症例・治療例紹介
Cases
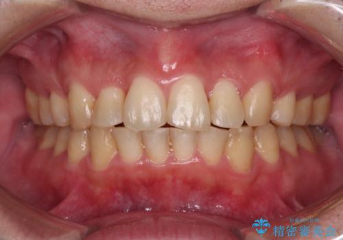
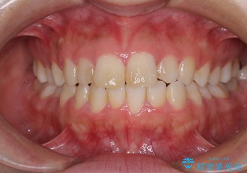
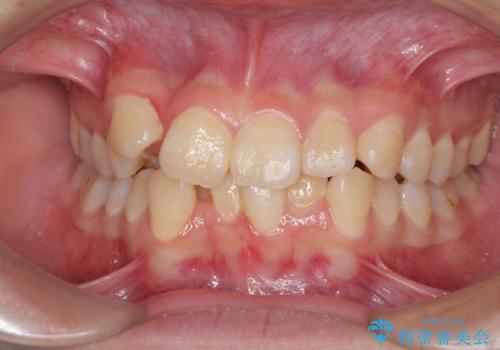
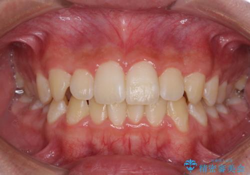
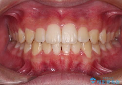
矯正歯科治療 → 叢生(でこぼこ・八重歯)
52ページ目 / 91
沖縄から飛行機で通院 インビザラインによる矯正治療
担当医 藤巻太一朗


上顎の八重歯と下顎前歯の欠損 ワイヤー装置による抜歯矯正


前歯のスペースが気になる インビザラインによる矯正治療
担当医 藤巻太一朗


強い咬み込みですり減った前歯 デコボコを抜歯矯正で整える


ワイヤー矯正とオールセラミックの組み合わせ治療


気になる前歯を治したい インビザラインで気づかれずに矯正治療
担当医 藤巻太一朗


ワイヤー矯正を併用し、リスクを回避しながらのインビザライン矯正治療


短期間での治療 急速拡大装置を併用したワイヤー装置による矯正治療


八重歯で正中が右にずれている ワイヤー装置での抜歯矯正で正中位置を改善
担当医 藤巻太一朗


しっかり使って短期間で治療 インビザラインによる叢生解消
担当医 藤巻太一朗


八重歯がスッキリ 抜歯ワイヤー矯正
担当医 今村大二郎


八重歯が気になる ワイヤーによる抜歯矯正できれいな歯並びへ


上の歯と下の歯が反対にかんでいる インビザラインによる目立たない矯正


軽度の前歯のガタガタをインビザラインでの目立たない矯正


八重歯・前歯のがたつき 抜かない矯正 インビザラインで


ワイヤー矯正歯科治療の注意事項(リスク・副作用など)
- 治療中は違和感や痛みが起こることがあります
- 症状により、抜歯が必要な場合があります
- 治療中は歯磨きがしにくくなるため、虫歯や歯周病になりやすくなります
- 矯正治療後の保定が不十分だと後戻り(元の位置に戻ろうとする動き)をします
- 自費診療(保険適用外)となります
マウスピース矯正の注意事項(リスク・副作用など)
- 口腔内・歯並びの状態によっては対応できない場合があります
- マウスピース型矯正装置の長時間装着が必須です
- 治療計画通りに進めるためには、患者様の意志が重要になります
- 矯正治療後の保定が不十分だと後戻り(元の位置に戻ろうとする動き)をします
- 自費診療(保険適用外)となります
