症例・治療例紹介
Cases
矯正歯科治療 → 叢生(でこぼこ・八重歯)
49ページ目 / 91
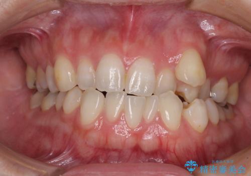
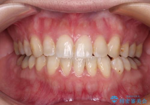
前歯の叢生をいつの間にか改善 インビザラインによる矯正治療
担当医 藤巻太一朗


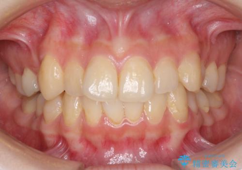
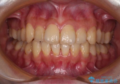
八重歯と前歯の欠損と骨格のズレ 目立たないワイヤー矯正
担当医 藤巻太一朗


著しい八重歯を短期間で改善 ワイヤー装置による抜歯矯正


出産をしながら歯列を整える インビザラインによる矯正治療
担当医 藤巻太一朗


デコボコ歯列をきれいに インビザラインによる矯正治療
担当医 藤巻太一朗


骨格的なズレをカムフラージュ 抜歯矯正で咬み合わせを改善


前歯のクロスバイト 目立たないワイヤー装置で速やかに矯正治療
担当医 藤巻太一朗


【モニター】前歯のクロスバイトと隙間を改善 インビザラインによる矯正治療


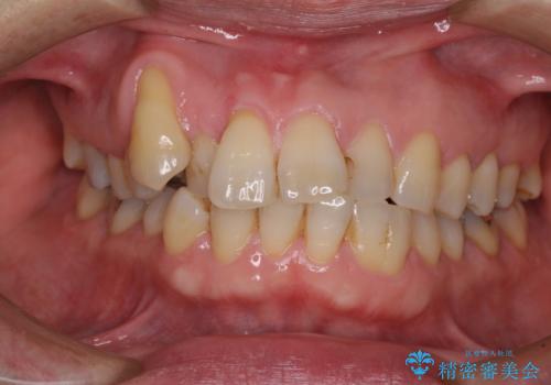
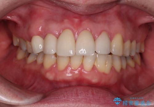
八重歯と形の悪い前歯 矯正治療とセラミック治療


デコボコで飛び出した前歯 ワイヤー装置による抜歯矯正


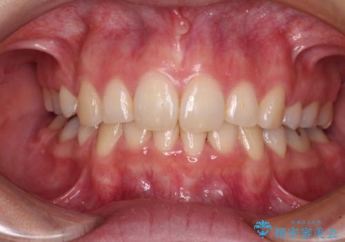
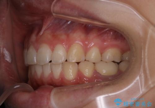
【出っ歯(飛び出した前歯)・がたつきでお悩みの方必見】インビザライン矯正の症例


出っ歯の矯正 抜歯をしてしっかり引っ込めるワイヤー矯正


前歯のがたつきをインビザラインで目立たない矯正


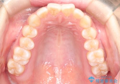
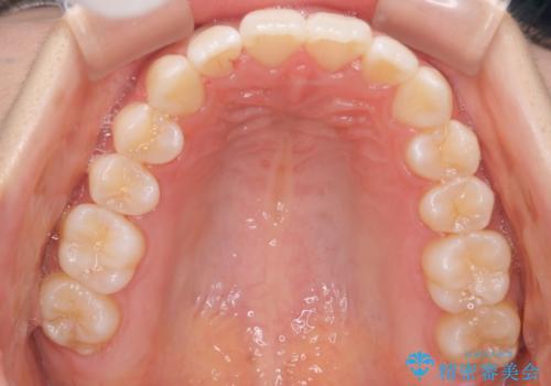
[ ディープバイト ] 深い噛み合わせの改善 マウスピース矯正
![[ ディープバイト ] 深い噛み合わせの改善 マウスピース矯正の症例 治療前](https://seimitsushinbi.jp/wp/wp-content/uploads/2022/03/dc9c092565b160bca6dd53d63f6aeffb-500x350.jpg?v=1646893459)
![[ ディープバイト ] 深い噛み合わせの改善 マウスピース矯正の症例 治療後](https://seimitsushinbi.jp/wp/wp-content/uploads/2022/03/5f1b12b750c3b8c04cdc49e53bc8f89d-500x350.jpg?v=1646893434)
前歯のねじれを改善 小矯正+マウスピース矯正インビザライン
担当医 大元洋佑


ワイヤー矯正歯科治療の注意事項(リスク・副作用など)
- 治療中は違和感や痛みが起こることがあります
- 症状により、抜歯が必要な場合があります
- 治療中は歯磨きがしにくくなるため、虫歯や歯周病になりやすくなります
- 矯正治療後の保定が不十分だと後戻り(元の位置に戻ろうとする動き)をします
- 自費診療(保険適用外)となります
マウスピース矯正の注意事項(リスク・副作用など)
- 口腔内・歯並びの状態によっては対応できない場合があります
- マウスピース型矯正装置の長時間装着が必須です
- 治療計画通りに進めるためには、患者様の意志が重要になります
- 矯正治療後の保定が不十分だと後戻り(元の位置に戻ろうとする動き)をします
- 自費診療(保険適用外)となります
