症例・治療例紹介
Cases
矯正歯科治療 → インビザライン
59ページ目 / 76
上顎前歯が2本欠損 インビザラインによる叢生の解消


前歯のがたつきをインビザラインで目立たず矯正治療


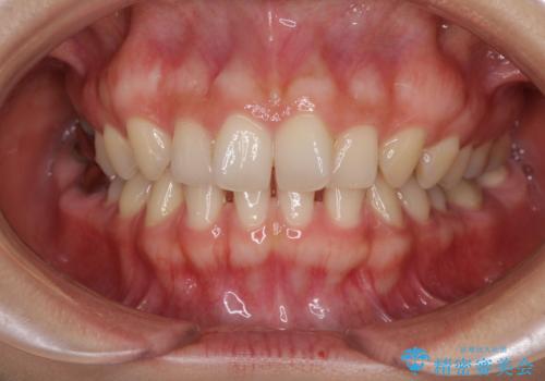
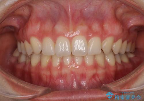
インビザラインでスッキリとした口元に
担当医 藤巻太一朗


インビザラインと補助装置の併用による八重歯の抜歯矯正


インビザラインとセラミック治療で整った歯並びへ


気になる上の歯を改善 インビザライン矯正
担当医 藤巻太一朗


食いしばりの癖を改善 インビザラインによる矯正治療


海外勤務中のインビザラインによる矯正治療


隙間だらけの歯列をきれいに インビザライン矯正とセラミック補綴治療


気になる後戻り 前歯をインビザライン・ライトで改善
担当医 藤巻太一朗


前歯を整えたい 小さい前歯がある 矯正・セラミック併用で美しく インビザラインでも抜歯矯正できます


矯正の後戻りの改善と銀歯をセラミックに


がたがたをインビザラインで整った歯並びへ


重度のガタガタのインビザラインによる非抜歯矯正


マウスピース矯正の注意事項(リスク・副作用など)
- 口腔内・歯並びの状態によっては対応できない場合があります
- マウスピース型矯正装置の長時間装着が必須です
- 治療計画通りに進めるためには、患者様の意志が重要になります
- 矯正治療後の保定が不十分だと後戻り(元の位置に戻ろうとする動き)をします
- 自費診療(保険適用外)となります


