症例・治療例紹介
Cases
最新の症例
染め出しをしての歯磨き指導とPMTC
担当医 歯科衛生士


インビザラインで歯科矯正治療を行っている方のPMTC
担当医 歯科衛生士


ホームホワイトニング前にPMTCできれいに
担当医 歯科衛生士


歯科衛生士による専門的なクリーニング PMTC
担当医 歯科衛生士


PMTCで清潔感ある口元に
担当医 歯科衛生士


インビザラインでの矯正治療でアタッチメントset前のPMTC
担当医 歯科衛生士


すきっ歯のインビザラインによる目立たない矯正


[舌小帯形成術] 滑舌が悪いと言われる
担当医 大元洋佑
![[舌小帯形成術] 滑舌が悪いと言われるの症例 治療前](https://seimitsushinbi.jp/wp/wp-content/uploads/2021/04/6967fe8897ed5d58bc76b5d20bc3d7c8-500x350.jpg?v=1617933505)
![[舌小帯形成術] 滑舌が悪いと言われるの症例 治療後](https://seimitsushinbi.jp/wp/wp-content/uploads/2021/04/IMG_0024-500x350.jpg?v=1617933557)
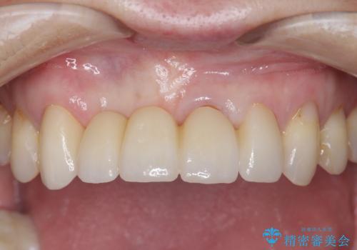
銀歯を白くしたい:適合の良い被せ物で長期間安心して使える歯に


前歯1本だけ色が違う:他の歯となじむ被せ物で自然な仕上がりに


前歯の着色をPMTCできれいに
担当医 歯科衛生士


矯正治療前にPMTCで口元のケア
担当医 歯科衛生士


美容外科による不自然なかぶせもので、前歯がコンプレックスに。自然なセラミックにやりかえ 30代女性






