症例・治療例紹介
Cases
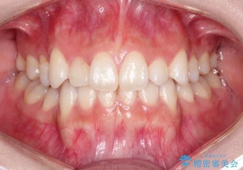
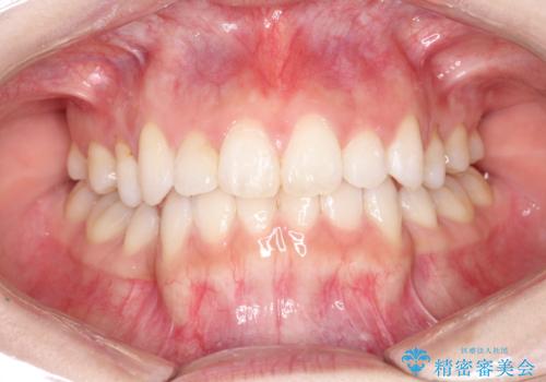
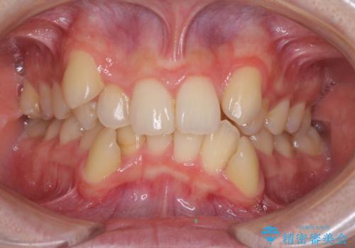
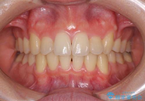
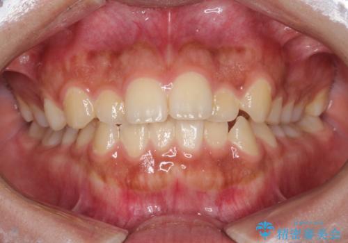
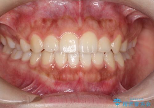
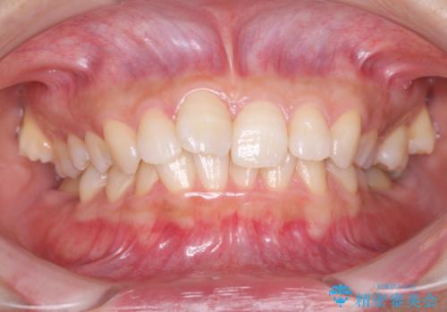
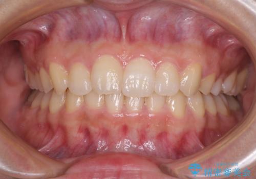
矯正歯科治療 → 叢生(でこぼこ・八重歯)
67ページ目 / 91
話しにくい歯並びの改善 抜歯矯正治療と前歯の審美治療


前歯の後戻りを部分矯正で整った歯並びへ


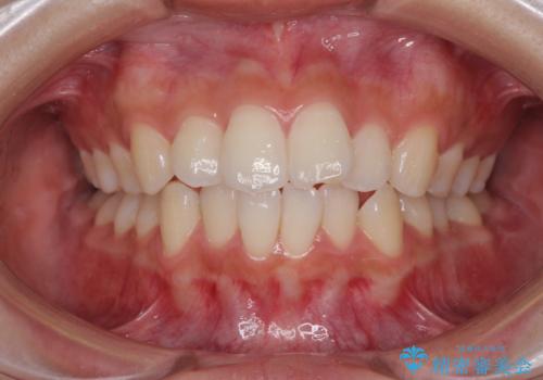
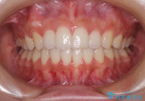
前歯のデコボコを治したい 費用を抑えた抜歯矯正


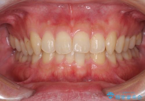
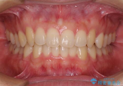
前歯をきれいに整えたい ワイヤー装置での非抜歯矯正
担当医 藤巻太一朗


気になる八重歯を治したい ワイヤー装置での抜歯矯正


前歯のデコボコと突出感 インビザラインで改善


どんなに磨いても汚れが溜まる 抜歯矯正で清潔な口元に


口元をスッキリと ワイヤーでの抜歯矯正


前歯の咬み合わせとデコボコを解消 インビザラインによる矯正治療
担当医 藤巻太一朗


インビザライン 前歯のがたつきを目立たず矯正


口が少し閉じにくい インビザラインによる非抜歯矯正


出っ歯 すれ違い咬合の改善


奥歯の倒れた歯を改善 インビザラインでの矯正治療


気になる前歯を整えたい インビザライン・ライトでの矯正治療
担当医 藤巻太一朗


気になる前歯をインビザラインで綺麗に
担当医 藤巻太一朗


ワイヤー矯正歯科治療の注意事項(リスク・副作用など)
- 治療中は違和感や痛みが起こることがあります
- 症状により、抜歯が必要な場合があります
- 治療中は歯磨きがしにくくなるため、虫歯や歯周病になりやすくなります
- 矯正治療後の保定が不十分だと後戻り(元の位置に戻ろうとする動き)をします
- 自費診療(保険適用外)となります
マウスピース矯正の注意事項(リスク・副作用など)
- 口腔内・歯並びの状態によっては対応できない場合があります
- マウスピース型矯正装置の長時間装着が必須です
- 治療計画通りに進めるためには、患者様の意志が重要になります
- 矯正治療後の保定が不十分だと後戻り(元の位置に戻ろうとする動き)をします
- 自費診療(保険適用外)となります
