症例・治療例紹介
Cases
最新の症例
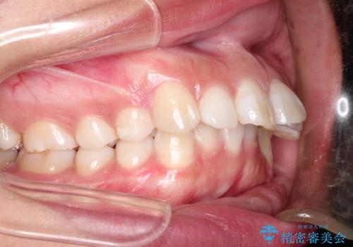
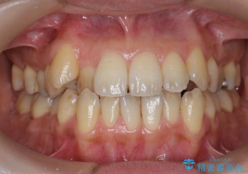
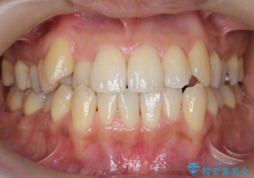
出っ歯の矯正 ワイヤーによる抜歯矯正での改善


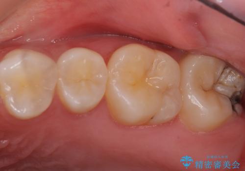
気づかなかった奥歯のう蝕 セラミックインレー 20代女性


出っ歯 軽度のがたつき インビザラインで


専門的なクリーニング(PMTC)で着色を除去!!
担当医 歯科衛生士


前歯が前後反対にかんでいる インビザラインによる目立たない矯正


目立つ八重歯を目立たない装置で ハーフリンガルによる抜歯矯正
担当医 藤巻太一朗


エアーフローでお茶による着色を除去
担当医 歯科衛生士


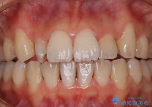
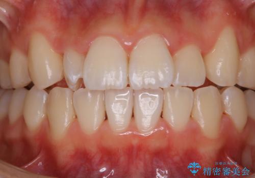
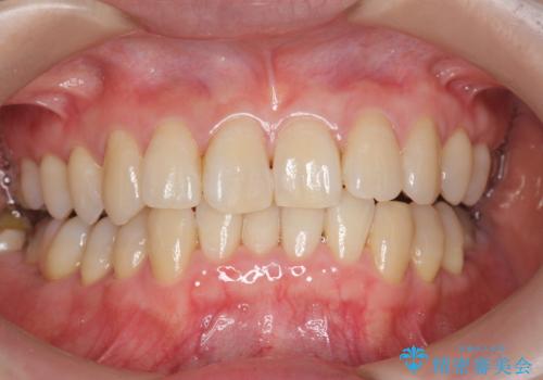
むし歯だらけの前歯をきれいにしたい オールセラミッククラウンによる審美歯科治療


1本だけ着色がついてしまうのを綺麗に
担当医 歯科衛生士


以前治療した歯が続々とむし歯に 全顎むし歯治療


歯のメンテナンス
担当医 歯科衛生士


矯正中のPMTC60分コース
担当医 歯科衛生士







