症例詳細
Case detail
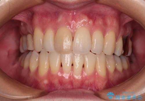
抜歯と言われた歯 部分矯正と歯周外科処置で抜かずに保存
治療症例の内容
- 担当医
- 藤巻太一朗(ドクタープロフィール)
- 患者様
- 40代男性
- 治療期間
- 6ヶ月
- 治療回数
- 5-10回
- 治療計画
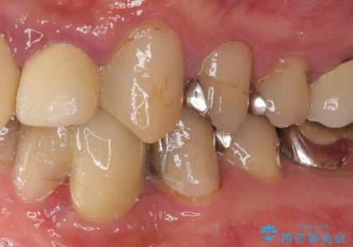
- クラウンがもげてしまった歯が抜歯と言われたとのことで来院された患者様です。
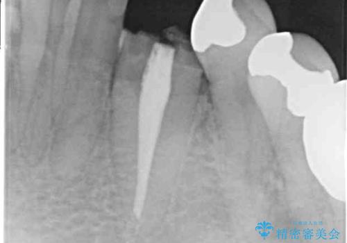
根管治療がされた歯であり、唇側に転位していたため、力がかかったことでクラウンが外れてしまったと判断されました。
麻酔下で歯肉を開いて診察をしたところ、唇側の歯肉縁下に深く歯が欠けている状態でした。
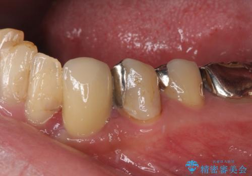
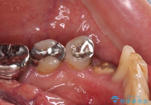
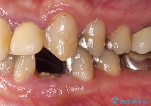
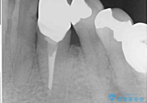
当該歯である犬歯は歯根が長く、安易に抜歯することはおすすめできないため、まずは部分矯正により歯根を引っ張り出し、その後歯周外科処置により歯槽骨や歯肉の状態を整え、最終的にはオールセラミッククラウンにて補綴治療を行うこととしました。
- 費用(概算)
- 治療費の目安: 25万円(税込)費用は治療当時の料金となります
治療について
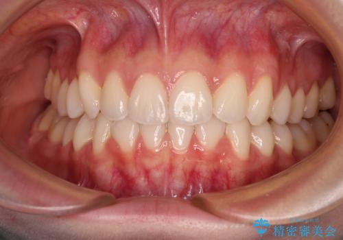
矯正治療中は汚れが溜まりやすく、歯肉からの出血が続きましたが、最終的には歯を保存して安定した状態で補綴治療を行うことができました。
セラミック治療の注意事項(リスク・副作用など)
- 天然歯を削ります
- 硬い素材は天然歯を傷つけてしまう場合があります
- かみ合わせや歯ぎしりが強すぎる方はセラミックが割れてしまう可能性があります
- 自費診療(保険適用外治療)となります
当サイトの内容、テキスト、画像等の無断転載、複製、複写、盗用を固く禁じます。













