症例・治療例紹介
Cases
矯正歯科治療 → インビザライン
62ページ目 / 76
【モニター】 インビザラインによる後戻りの再矯正治療
担当医 藤巻太一朗


前歯の真ん中の隙間を閉じたい インビザラインによる目立たない矯正


前歯の隙間を閉じたい インビザラインによる矯正


前歯のがたつき・すれちがい咬合を非抜歯で。流行の、格安マウスピースでは難しい、ワンランク上の治療


前歯のガタガタをインビザラインで目立たず矯正


欠損歯と矮小歯 矯正治療と前歯のセラミック治療


前歯のオープンバイトを治したい インビザラインでの矯正治療
担当医 藤巻太一朗


前歯のガタガタ 治療期間がかかっても良いので非抜歯でマウスピースで


前歯のがたつき インビザラインで抜歯矯正
担当医 井上季実子


歯並びのがたつきを直したい ワイヤーは嫌 抜きたくない


前歯のクロスバイトをインビザライン矯正で改善
担当医 藤巻太一朗


前歯のデコボコと突出感 インビザラインで改善


マウスピース矯正の注意事項(リスク・副作用など)
- 口腔内・歯並びの状態によっては対応できない場合があります
- マウスピース型矯正装置の長時間装着が必須です
- 治療計画通りに進めるためには、患者様の意志が重要になります
- 矯正治療後の保定が不十分だと後戻り(元の位置に戻ろうとする動き)をします
- 自費診療(保険適用外)となります



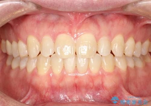
![[ 八重歯 ] マウスピース部分矯正による改善の症例 治療前](https://seimitsushinbi.jp/wp/wp-content/uploads/2020/09/3f2ccb33a40512e6bfeb8baea1687d2d-1-500x350.jpg?v=1600507883)
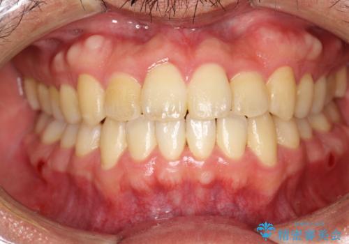
![[ 八重歯 ] マウスピース部分矯正による改善の症例 治療後](https://seimitsushinbi.jp/wp/wp-content/uploads/2020/09/4ac55ba3e1bacc1d9583c73e5fe2e0b4-2-500x350.jpg?v=1600507887)

