症例・治療例紹介
Cases
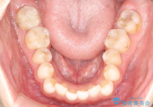
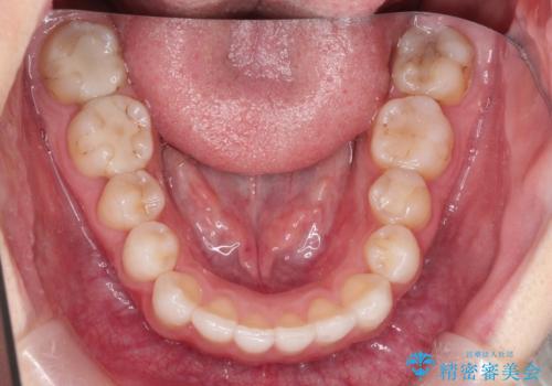
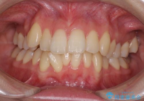
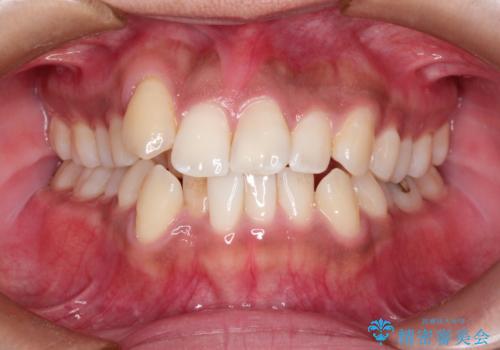
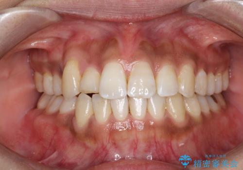
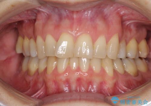
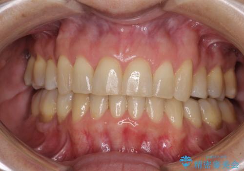
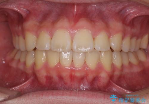
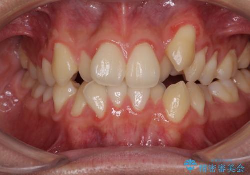
矯正歯科治療 → 叢生(でこぼこ・八重歯)
63ページ目 / 91
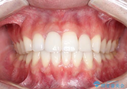
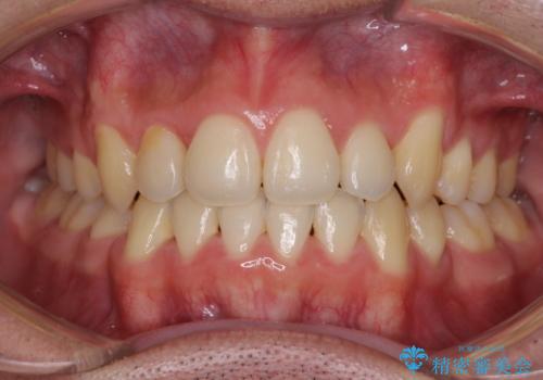
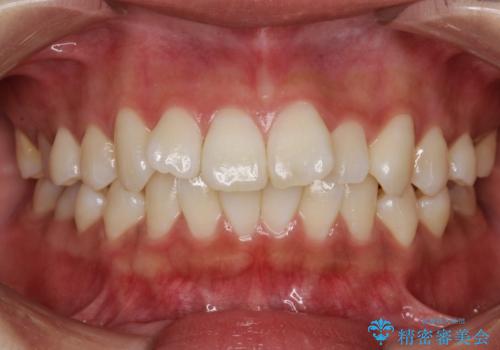
前歯のがたつきをインビザラインで目立たず矯正治療


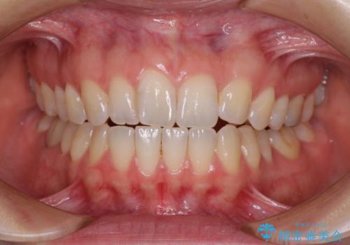
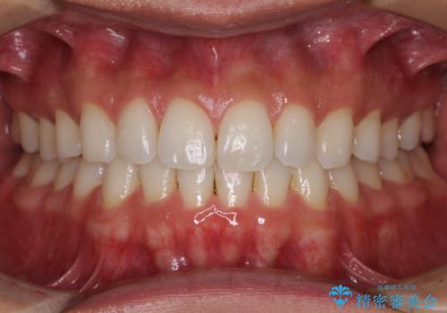
口元の突出感を改善 ワイヤー装置による抜歯矯正


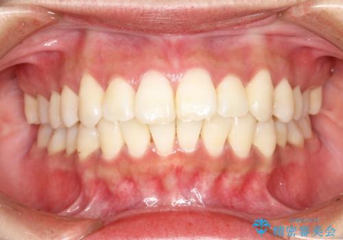
インビザラインでスッキリとした口元に
担当医 藤巻太一朗


インビザラインと補助装置の併用による八重歯の抜歯矯正


インビザラインとセラミック治療で整った歯並びへ


気になる上の歯を改善 インビザライン矯正
担当医 藤巻太一朗


食いしばりの癖を改善 インビザラインによる矯正治療


海外勤務中のインビザラインによる矯正治療


歯周病改善のための総合歯科治療
担当医 藤巻太一朗


気になる後戻り 前歯をインビザライン・ライトで改善
担当医 藤巻太一朗


矯正の後戻りの改善と銀歯をセラミックに


前歯のデコボコを短期間で治療 目立たないワイヤー矯正
担当医 藤巻太一朗


八重歯を治したい 目立たないワイヤー装置での抜歯矯正
担当医 藤巻太一朗


がたがたをインビザラインで整った歯並びへ


重度のガタガタのインビザラインによる非抜歯矯正


ワイヤー矯正歯科治療の注意事項(リスク・副作用など)
- 治療中は違和感や痛みが起こることがあります
- 症状により、抜歯が必要な場合があります
- 治療中は歯磨きがしにくくなるため、虫歯や歯周病になりやすくなります
- 矯正治療後の保定が不十分だと後戻り(元の位置に戻ろうとする動き)をします
- 自費診療(保険適用外)となります
マウスピース矯正の注意事項(リスク・副作用など)
- 口腔内・歯並びの状態によっては対応できない場合があります
- マウスピース型矯正装置の長時間装着が必須です
- 治療計画通りに進めるためには、患者様の意志が重要になります
- 矯正治療後の保定が不十分だと後戻り(元の位置に戻ろうとする動き)をします
- 自費診療(保険適用外)となります
