症例詳細
Case detail
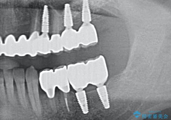
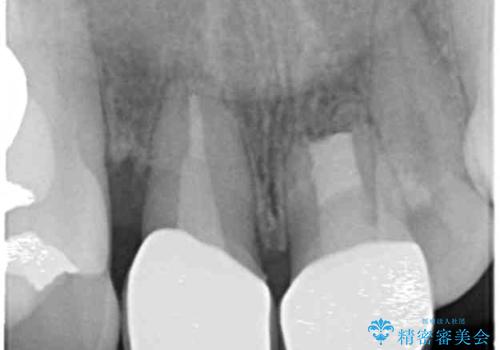
[ 重度歯周病 ] 骨造成・インプラント治療による咬合機能の回復
- 患者様
- 40代男性
- 治療期間
- 2年
- 治療回数
- 5-10回
- 治療計画
- 近医で重度の歯周病であることを指摘され、ほとんどの歯の抜歯が必要、入れ歯治療が妥当。と言われ、歯周病治療の相談を目的に来院されました。
歯周病の精密検査の結果、たくさんの歯が残すことが難しい状態でしたが、歯周病治療で歯を残すことができることと、骨の造成を行えばインプラント治療も可能である、と判断し入れ歯ではなく、しっかりと噛めるような治療ゴールを目指し、治療を開始します。
- 費用(概算)
- 220万円費用は治療当時の料金となります
治療について
歯周病治療を徹底的に行ったことで、残った歯の歯周ポケットはなくなり、奥歯のインプラントがあることでしっかりとかめるような咬合関係が確立されました。
外科処置の注意事項(リスク・副作用など)
- 外科手術のため、術後に出血、痛みや腫れ、違和感を伴います
- 口腔内の状態によっては適応できないことがあります
歯周病治療の注意事項(リスク・副作用など)
- 外科手術のため、術後に痛みや腫れ、違和感を伴います
- 歯周組織再生治療は患者様の状態によって術後の経過が異なります(見た目が改善しない場合もあります)
- 歯周組織再生治療は自費診療(保険適用外)となります
インプラント治療の注意事項(リスク・副作用など)
- 外科手術のため、術後に痛みや腫れ、違和感を伴います
- メンテナンスを怠ったり喫煙により、お口の中に大きな悪影響を及ぼすインプラント周囲炎等にかかる可能性があります
- 糖尿病、肝硬変、心臓病等の場合、インプラント治療ができない可能性があります
- 高血圧、貧血・不整脈等の場合、インプラント治療後に治癒不全を招く可能性があります
- 自費診療(保険適用外治療)となります
セラミック治療の注意事項(リスク・副作用など)
- 天然歯を削ります
- 硬い素材は天然歯を傷つけてしまう場合があります
- かみ合わせや歯ぎしりが強すぎる方はセラミックが割れてしまう可能性があります
- 自費診療(保険適用外治療)となります
当サイトの内容、テキスト、画像等の無断転載、複製、複写、盗用を固く禁じます。

![[ 重度歯周病 ] 骨造成・インプラント治療による咬合機能の回復の治療前](https://seimitsushinbi.jp/wp/wp-content/uploads/2023/03/14ce77237eb07b97238f044a087dfe7d-500x350.jpg?v=1678759178)
![[ 重度歯周病 ] 骨造成・インプラント治療による咬合機能の回復の治療中](https://seimitsushinbi.jp/wp/wp-content/uploads/2023/03/5251a96f94ec475d92806be31250e239-500x350.jpg?v=1678759185)
![[ 重度歯周病 ] 骨造成・インプラント治療による咬合機能の回復の治療後](https://seimitsushinbi.jp/wp/wp-content/uploads/2023/03/653ce5328b3ab59b9ab143b906ecba0e-500x350.jpg?v=1678759187)
![[ 重度歯周病 ] 骨造成・インプラント治療による咬合機能の回復の治療前](https://seimitsushinbi.jp/wp/wp-content/uploads/2023/03/CI9-side-500x350.jpg?v=1678760277)
![[ 重度歯周病 ] 骨造成・インプラント治療による咬合機能の回復の治療中](https://seimitsushinbi.jp/wp/wp-content/uploads/2023/03/CI59-side-500x350.jpg?v=1678760279)
![[ 重度歯周病 ] 骨造成・インプラント治療による咬合機能の回復の治療後](https://seimitsushinbi.jp/wp/wp-content/uploads/2023/03/CI81-side-500x350.jpg?v=1678760280)
![[ 重度歯周病 ] 骨造成・インプラント治療による咬合機能の回復の治療前](https://seimitsushinbi.jp/wp/wp-content/uploads/2023/03/40cd7adb0a43aa2b6294d1eb8dffb258-500x350.jpg?v=1678759182)
![[ 重度歯周病 ] 骨造成・インプラント治療による咬合機能の回復の治療中](https://seimitsushinbi.jp/wp/wp-content/uploads/2023/03/d7bfbad7606061918577bf424b847cb7-500x350.jpg?v=1678760323)
![[ 重度歯周病 ] 骨造成・インプラント治療による咬合機能の回復の治療後](https://seimitsushinbi.jp/wp/wp-content/uploads/2023/03/233214fec4a600859db87e4b42808a5c-500x350.jpg?v=1678759192)
![[ 重度歯周病 ] 骨造成・インプラント治療による咬合機能の回復の治療前](https://seimitsushinbi.jp/wp/wp-content/uploads/2023/03/3d60ce18ee1c73fee8bbb06355662dc0-500x350.jpg?v=1678759180)
![[ 重度歯周病 ] 骨造成・インプラント治療による咬合機能の回復の治療中](https://seimitsushinbi.jp/wp/wp-content/uploads/2023/03/b39eba98dab93dafd1ff83a4f4659c2b-500x350.jpg?v=1678760320)
![[ 重度歯周病 ] 骨造成・インプラント治療による咬合機能の回復の治療後](https://seimitsushinbi.jp/wp/wp-content/uploads/2023/03/6102f74b49648d6c7ce89c87ad82ab73-500x350.jpg?v=1678759189)
![[ 重度歯周病 ] 骨造成・インプラント治療による咬合機能の回復の治療前](https://seimitsushinbi.jp/wp/wp-content/uploads/2023/03/CI6-side-500x350.jpg?v=1678760276)
![[ 重度歯周病 ] 骨造成・インプラント治療による咬合機能の回復の治療中](https://seimitsushinbi.jp/wp/wp-content/uploads/2023/03/CI57-side-500x350.jpg?v=1678760279)
![[ 重度歯周病 ] 骨造成・インプラント治療による咬合機能の回復の治療後](https://seimitsushinbi.jp/wp/wp-content/uploads/2023/03/CI89-side-500x350.jpg?v=1678760281)