症例・治療例紹介
Cases
最新の症例
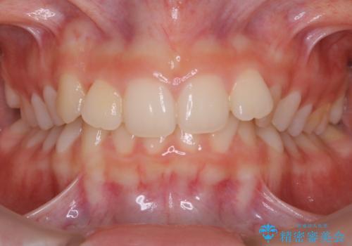
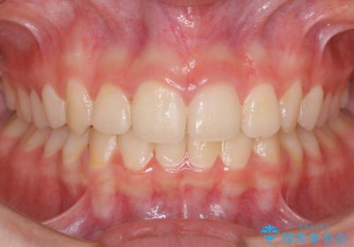
【非抜歯】狭い歯列を改善 ガタつきを治す


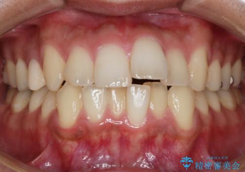
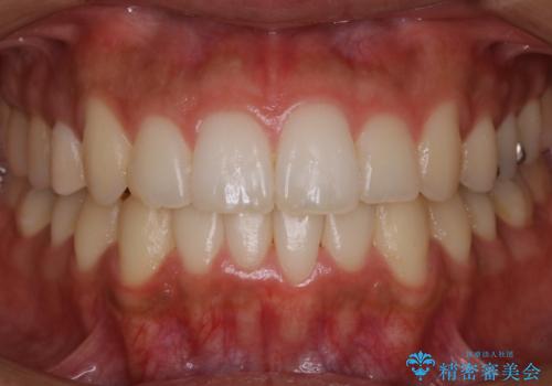
【非抜歯】インビザライン 隠れた前歯を並べる矯正治療


【非抜歯】結婚式に向けて矯正で素敵な笑顔を!


【非抜歯】部分矯正でも治る 前歯の反対咬合


【非抜歯】部分矯正で自信の持てる歯並びへ


【非抜歯】前歯のガタつき マウスピースの部分矯正


【非抜歯】20代女性 歯のガタつきと噛み合わせの治療


【非抜歯】噛み合わせを整えたい! インビザライン矯正


【非抜歯】インビザライン 出っ歯を治す!


【再矯正】後戻りによるガタつきをマウスピースで改善!


【抜歯】前歯のガタつきを改善 抜歯矯正で口腔内をスッキリさせる


部分矯正とセラミッククラウンですきっ歯・矮小歯を効率的に治す


【非抜歯】歯軸を治して正しい噛み合わせへ


【非抜歯】前歯のガタつきを改善 笑顔の印象も変わる!




