症例詳細
Case detail
白すぎる前歯と虫歯の奥歯 セラミック治療
治療症例の内容
- 診療科目
- 担当医
- 藤巻太一朗(ドクタープロフィール)
- 患者様
- 40代女性
- 治療期間
- 1ヶ月
- 治療回数
- 2-5回
- 治療計画
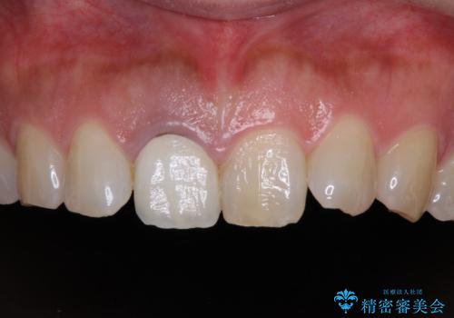
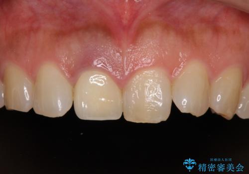
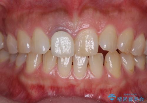
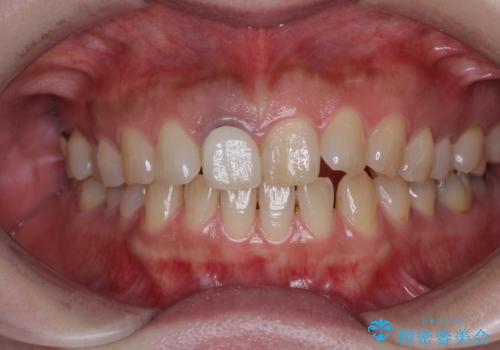
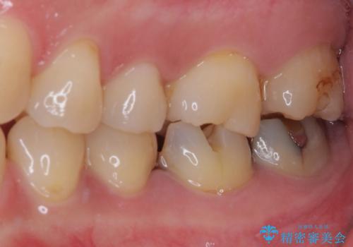
- セラミッククラウンが白すぎる前歯と、放置している奥歯を気にして来院された患者様です。
前歯のセラミッククラウンは将来ホワイトニングをするつもりで白くしたものの、それほど白くならず、ホワイトニングも面倒くさいとのことで白すぎる印象となっていました。
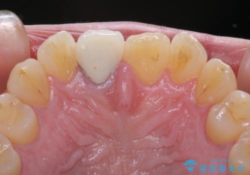
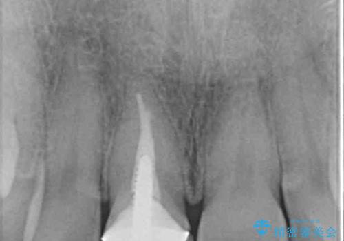
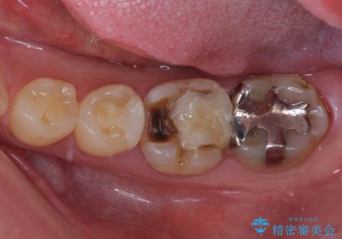
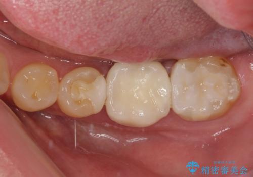
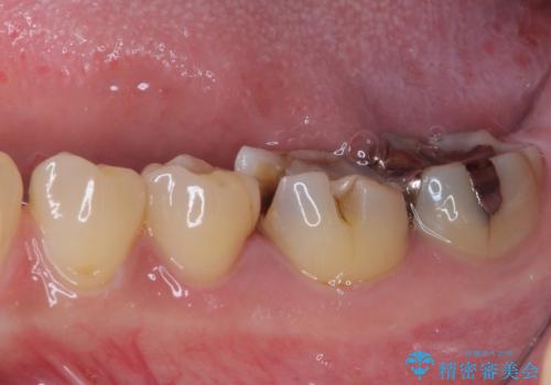
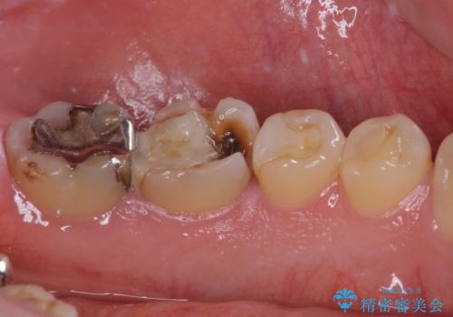
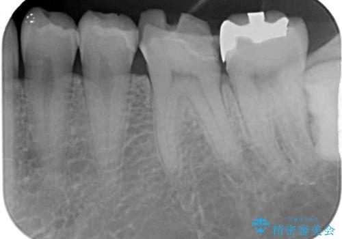
奥歯は虫歯が放置されていましたが、特に症状はなく歯髄の状態も正常でした。
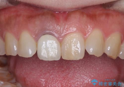
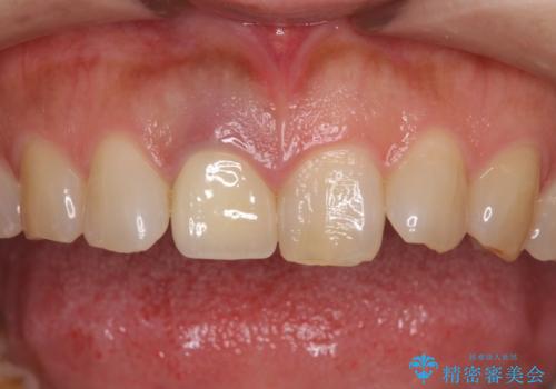
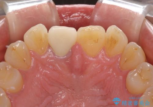
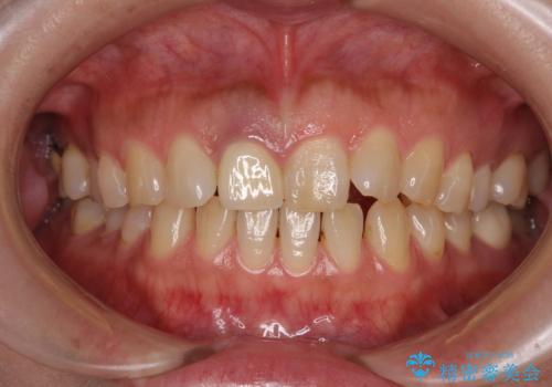
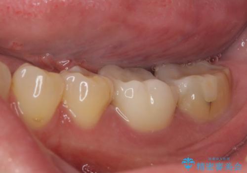
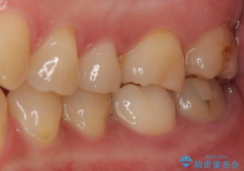
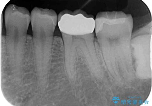
前歯、奥歯ともにオールセラミッククラウンやセラミックインレーにて治療を行うこととしました。
- 費用(概算)
- 治療費の目安: 35万円(税込)費用は治療当時の料金となります
治療について
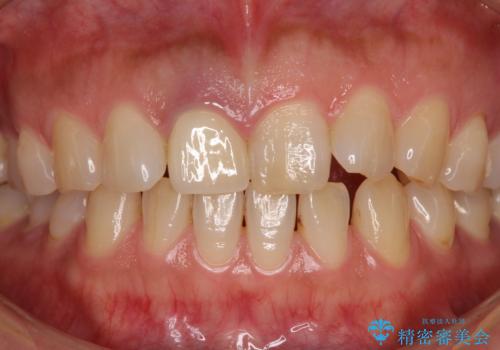
前歯のセラミッククラウンは周りの歯と調和させるためにオーダーメイドタイプのものをおすすめしましたが、元が白すぎていたため、概ね色合いが合えば大丈夫であるとのことで、既製パターンの色調で仕上げました。
セラミック治療の注意事項(リスク・副作用など)
- 天然歯を削ります
- 硬い素材は天然歯を傷つけてしまう場合があります
- かみ合わせや歯ぎしりが強すぎる方はセラミックが割れてしまう可能性があります
- 自費診療(保険適用外治療)となります
当サイトの内容、テキスト、画像等の無断転載、複製、複写、盗用を固く禁じます。






















