症例・治療例紹介
Cases
最新の症例
このままでは抜歯と言われた 失われた骨の再生治療


メタルボンドクラウン ゴールドから白い歯へ


体調が悪いと腫れる 根管治療とセラミック治療


セラミックインレー 古い銀歯のやり替え


オールセラミッククラウン 根管治療 奥歯の補綴


セラミックインレー 銀歯を白く


オールセラミッククラウン(スペシャル) 変色が気になる前歯部の補綴


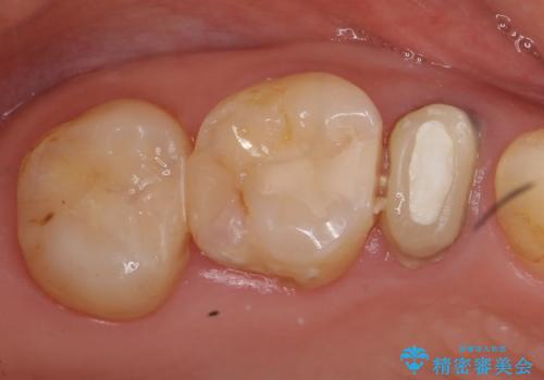
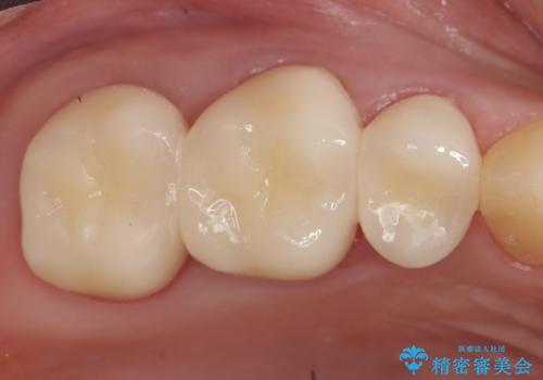
セラミックインレー 虫歯治療


虫歯の治療 セラミックの詰め物で綺麗に


歯周病 全顎治療


残せなくなってしまった乳歯 インプラントによる補綴


下がってしまった歯肉を元に戻したいが、自分の歯ぐきを移植するのは気が進まない : バイオマテリアルを応用した歯肉退縮への手術的対応
担当医 林佳士登


インプラントによる咬合回復
担当医 河口智英






