症例・治療例紹介
Cases
最新の症例
久しぶりの歯科医院にて歯のクリーニング
担当医 歯科衛生士


お茶による歯の黄ばみ取り
担当医 歯科衛生士


虫歯治療を始める前のPMTC
担当医 歯科衛生士


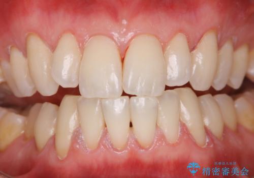
オールセラミッククラウン 銀歯を白く


舌小帯の形成
担当医 大元洋佑


前歯のかぶせ物の色があっていない オールセラミック治療


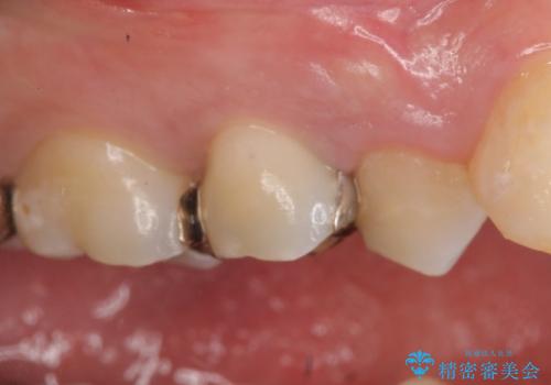
セラミックインレー しみる歯の治療


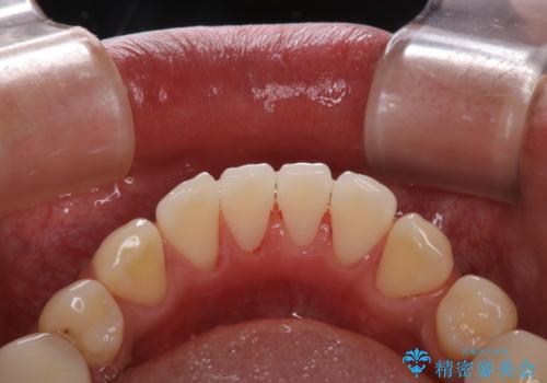
オールセラミッククラウン 歯根破折→抜歯→ブリッジ


オールセラミッククラウン 変色した前歯


オールセラミッククラウン 下がってしまった前歯の歯茎の改善


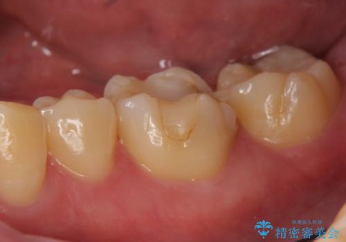
オールセラミッククラウン 欠けてしまった歯の治療


1年ぶりにPMTCで歯の着色落とし
担当医 歯科衛生士


矯正治療前の歯のクリーニング PMTC
担当医 歯科衛生士


PMTCでコーヒーの着色取り
担当医 歯科衛生士


裏側装置で出っ歯の矯正治療


