症例詳細
Case detail
重なり合って磨きにくい前歯 ワイヤー装置での抜歯矯正
治療症例の内容
- 診療科目
- 担当医
- 藤巻太一朗(ドクタープロフィール)
- 患者様
- 20代男性
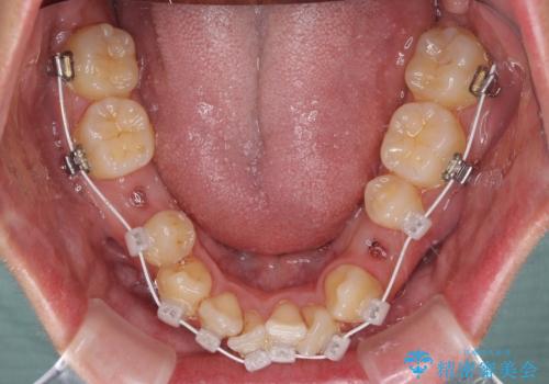
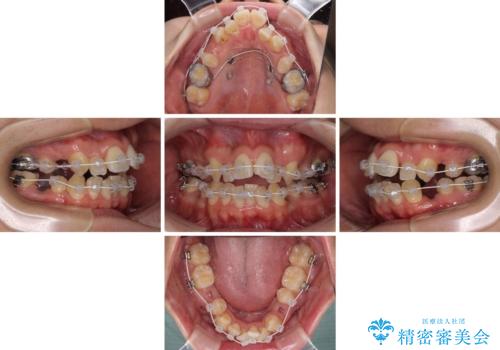
- 矯正装置
- 審美装置
- 治療期間
- 2年6ヶ月
- 治療回数
- 10-30回
- 治療計画
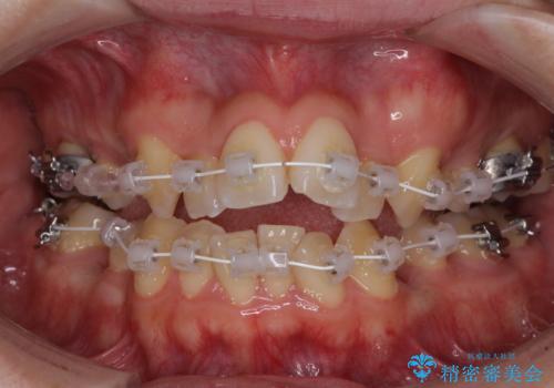
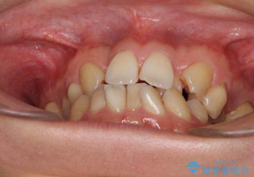
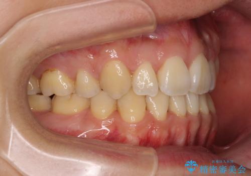
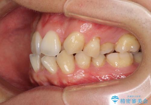
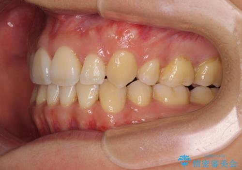
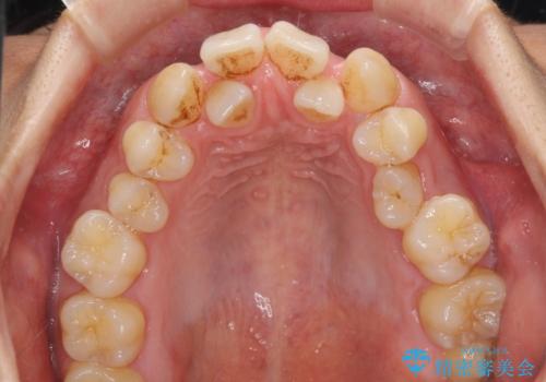
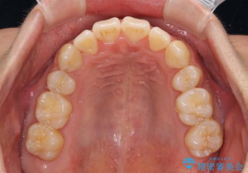
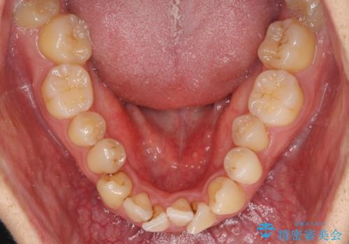
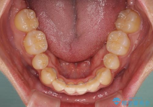
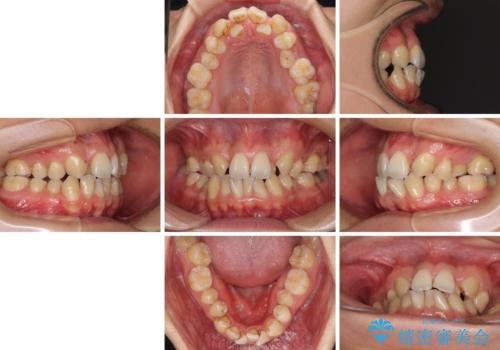
- 前歯の著しいデコボコを気にして来院された患者様です。
上顎の左右側切歯(前から2番目)が裏側に隠れいてる状態で、咬み合わせや清掃性に大きな問題が認められました。
叢生が著しいため、上下左右の小臼歯4本を抜去し、目立たないワイヤー装置にて矯正治療を行うこととしました。
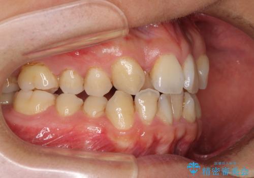
下顎の歯列全体が右側にずれているため、右下のみ第二小臼歯を抜歯し、上顎は補助装置を使用して、極力上下の正中を合う位置にて咬み合わせを改善するようにしました。
- 費用(概算)
- 治療費の目安: 120万円(税込)費用は治療当時の料金となります
治療について
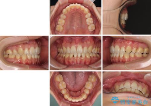
元の歯列が想像できないほど、きれいな歯列に整えることができました。
第二小臼歯抜歯の矯正治療は、治療期間が長引くことが多いですが、動きが非常に良く、予定の治療期間で終えることができました。
ワイヤー矯正の注意事項(リスク・副作用など)
- 治療中は違和感や痛みが起こることがあります
- 症状により、抜歯が必要な場合があります
- 治療中は歯磨きがしにくくなるため、虫歯や歯周病になりやすくなります
- 矯正治療後の保定が不十分だと後戻り(元の位置に戻ろうとする動き)をします
- 自費診療(保険適用外)となります
当サイトの内容、テキスト、画像等の無断転載、複製、複写、盗用を固く禁じます。


























