症例詳細
Case detail
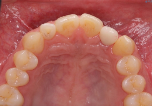
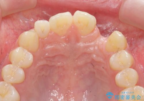
前歯部 インプラント治療
治療症例の内容
- 患者様
- 30代男性
- 治療期間
- 10ヶ月
- 治療回数
- 5-10回
- 治療計画
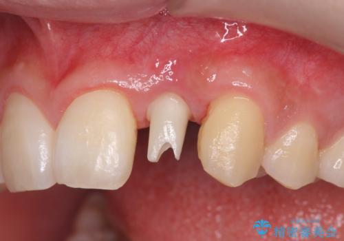
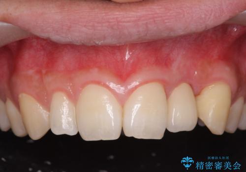
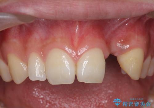
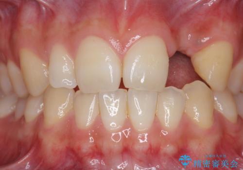
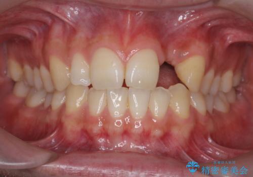
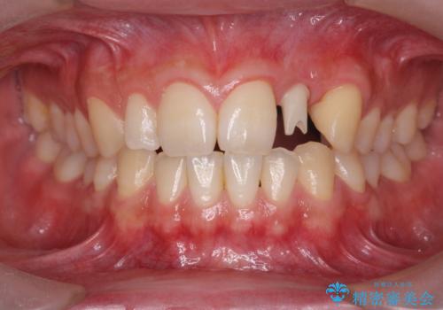
- 前歯の永久歯が元々なく、乳歯を失ったタイミングで前歯の審美性の回復を求めて来院されました。
機能・審美性の回復手段として、インプラント治療・ブリッジ・部分床義歯が考えられます。
それぞれの治療に特徴がありますが、取り外しの必要がなく隣の歯を削る必要も必要ないインプラント治療を選択されました。
- 費用(概算)
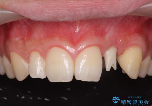
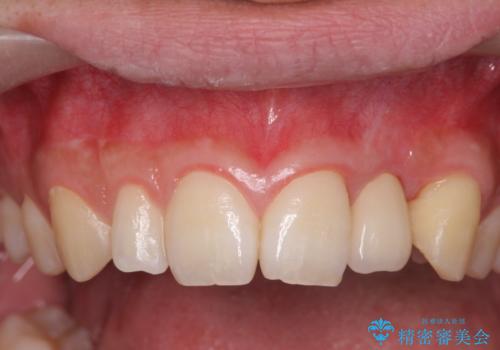
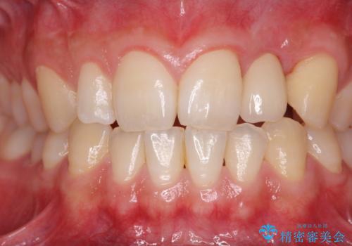
- 55万円(ストローマンインプラント・ジルコニアカスタムアバットメント・骨造成・仮歯・ジルコニアクラウン)費用は治療当時の料金となります
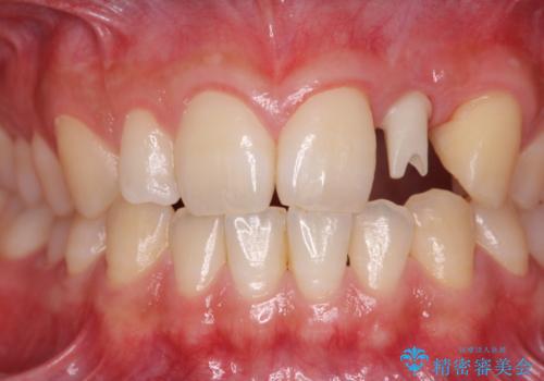
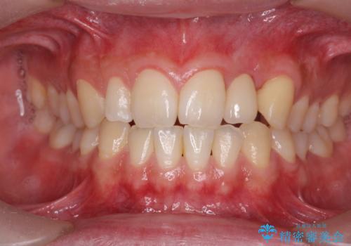
治療について
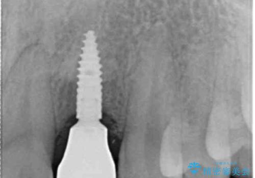
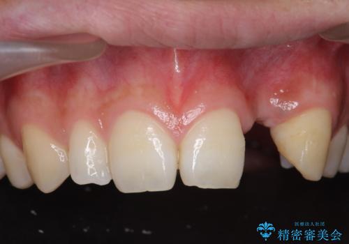
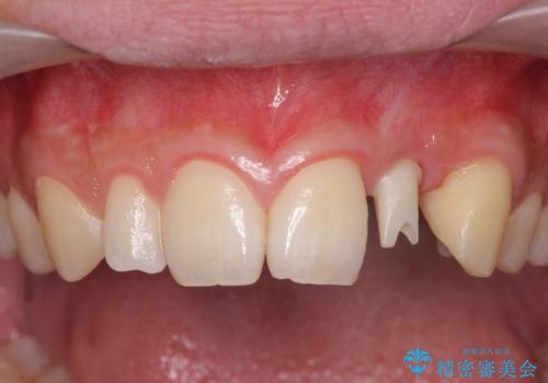
前歯部にインプラントを埋入し、きれいに仕上げるためには骨の造成技術や歯肉の厚みを増すような処置を行い、インプラント周囲の環境を整備することが肝要です。
インプラント治療の注意事項(リスク・副作用など)
- 外科手術のため、術後に痛みや腫れ、違和感を伴います
- メンテナンスを怠ったり喫煙により、お口の中に大きな悪影響を及ぼすインプラント周囲炎等にかかる可能性があります
- 糖尿病、肝硬変、心臓病等の場合、インプラント治療ができない可能性があります
- 高血圧、貧血・不整脈等の場合、インプラント治療後に治癒不全を招く可能性があります
- 自費診療(保険適用外治療)となります
当サイトの内容、テキスト、画像等の無断転載、複製、複写、盗用を固く禁じます。
























