症例・治療例紹介
Cases
最新の症例
フロスが通せない PMTCで本来の歯のすき間に
担当医 歯科衛生士


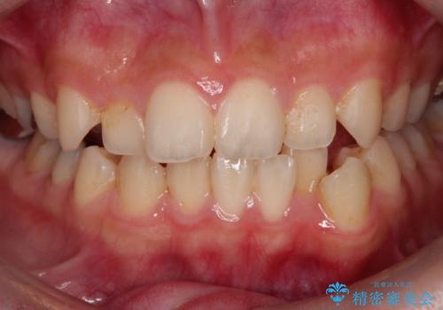
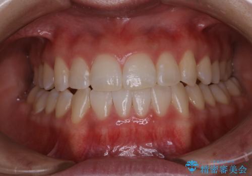
上下のガタガタのマウスピースによる非抜歯矯正


タバコによる着色をPMTCできれいな白い歯に
担当医 歯科衛生士


他院で仮歯まで入れたが違和感がある 40代女性


前歯が前後反対にかんでいる インビザラインによる矯正


骨が少なくインプラントできないと言われた 下の奥歯のインプラント 60代男性


歯が痛い 深いう蝕により神経が死んでいる 50代女性


不自然なブリッジ 自然なセラミックでやりかえ 30代女性


ワイヤー矯正中の歯のクリーニング
担当医 歯科衛生士


歯のクリーニングで歯周病の予防
担当医 歯科衛生士


全体的な治療の開始前に着色取り
担当医 歯科衛生士


数年ぶりの歯医者で歯を白くしたい
担当医 歯科衛生士








