症例・治療例紹介
Cases
Dr. 藤巻太一朗の症例写真
74ページ目 / 112
矯正の後戻りと変色歯を治したい 総合歯科診療


【モニター】オープンバイトをインビザラインで矯正治療


切端咬合をインビザライン矯正で解消


前歯の変色が気になる オールセラミッククラウンによる審美歯科治療


前歯のクロスバイトをインビザラインで矯正治療
担当医 藤巻太一朗


前歯のデコボコが気になる インビザラインによる矯正治療
担当医 藤巻太一朗


気になるデコボコとオープンバイト インビザラインでの矯正治療


変色した歯をセラミックできれいに


上下の八重歯を治したい 補助装置を用いたインビザライン矯正
担当医 藤巻太一朗


前歯の歯並びと小さい歯を改善 インビザラインとオールセラミッククラウン


長さの気になる変色した前歯をオールセラミッククラウンに


気になる前歯を美しく マウスピース矯正とセラミッククラウン


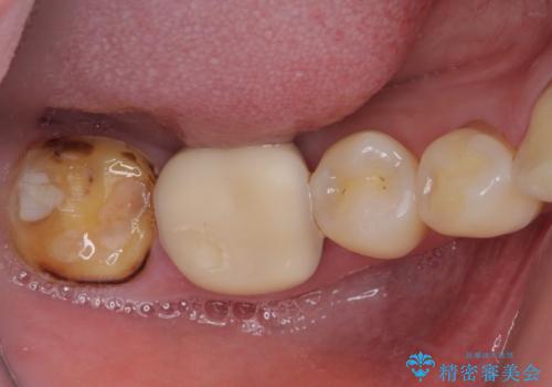
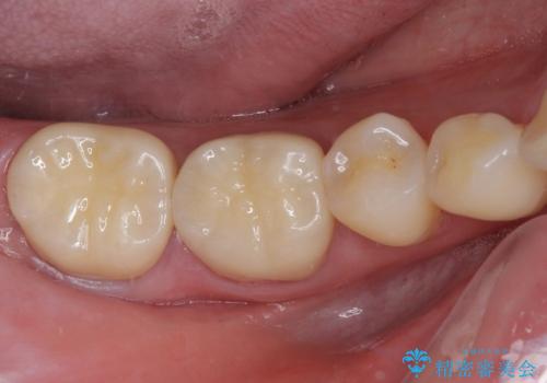
奥歯の壊れたり汚れたりしたクラウン オールセラミッククラウンによる審美歯科治療






