症例詳細
Case detail
転んで欠けてしまった前歯 抜歯を回避してオールセラミッククラウンで審美回復
治療症例の内容
- 診療科目
- 治療カテゴリ
- 担当医
- 藤巻太一朗(ドクタープロフィール)
- 患者様
- 30代男性
- 治療期間
- 6ヶ月
- 治療回数
- 2-5回
- 治療計画
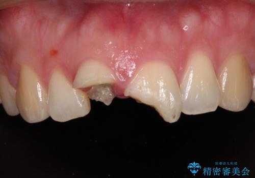
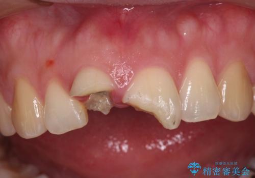
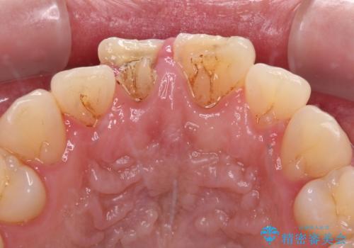
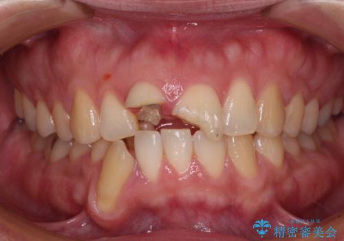
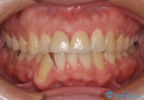
- 転倒により前歯を折ってしまったとのことで来院された患者様です。
右側の前歯は歯茎の中にまで及ぶ深い破折線があり、神経組織は既に失活していました。
左側の前歯は大きく歯冠が欠けてはいましたが、神経の生活反応が認められました。
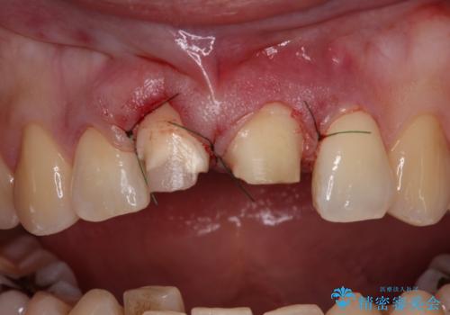
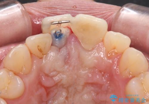
失活した歯は、根管治療を行った後に部分矯正により歯根を引っ張り出し、歯周外科処置により左右の歯肉の位置が揃えることとしました。
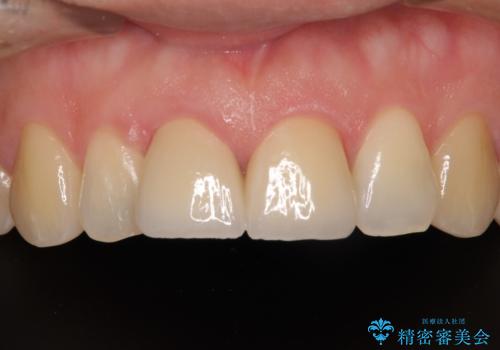
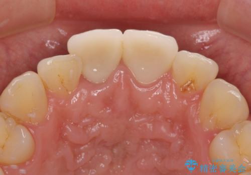
強い衝撃を受けた歯であるため、定期的にレントゲン撮影を行い、歯根吸収が起きていたり、神経が失活していたりしないか確認を行い、ある程度安定したところでオールセラミッククラウンにて補綴治療を行うこととしました。
- 費用(概算)
- 治療費の目安: 45万円(税込)費用は治療当時の料金となります
治療について
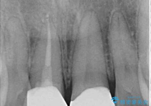
歯をぶつけてから1年後のレントゲン写真を取りましたが、どちらの歯も大きな異常は認められませんでした。
今後も定期的にレントゲン写真による経過観察が必要となります。
セラミック治療の注意事項(リスク・副作用など)
- 天然歯を削ります
- 硬い素材は天然歯を傷つけてしまう場合があります
- かみ合わせや歯ぎしりが強すぎる方はセラミックが割れてしまう可能性があります
- 自費診療(保険適用外治療)となります
外科処置の注意事項(リスク・副作用など)
- 外科手術のため、術後に出血、痛みや腫れ、違和感を伴います
- 口腔内の状態によっては適応できないことがあります
当サイトの内容、テキスト、画像等の無断転載、複製、複写、盗用を固く禁じます。
















