症例・治療例紹介
Cases
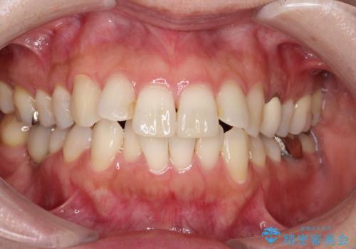
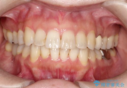
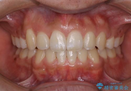
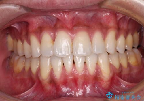
矯正歯科治療 → 叢生(でこぼこ・八重歯)
55ページ目 / 91
大人の目立たない矯正 インビザライン


前歯のデコボコをインビザラインでスッキリと仕上げる


出っ歯を治したい ワイヤー装置による抜歯矯正


マウスピース矯正で前歯のガタつきを改善


上の前歯が1本前に飛び出している インビザラインによる目立たない矯正


上下のがたつきをインビザラインで目立たない矯正


オーディションで歯並びを指摘された:自信をもって歌える口元へ


気になる前歯を治したい 短期間でのインビザライン矯正
担当医 藤巻太一朗


掃除しにくい前歯と閉じにくい口元 目立たないワイヤー装置での抜歯矯正


前歯のクロスバイトを治したい インビザラインによる矯正治療


気になる八重歯を抜歯矯正で改善 補助装置を用いたインビザライン矯正
担当医 藤巻太一朗


できる限り短い期間で終えたい ワイヤー矯正による咬み合わせの改善
担当医 藤巻太一朗


上顎の狭い歯列をインビザラインで拡大
担当医 藤巻太一朗


上下前歯のデコボコをきれいに インビザラインによる矯正治療


歯並びや奥歯の痛み 色々と治したい 総合歯科診療
担当医 藤巻太一朗


ワイヤー矯正歯科治療の注意事項(リスク・副作用など)
- 治療中は違和感や痛みが起こることがあります
- 症状により、抜歯が必要な場合があります
- 治療中は歯磨きがしにくくなるため、虫歯や歯周病になりやすくなります
- 矯正治療後の保定が不十分だと後戻り(元の位置に戻ろうとする動き)をします
- 自費診療(保険適用外)となります
マウスピース矯正の注意事項(リスク・副作用など)
- 口腔内・歯並びの状態によっては対応できない場合があります
- マウスピース型矯正装置の長時間装着が必須です
- 治療計画通りに進めるためには、患者様の意志が重要になります
- 矯正治療後の保定が不十分だと後戻り(元の位置に戻ろうとする動き)をします
- 自費診療(保険適用外)となります
