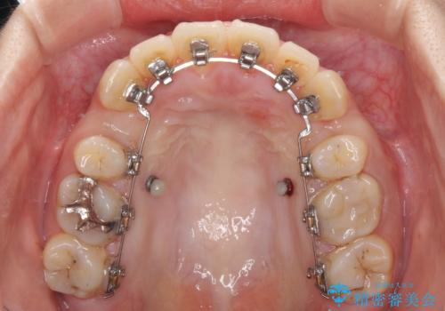
また、左下の奥歯は抜歯が必要な歯であったため、矯正治療中の良いタイミングで抜歯とインプラント埋入を行い、矯正治療後にオールセラミッククラウンで補綴治療を行うこととしました。
- 費用(概算)
- 治療費の目安: 170万円(税込)費用は治療当時の料金となります
治療について
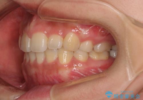
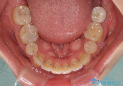
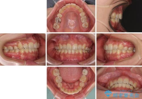
デコボコの解消までは非常にスムーズでしたが、咬合力が強いためか、スペースを閉じるまでに長い期間を要しました。
矯正治療途中にインプラント埋入と仮歯の装着を行ったことで、しっかりとした奥歯の咬み合わせで終了させることができました。
ワイヤー矯正の注意事項(リスク・副作用など)
- 治療中は違和感や痛みが起こることがあります
- 症状により、抜歯が必要な場合があります
- 治療中は歯磨きがしにくくなるため、虫歯や歯周病になりやすくなります
- 矯正治療後の保定が不十分だと後戻り(元の位置に戻ろうとする動き)をします
- 自費診療(保険適用外)となります
インプラント治療の注意事項(リスク・副作用など)
- 外科手術のため、術後に痛みや腫れ、違和感を伴います
- メンテナンスを怠ったり喫煙により、お口の中に大きな悪影響を及ぼすインプラント周囲炎等にかかる可能性があります
- 糖尿病、肝硬変、心臓病等の場合、インプラント治療ができない可能性があります
- 高血圧、貧血・不整脈等の場合、インプラント治療後に治癒不全を招く可能性があります
- 自費診療(保険適用外治療)となります
当サイトの内容、テキスト、画像等の無断転載、複製、複写、盗用を固く禁じます。


























