症例・治療例紹介
Cases
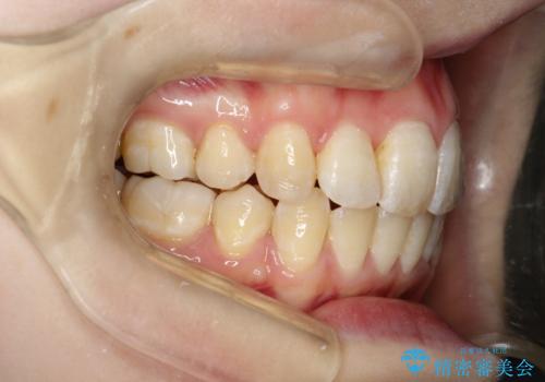
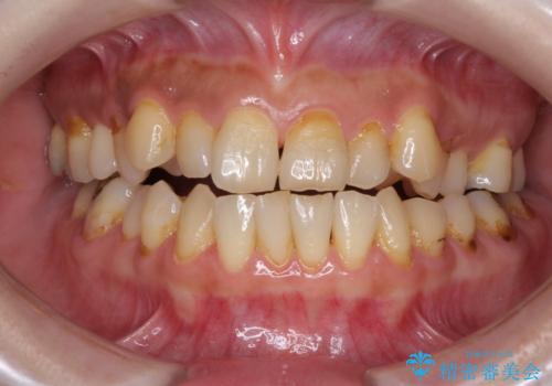
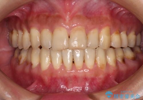
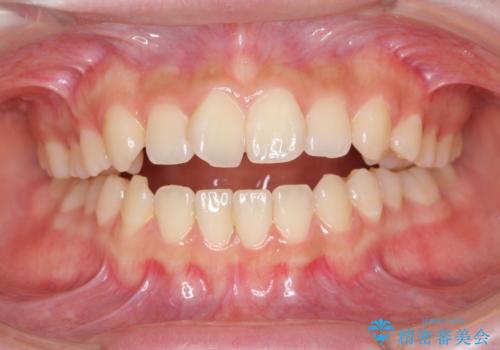
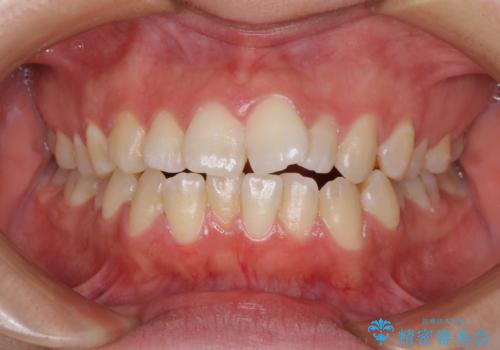
矯正歯科治療 → 開咬(オープンバイト)
6ページ目 / 8
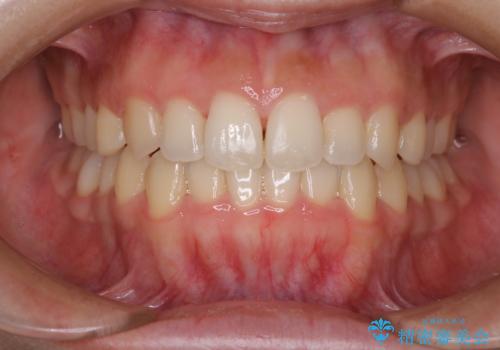
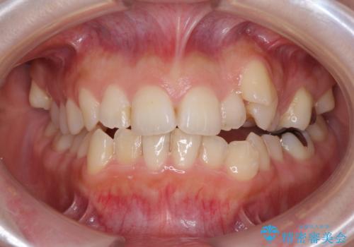
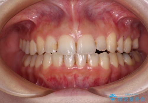
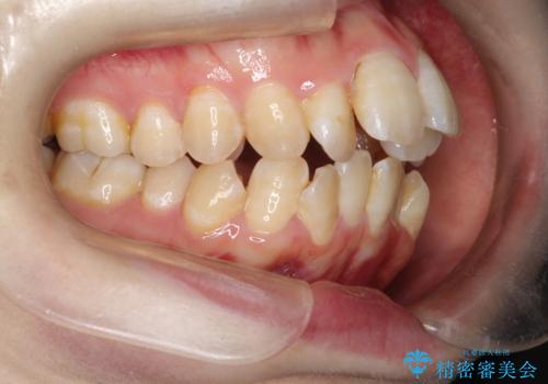
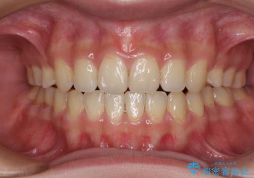
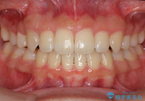
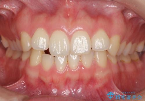
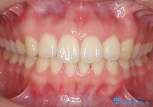
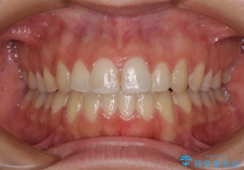
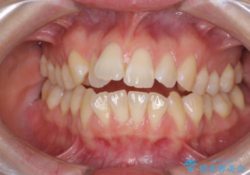
上下前歯が接触しない オープンバイトをインビザラインで改善


オープンバイト(開咬)を非抜歯インビザラインで治す


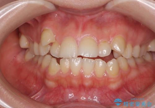
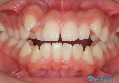
顕著な八重歯をインビザラインで治せるところまで改善


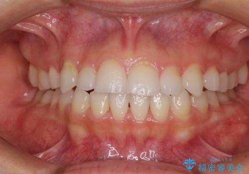
抜歯矯正で閉じにくかった口を閉じやすく改善


補助装置を使ったインビザラインによる抜歯矯正


咬み合わせが気になる ワイヤー矯正による咬み合わせ改善と奥歯のセラミック治療


重度のガタガタ ワイヤーによる抜歯矯正


どこで咬んで良いのか分からない インビザラインでの咬み合わせの改善
担当医 藤巻太一朗


話しにくいオープンバイト ワイヤー装置による抜歯矯正治療
担当医 藤巻太一朗


目立ちにくい抜歯矯正 ハーフリンガル


インビザラインチェンジで成功 インビザラインで八重歯の抜歯矯正


下の前歯が1本短い インビザラインと部分矯正の組み合わせ


【モニター】オープンバイトをインビザラインで矯正治療


気になるデコボコとオープンバイト インビザラインでの矯正治療


ワイヤーによる出っ歯の矯正 前歯でかめるように


ワイヤー矯正歯科治療の注意事項(リスク・副作用など)
- 治療中は違和感や痛みが起こることがあります
- 症状により、抜歯が必要な場合があります
- 治療中は歯磨きがしにくくなるため、虫歯や歯周病になりやすくなります
- 矯正治療後の保定が不十分だと後戻り(元の位置に戻ろうとする動き)をします
- 自費診療(保険適用外)となります
マウスピース矯正の注意事項(リスク・副作用など)
- 口腔内・歯並びの状態によっては対応できない場合があります
- マウスピース型矯正装置の長時間装着が必須です
- 治療計画通りに進めるためには、患者様の意志が重要になります
- 矯正治療後の保定が不十分だと後戻り(元の位置に戻ろうとする動き)をします
- 自費診療(保険適用外)となります
