症例・治療例紹介
Cases
その他 → クリーニング(PMTC)
27ページ目 / 37
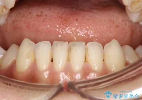
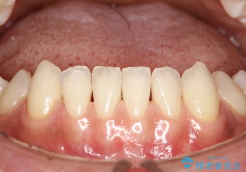
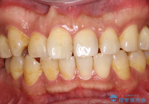
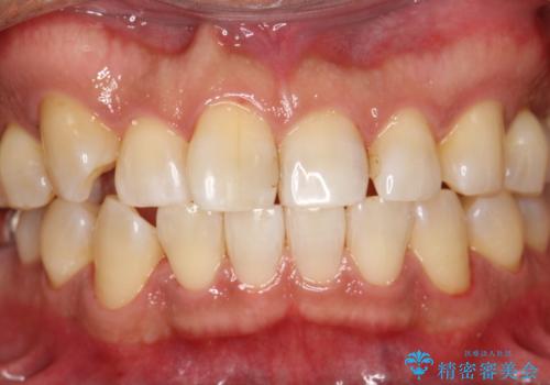
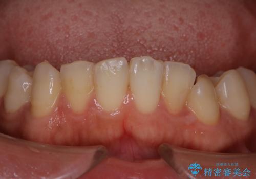
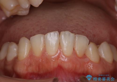
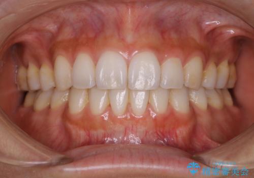
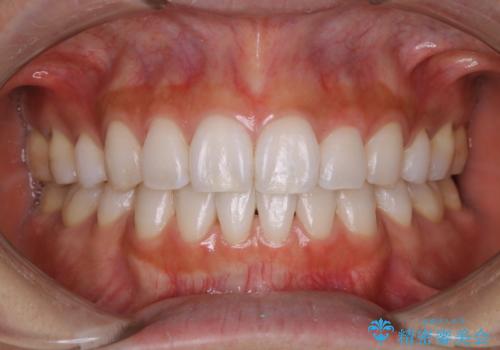
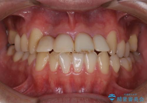
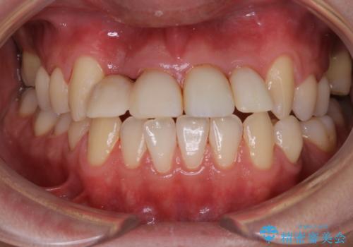
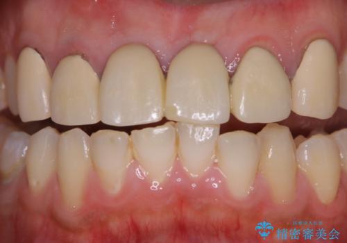
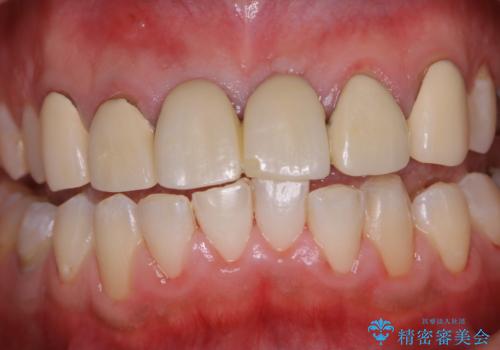
前歯の着色をPMTCできれいに除去
担当医 歯科衛生士


妊娠・出産後のPMTC
担当医 歯科衛生士


タバコのヤニをPMTCできれいに
担当医 歯科衛生士


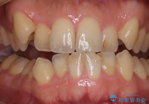
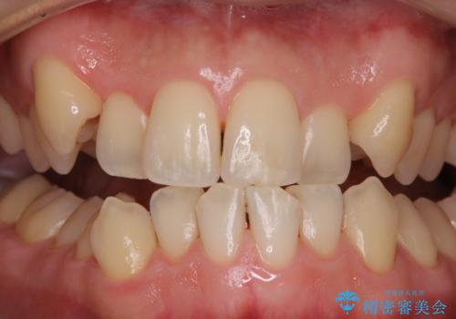
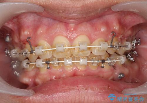
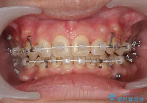
ワイヤー矯正中の歯のクリーニング PMTC
担当医 歯科衛生士


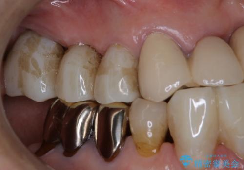
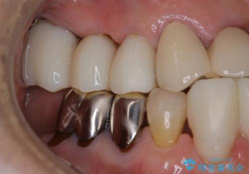
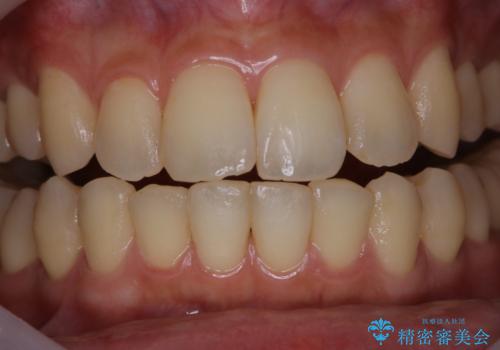
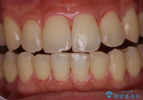
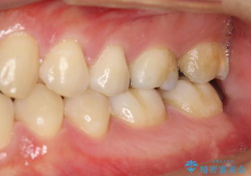
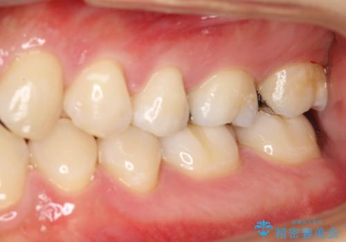
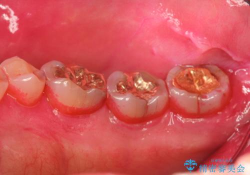
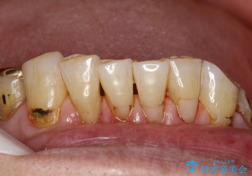
PMTCで被せもののケア
担当医 歯科衛生士


歯科衛生士による専門的なクリーニング PMTC
担当医 歯科衛生士


歯科検診と歯のお掃除
担当医 歯科衛生士


久しぶりのPMTCで歯を綺麗に
担当医 歯科衛生士


インビザライン矯正治療の型どり前にPMTC
担当医 歯科衛生士


半年ぶりのPMTC
担当医 歯科衛生士


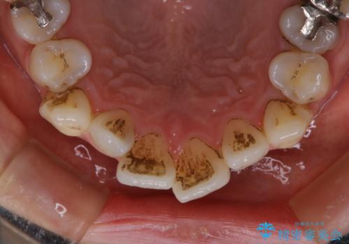
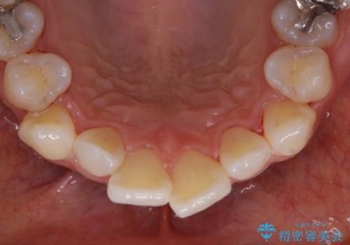
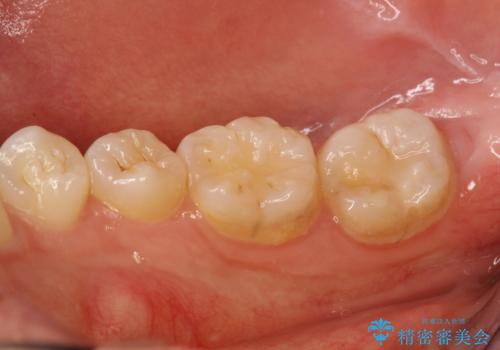
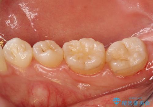
奥歯の汚れもPMTCでしっかり除去
担当医 歯科衛生士


人生で初めての歯のクリーニング PMTC
担当医 歯科衛生士


PMTCでスムーズにデンタルフロスが通るように
担当医 歯科衛生士


インプラント治療途中にPMTC
担当医 歯科衛生士


1年ぶりのPMTC
担当医 歯科衛生士


プロフェッショナルクリーニングの注意事項(リスク・副作用など)
- 歯を白くする目的の施術ではありません
- 保険適用外となります
