症例詳細
Case detail
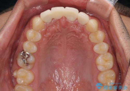
転んでぶつけて抜歯 前歯のオールセラミックブリッジ
治療症例の内容
- 診療科目
- 治療カテゴリ
- 担当医
- 藤巻太一朗(ドクタープロフィール)
- 患者様
- 20代男性
- 治療期間
- 5ヶ月
- 治療回数
- 2-5回
- 治療計画
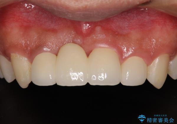
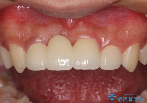
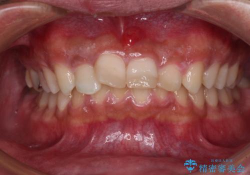
- 酒席の後に転倒して前歯を損傷し、応急処置のみを受けてきたとのことで来院された患者様です。
 損傷がひどく、前歯4本と広範囲であったため、症状やレントゲン写真、検査結果が一致せず、定期的に経過を見ながら診断していくこととしました。
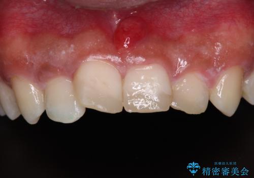
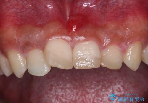
 右側前歯は歯根が短くなり、パンチング状に歯根に透過像が認められたため、予後不良と判断し抜歯することとしました。
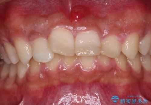
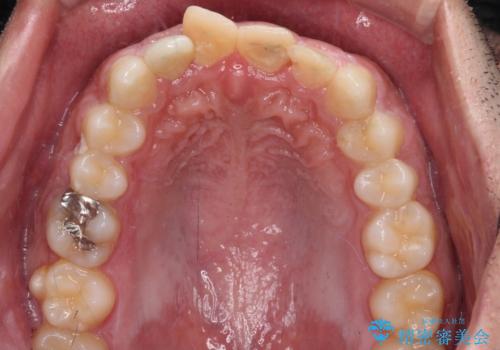
 当初のレントゲン写真では根尖部に骨透過像が認められた両サイドの2歯は、歯髄の正常な反応が認められたためそのまま保存し、左側前歯は歯髄が失活していたため根管治療を行うこととしました。
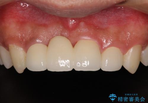
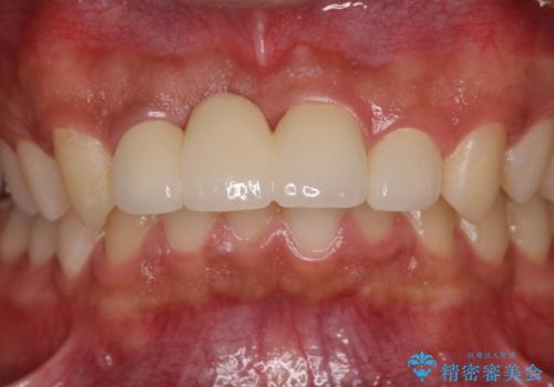
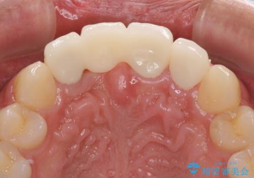
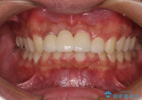
 抜歯後の欠損部はブリッジにて補綴治療を行うこととしました。
- 費用(概算)
- 治療費の目安: 60万円(税込)費用は治療当時の料金となります
治療について
事故直後のレントゲン写真では全ての歯の根尖部に骨透過像が認められましたが、治療後には全ての透過像がなくなっていました。
診断に2-3ヶ月かかりましたが、的確に診断を行うことができました。
セラミック治療の注意事項(リスク・副作用など)
- 天然歯を削ります
- 硬い素材は天然歯を傷つけてしまう場合があります
- かみ合わせや歯ぎしりが強すぎる方はセラミックが割れてしまう可能性があります
- 自費診療(保険適用外治療)となります
当サイトの内容、テキスト、画像等の無断転載、複製、複写、盗用を固く禁じます。








 
                       
                                                          














 
                   
                   
                  