症例詳細
Case detail
以前治療した歯がボロボロに 全顎補綴治療
治療症例の内容
- 患者様
- 50代女性
- 治療期間
- 2年6ヶ月
- 治療回数
- 5-10回
- 治療計画
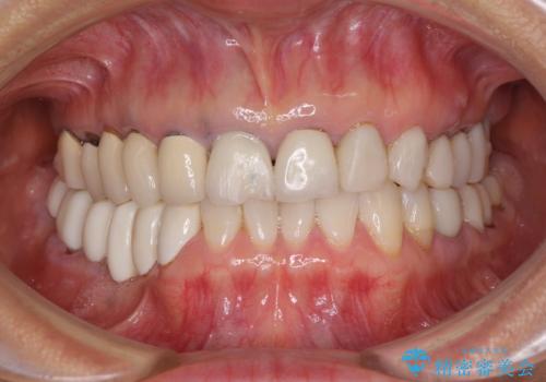
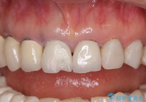
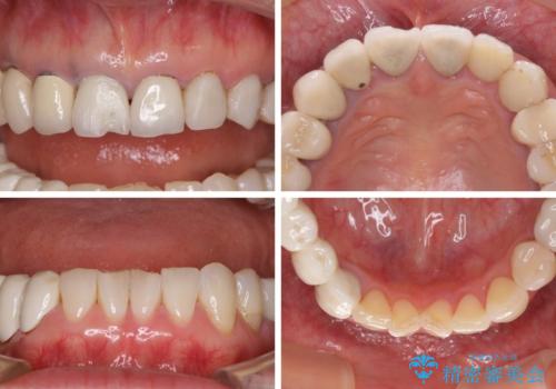
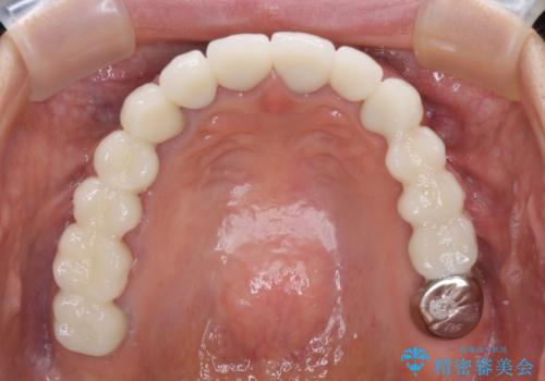
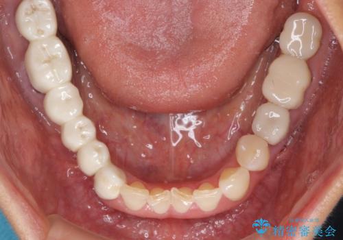
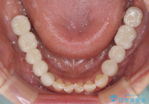
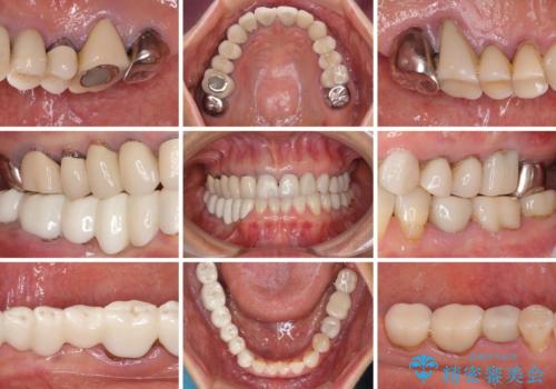
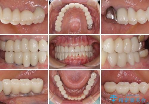
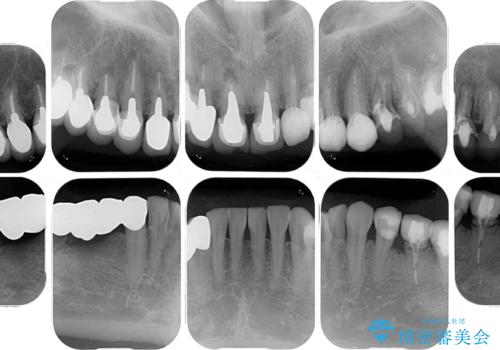
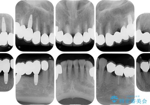
- 以前治療した歯が欠けたり、痛みを感じたりしているとのことで来院された患者様です。
アメリカ国内を転々としながら治療を行ったため治療跡がモザイク様で、クラウンが壊れていたり、抜歯が必要であったりしていました。
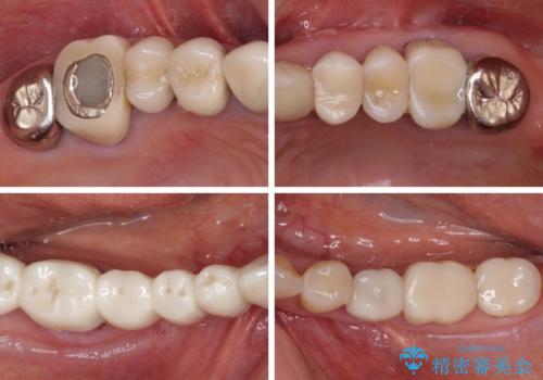
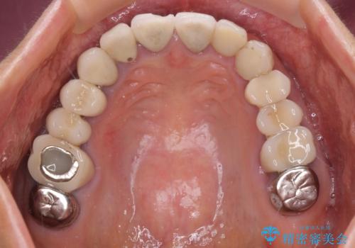
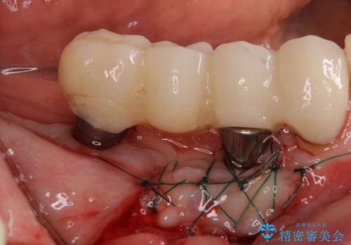
上下左右すべての奥歯に処置が必要であり、同時に行うと食事が取りにくくなってしまったり、手前の歯に負担がかかって初診時よりも状況が悪化したりする可能性があるため、片方ずつ処置を進めて行くこととしました。
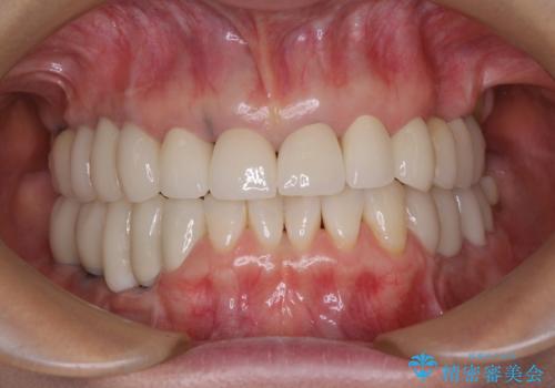
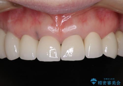
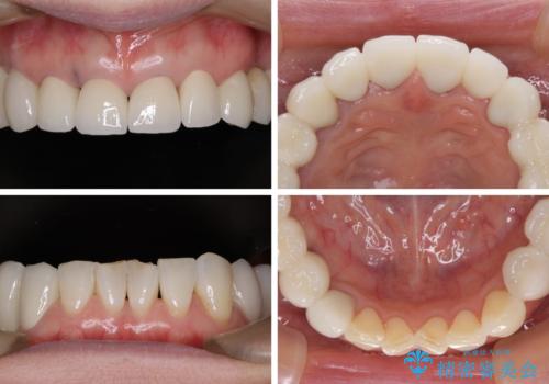
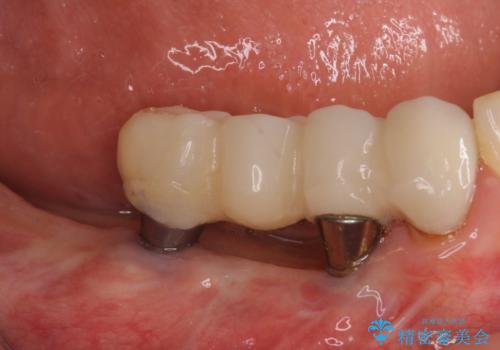
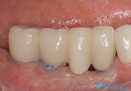
下顎右側は骨造成を併用してインプラント治療を行い、その他の奥歯もインプラントや歯周外科処置を併用して補綴治療を進め、最後に前歯部の欠けてしまったセラミッククラウンを作り替えることとしました。
- 費用(概算)
- 治療費の目安: 480万円(税込)費用は治療当時の料金となります
治療について
海外を拠点に仕事をされているため、日本国内への入国規制の時期が重なってしまい、予定していたよりも1年ほど長い治療期間がかかってしまいました。
インプラント治療の注意事項(リスク・副作用など)
- 外科手術のため、術後に痛みや腫れ、違和感を伴います
- メンテナンスを怠ったり喫煙により、お口の中に大きな悪影響を及ぼすインプラント周囲炎等にかかる可能性があります
- 糖尿病、肝硬変、心臓病等の場合、インプラント治療ができない可能性があります
- 高血圧、貧血・不整脈等の場合、インプラント治療後に治癒不全を招く可能性があります
- 自費診療(保険適用外治療)となります
外科処置の注意事項(リスク・副作用など)
- 外科手術のため、術後に出血、痛みや腫れ、違和感を伴います
- 口腔内の状態によっては適応できないことがあります
セラミック治療の注意事項(リスク・副作用など)
- 天然歯を削ります
- 硬い素材は天然歯を傷つけてしまう場合があります
- かみ合わせや歯ぎしりが強すぎる方はセラミックが割れてしまう可能性があります
- 自費診療(保険適用外治療)となります
当サイトの内容、テキスト、画像等の無断転載、複製、複写、盗用を固く禁じます。


























