症例・治療例紹介
Cases
矯正歯科治療 → 叢生(でこぼこ・八重歯)
70ページ目 / 91
八重歯の矯正+歯のないところにインプラント


乳歯が残っている 目立たない装置での抜歯矯正


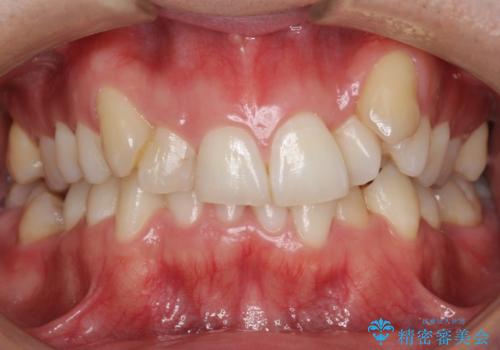
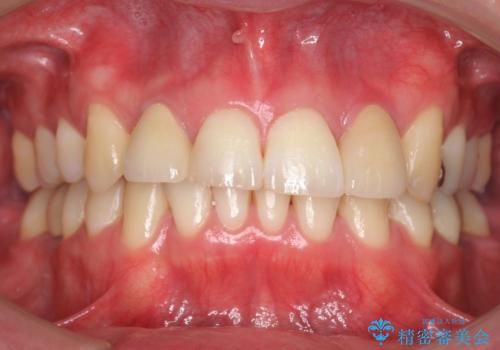
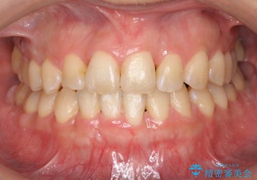
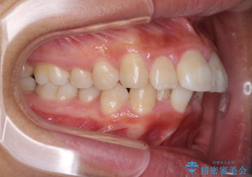
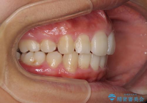
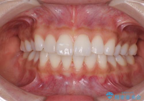
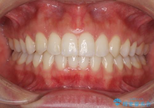
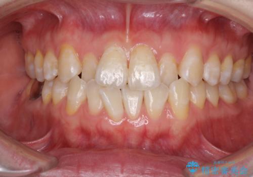
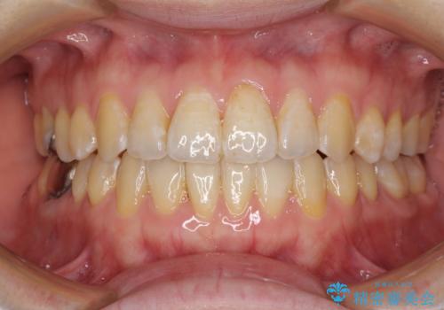
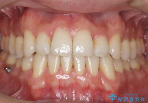
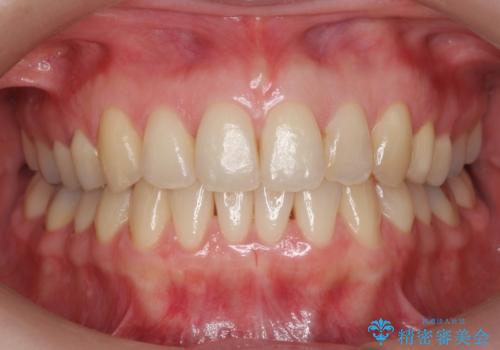
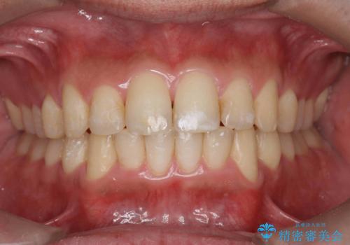
20代女性 口元を下げたい 前歯のがたつき


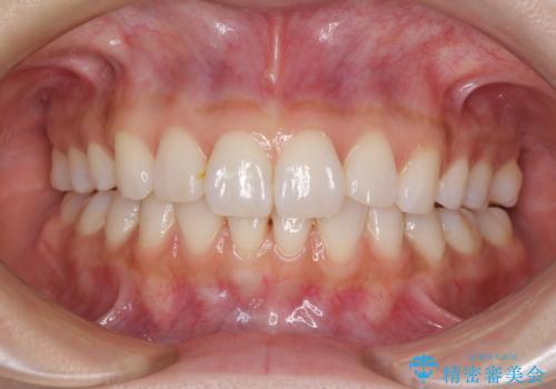
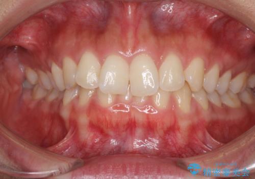
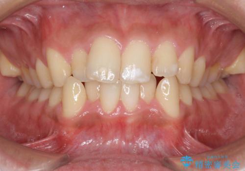
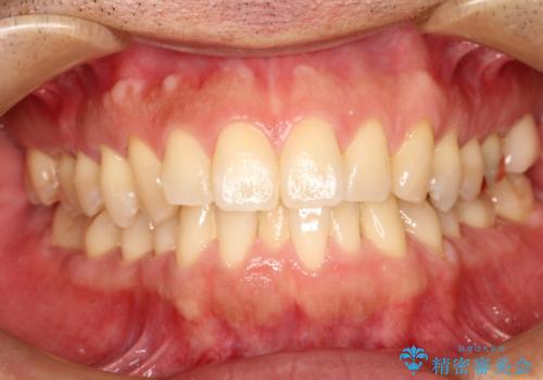
30代女性 残った乳歯を抜いてスペースを閉じる矯正 前歯のねじれ
担当医 井上季実子


口が閉じられない 抜歯矯正で口元をスッキリと


海外勤務中でも矯正治療 インビザラインによる軽度叢生改善
担当医 藤巻太一朗


矯正治療の後戻り インビザラインによる再矯正治療
担当医 藤巻太一朗


ディープバイトと前歯のデコボコを治したい インビザラインによる矯正治療


前歯のデコボコを治したい インビザラインによる矯正治療


受け口 マウスピースで矯正治療 難易度:中


受け口 親知らずを取り込む矯正治療


口ゴボでお悩みの方必見! 不自然なセラミックをやり直す矯正 セラミックだけでは、口元は下がりません。


上の前歯が一部引っ込んでいる 下のがたがた マウスピース矯正


歯を抜かない矯正 奥歯のすれ違い咬合 下の八重歯
担当医 井上季実子


ワイヤーによる全体的ながたつきの矯正治療


ワイヤー矯正歯科治療の注意事項(リスク・副作用など)
- 治療中は違和感や痛みが起こることがあります
 - 症状により、抜歯が必要な場合があります
 - 治療中は歯磨きがしにくくなるため、虫歯や歯周病になりやすくなります
 - 矯正治療後の保定が不十分だと後戻り(元の位置に戻ろうとする動き)をします
 - 自費診療(保険適用外)となります
 
マウスピース矯正の注意事項(リスク・副作用など)
- 口腔内・歯並びの状態によっては対応できない場合があります
 - マウスピース型矯正装置の長時間装着が必須です
 - 治療計画通りに進めるためには、患者様の意志が重要になります
 - 矯正治療後の保定が不十分だと後戻り(元の位置に戻ろうとする動き)をします
 - 自費診療(保険適用外)となります
 
