症例詳細
Case detail
【モニター】狭い上顎歯列とオープンバイト 急速拡大装置を用いた矯正治療
治療症例の内容
- 診療科目
- 担当医
- 藤巻太一朗(ドクタープロフィール)
- 患者様
- 20代女性
- 矯正装置
- インビザライン
- 治療期間
- 2年1ヶ月
- 治療回数
- 10-30回
- 治療計画
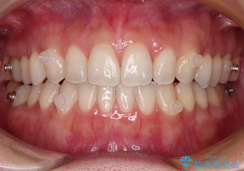
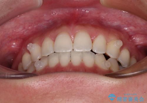
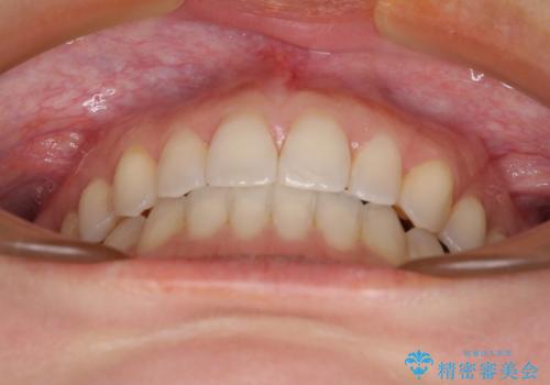
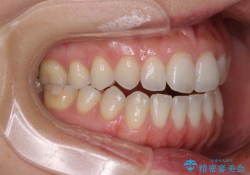
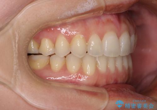
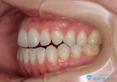
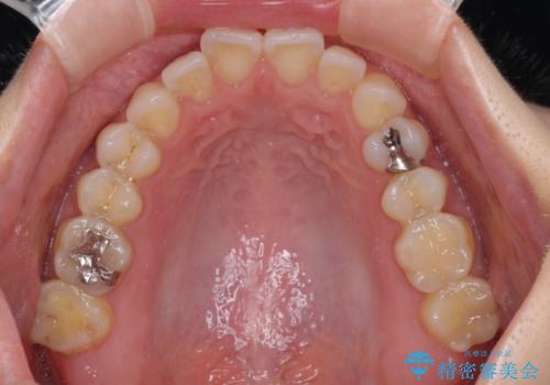
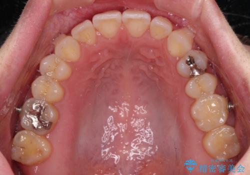
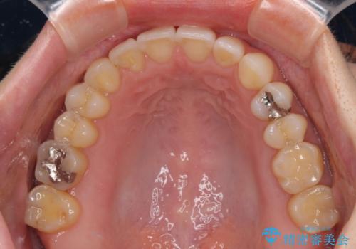
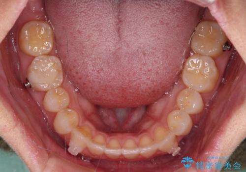
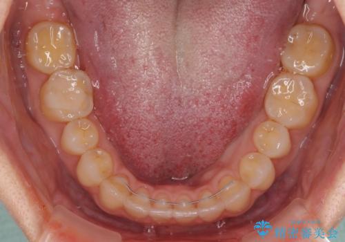
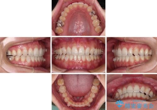
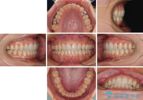
- 前歯の開咬を気にして来院された患者様です。
上顎歯列が狭窄していたため、急速拡大装置により上顎骨を側方に拡大し、その後インビザラインにて矯正治療を行うこととしました。
- 費用(概算)
- 治療費の目安: 82万円(税込)費用は治療当時の料金となります
※顔写真掲載にあたり、患者様の了解を得ております
治療について
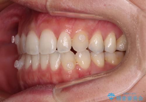
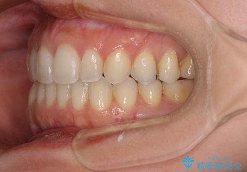
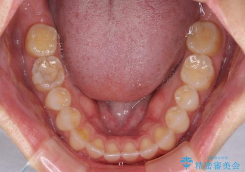
舌の突出癖が開咬の原因であったので、改善のための舌トレーニングを行っていただきました。
舌トレーニングは後戻りにも大きく影響するため、とても重要なトレーニングです。
マウスピース矯正の注意事項(リスク・副作用など)
- 口腔内・歯並びの状態によっては対応できない場合があります
- マウスピース型矯正装置の長時間装着(1日20時間以上)が必須です
- 治療計画通りに進めるためには、患者様の意志が重要になります
- 矯正治療後の保定が不十分だと後戻り(元の位置に戻ろうとする動き)をします
- 薬機法対象外の矯正歯科装置のため医薬品副作用被害救済制度の対象外となる場合があります
- 自費診療(保険適用外)となります
当サイトの内容、テキスト、画像等の無断転載、複製、複写、盗用を固く禁じます。




























