症例・治療例紹介
Cases
最新の症例
前歯のガタつきを改善 マウスピース矯正とワイヤー部分矯正
担当医 大元洋佑


インビザライン治療期間中のクリーニング(PMTC)
担当医 歯科衛生士


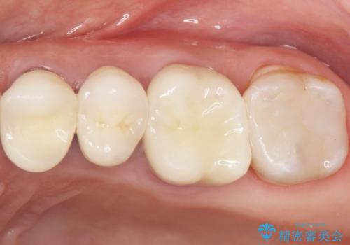
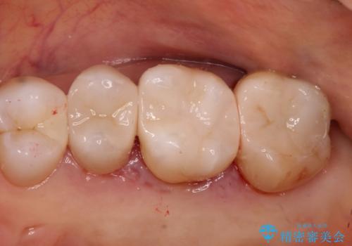
【オールセラミッククラウン】虫歯の治療
担当医 河口智英


オフィスホワイトニング スペシャルコース
担当医 歯科衛生士


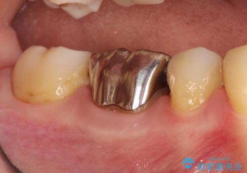
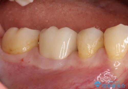
【オールセラミッククラウン】存在感のある銀歯を外したい
担当医 河口智英


着色落とし(PMTC)
担当医 歯科衛生士


治療後のメンテナンス
担当医 歯科衛生士


矯正を始める前に歯のクリーニング
担当医 歯科衛生士


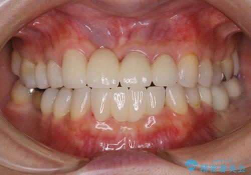
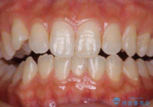
矯正治療とセラミック治療で口腔内環境を劇的に改善


銀の詰め物を白くしたい 50代男性


銀歯がノドに飛んできたことがトラウマ ラバーダムをして治療 50代女性










