症例・治療例紹介
Cases
Dr. 藤巻太一朗の症例写真
62ページ目 / 112
気になる前歯を治したい インビザラインで気づかれずに矯正治療
担当医 藤巻太一朗


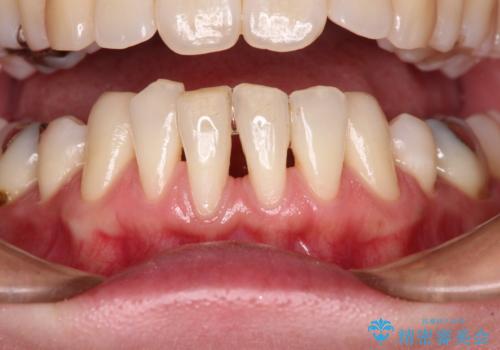
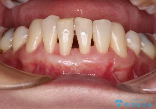
しみてしまう下顎の犬歯 歯肉移植による根面被覆
担当医 藤巻太一朗


気になる前歯をインビザライン・ライトで 矯正治療後には銀歯をセラミックに


下顎の部分矯正を行ってから奥歯の補綴治療とインプラント治療
担当医 藤巻太一朗


ワイヤー矯正を併用し、リスクを回避しながらのインビザライン矯正治療


下顎前歯の歯肉退縮 歯肉移植による根面被覆
担当医 藤巻太一朗


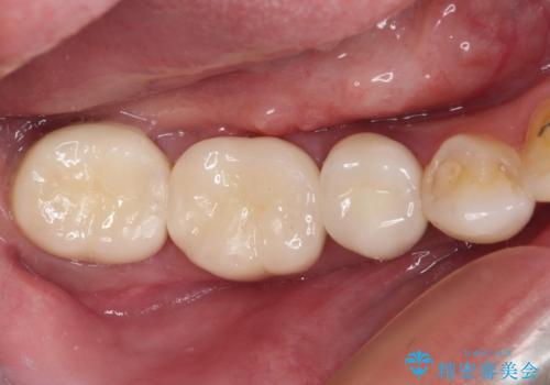
奥歯がしみる 色々な国で治療を受けてきた奥歯のむし歯治療


短期間での治療 急速拡大装置を併用したワイヤー装置による矯正治療


八重歯で正中が右にずれている ワイヤー装置での抜歯矯正で正中位置を改善
担当医 藤巻太一朗


もげてしまった奥歯 部分矯正で清掃性の良い補綴治療


しっかり使って短期間で治療 インビザラインによる叢生解消
担当医 藤巻太一朗


痛む奥歯と見栄えの悪い前歯 オールセラミックによる補綴治療


ワイヤー装置の抜歯矯正で横顔の口元の印象をすっきりと


咬み合わせが気になる ワイヤー矯正による咬み合わせ改善と奥歯のセラミック治療


目立つ銀歯を白くしたい 奥歯のセラミック治療


