症例・治療例紹介
Cases
最新の症例
定期的に歯科医院でクリーニング PMTC
担当医 歯科衛生士


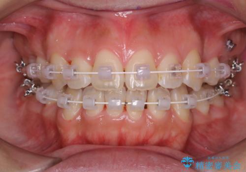
矯正治療が終わった後にクリーニング PMTC
担当医 歯科衛生士


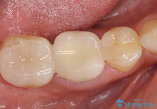
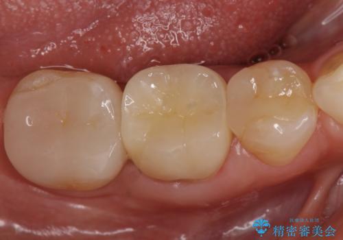
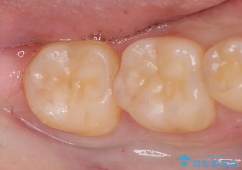
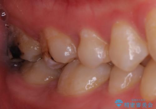
PGA(ゴールド)インレー 深い虫歯の治療


マウスピース矯正中のクリーニング pmtc
担当医 歯科衛生士


オールセラミッククラウン 他院にて抜歯を勧められた歯の治療


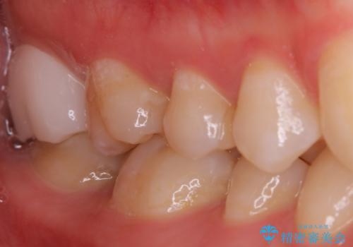
セラミックインレー 冷たいものがしみる奥歯の治療


オールセラミッククラウン 急に痛み出した奥歯の治療


PMTC 歯のお掃除
担当医 歯科衛生士


PMTCで前歯のクリーニング
担当医 歯科衛生士


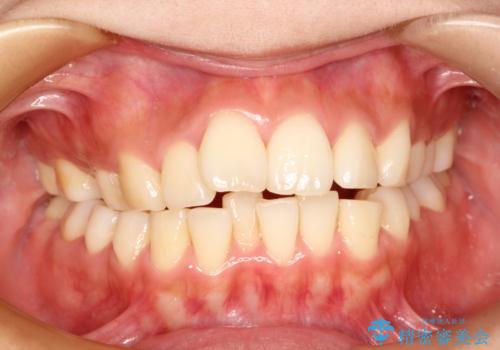
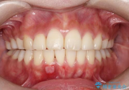
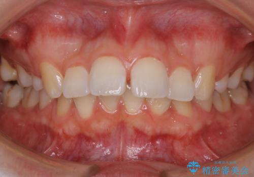
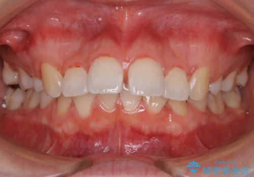
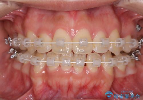
前歯で咬めない・出っ歯 抜歯矯正で整った上下の前歯へ


PMTC60分コース
担当医 歯科衛生士


ワイヤー矯正中のクリーニング
担当医 歯科衛生士


広範囲にわたる虫歯をセラミックで治療






