症例詳細
Case detail
[正中のずれ・前歯のがたがた] 上だけ抜歯で矯正治療
治療症例の内容
- 担当医
- 井上季実子(ドクタープロフィール)
- 患者様
- 20代女性
- 矯正装置
- 審美装置
- 治療期間
- 1年11ヶ月
- 治療回数
- 10-30回
- 治療計画
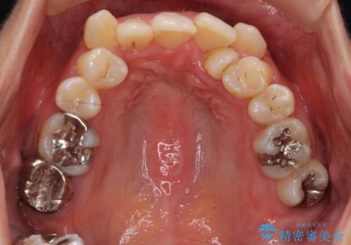
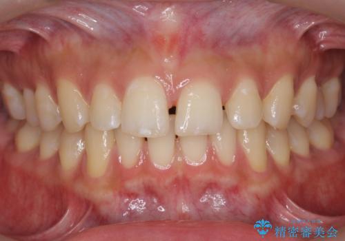
- 前歯のガタガタを主訴に来院。
上の歯のみ二本抜歯して並べました。
八重歯もあり、上顎には矯正用インプラントアンカーを植立しています。
途中3ヶ月ほど急にご来院されない時期があり、お電話やハガキを出して連絡をとり、無事治療を終えることができました。
- 費用(概算)
- 80万円費用は治療当時の料金となります
治療について
初診時に口元が出ていたわけではなかったため、下がりすぎないように上下抜歯は避けました。
臼歯関係が左右とも咬頭対咬頭でずれており、上のみの抜歯で臼歯関係を整えるため、矯正用ミニスクリューを使用しました。
また、上顎の正中が右にずれていたのも左へ寄せました。
ワイヤー矯正の注意事項(リスク・副作用など)
- 治療中は違和感や痛みが起こることがあります
- 症状により、抜歯が必要な場合があります
- 治療中は歯磨きがしにくくなるため、虫歯や歯周病になりやすくなります
- 矯正治療後の保定が不十分だと後戻り(元の位置に戻ろうとする動き)をします
- 自費診療(保険適用外)となります
当サイトの内容、テキスト、画像等の無断転載、複製、複写、盗用を固く禁じます。

![[正中のずれ・前歯のがたがた] 上だけ抜歯で矯正治療の治療前](https://seimitsushinbi.jp/wp/wp-content/uploads/2017/10/C11-500x350.jpg)
![[正中のずれ・前歯のがたがた] 上だけ抜歯で矯正治療の治療中](https://seimitsushinbi.jp/wp/wp-content/uploads/2017/10/C811-500x350.jpg)
![[正中のずれ・前歯のがたがた] 上だけ抜歯で矯正治療の治療後](https://seimitsushinbi.jp/wp/wp-content/uploads/2017/10/C126-500x350.jpg)
![[正中のずれ・前歯のがたがた] 上だけ抜歯で矯正治療の治療前](https://seimitsushinbi.jp/wp/wp-content/uploads/2017/10/C21-500x350.jpg)
![[正中のずれ・前歯のがたがた] 上だけ抜歯で矯正治療の治療中](https://seimitsushinbi.jp/wp/wp-content/uploads/2017/10/C821-500x350.jpg)
![[正中のずれ・前歯のがたがた] 上だけ抜歯で矯正治療の治療後](https://seimitsushinbi.jp/wp/wp-content/uploads/2017/10/C127-500x350.jpg)
![[正中のずれ・前歯のがたがた] 上だけ抜歯で矯正治療の治療前](https://seimitsushinbi.jp/wp/wp-content/uploads/2017/10/C31-500x350.jpg)
![[正中のずれ・前歯のがたがた] 上だけ抜歯で矯正治療の治療中](https://seimitsushinbi.jp/wp/wp-content/uploads/2017/10/C83-500x350.jpg)
![[正中のずれ・前歯のがたがた] 上だけ抜歯で矯正治療の治療後](https://seimitsushinbi.jp/wp/wp-content/uploads/2017/10/C128-500x350.jpg)
![[正中のずれ・前歯のがたがた] 上だけ抜歯で矯正治療の治療前](https://seimitsushinbi.jp/wp/wp-content/uploads/2017/10/C42-500x350.jpg)
![[正中のずれ・前歯のがたがた] 上だけ抜歯で矯正治療の治療中](https://seimitsushinbi.jp/wp/wp-content/uploads/2017/10/C84-500x350.jpg)
![[正中のずれ・前歯のがたがた] 上だけ抜歯で矯正治療の治療後](https://seimitsushinbi.jp/wp/wp-content/uploads/2017/10/C129-500x350.jpg)
![[正中のずれ・前歯のがたがた] 上だけ抜歯で矯正治療の治療前](https://seimitsushinbi.jp/wp/wp-content/uploads/2017/10/C51-500x350.jpg)
![[正中のずれ・前歯のがたがた] 上だけ抜歯で矯正治療の治療中](https://seimitsushinbi.jp/wp/wp-content/uploads/2017/10/C85-500x350.jpg)
![[正中のずれ・前歯のがたがた] 上だけ抜歯で矯正治療の治療後](https://seimitsushinbi.jp/wp/wp-content/uploads/2017/10/C130-500x350.jpg)
![[正中のずれ・前歯のがたがた] 上だけ抜歯で矯正治療の治療前(顔貌)](https://seimitsushinbi.jp/wp/wp-content/uploads/2017/10/C62.jpg)
![[正中のずれ・前歯のがたがた] 上だけ抜歯で矯正治療の治療後(顔貌)](https://seimitsushinbi.jp/wp/wp-content/uploads/2017/10/C124.jpg)
![[正中のずれ・前歯のがたがた] 上だけ抜歯で矯正治療の治療前(顔貌)](https://seimitsushinbi.jp/wp/wp-content/uploads/2017/10/C82.jpg)
![[正中のずれ・前歯のがたがた] 上だけ抜歯で矯正治療の治療後(顔貌)](https://seimitsushinbi.jp/wp/wp-content/uploads/2017/10/C125.jpg)