症例・治療例紹介
Cases
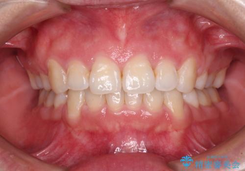
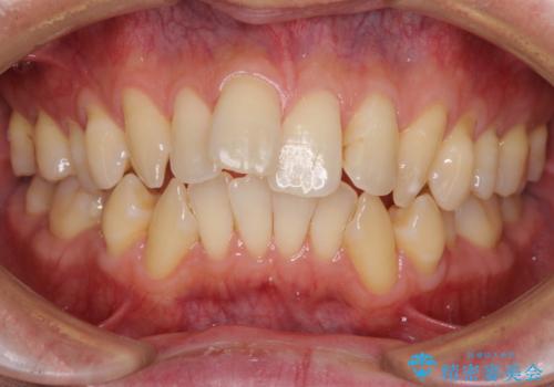
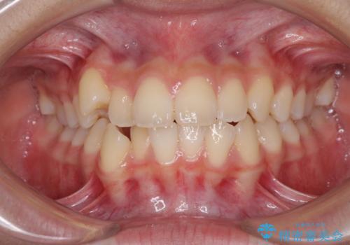
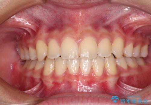
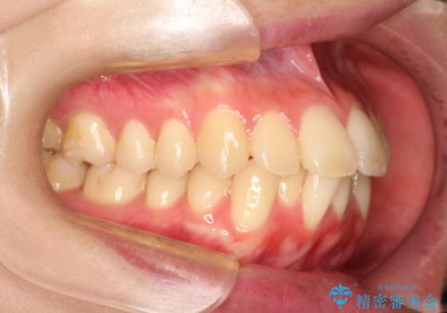
矯正歯科治療 → 上下顎前突(口ゴボ)
9ページ目 / 13
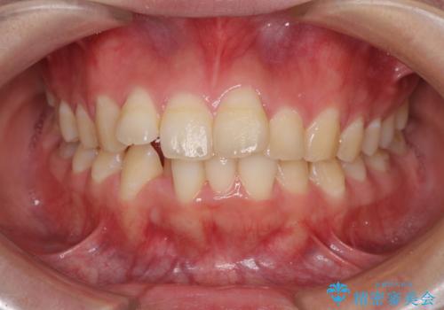
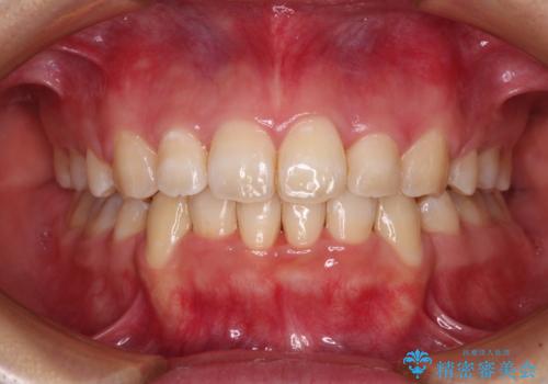
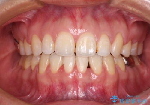
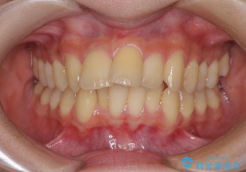
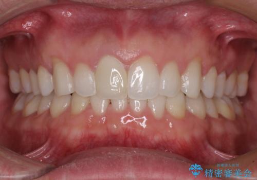
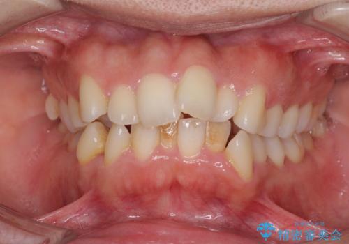
前歯の出っ歯と口の閉じにくさを抜歯矯正で改善 目立たないワイヤー矯正
担当医 藤巻太一朗


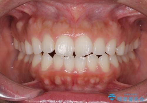
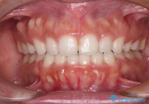
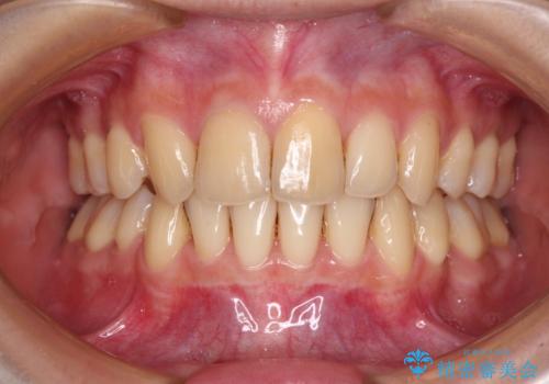
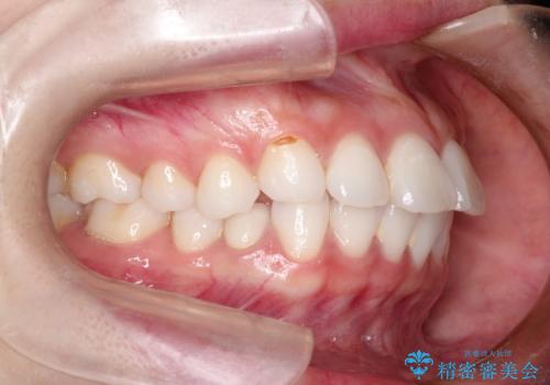
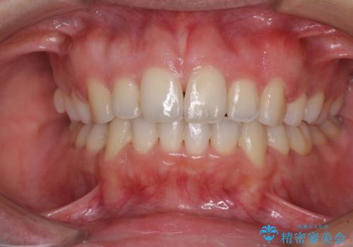
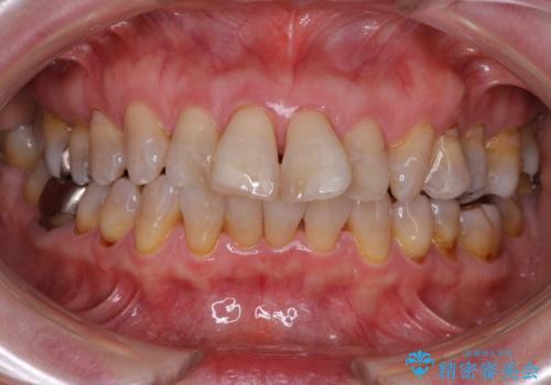
目立たない装置で横顔のシルエットを改善 ハーフリンガルでの抜歯矯正
担当医 藤巻太一朗


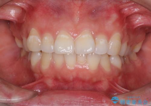
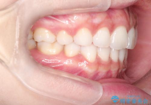
閉じにくい唇を抜歯矯正で閉じやすく 目だたないワイヤー矯正
担当医 藤巻太一朗


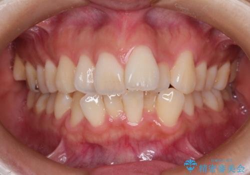
出っ歯を治したい ワイヤー装置による抜歯矯正


ふっくらとした口元を改善したい 目立たないワイヤー装置による抜歯矯正
担当医 藤巻太一朗


掃除しにくい前歯と閉じにくい口元 目立たないワイヤー装置での抜歯矯正


気がつくと口が開いてしまう 閉じにくい口元改善の抜歯矯正


口元が出てるの気になる ハーフリンガルによる抜歯矯正での横顔改善


ダンサーとしての仕事を続けながら インビザラインによる抜歯矯正


口が閉じにくい 口ゴボの抜歯矯正による改善


スッキリとした口元へ 出っ歯の抜歯矯正


口が閉じにくい インビザラインによる矯正治療
担当医 藤巻太一朗


部分矯正で出っ歯になった 出っ歯改善の抜歯矯正


口元をスッキリと ワイヤー装置による抜歯矯正


出っ歯を改善した後に真っ白な歯に 矯正歯科治療と審美歯科治療


ワイヤー矯正歯科治療の注意事項(リスク・副作用など)
- 治療中は違和感や痛みが起こることがあります
- 症状により、抜歯が必要な場合があります
- 治療中は歯磨きがしにくくなるため、虫歯や歯周病になりやすくなります
- 矯正治療後の保定が不十分だと後戻り(元の位置に戻ろうとする動き)をします
- 自費診療(保険適用外)となります
マウスピース矯正の注意事項(リスク・副作用など)
- 口腔内・歯並びの状態によっては対応できない場合があります
- マウスピース型矯正装置の長時間装着が必須です
- 治療計画通りに進めるためには、患者様の意志が重要になります
- 矯正治療後の保定が不十分だと後戻り(元の位置に戻ろうとする動き)をします
- 自費診療(保険適用外)となります
