症例・治療例紹介
Cases
矯正歯科治療 → 審美装置
32ページ目 / 39
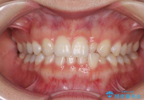
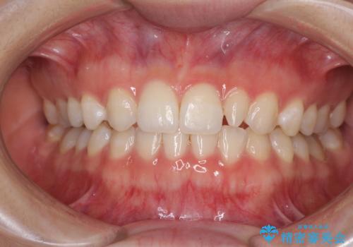
前歯の反対咬合 非抜歯のワイヤー矯正


海外転居前に気になる前歯を整えたい 上下前歯の部分矯正
担当医 藤巻太一朗


右だけ八重歯 最少限の抜歯


20代女性 受け口 手術をしなくても変わります


奥歯のブリッジを白く 矯正含めた総合治療で、歯周病、根の問題、一気に解決


インプラントと入れ歯による全顎補綴治療


ボロボロの歯を何とかしたい 総合歯科治療による全顎治療
担当医 藤巻太一朗


全顎矯正治療の部分的な紹介 ~横向きに生えた奥歯を整直させる~


前歯のガタガタを改善 八重歯も無くなりキレイな歯並びに
担当医 奥村高広


表側のワイヤー矯正 口元の改善をはかる抜歯矯正


前歯の出っ歯とでこぼこを抜歯矯正で改善 目立たないワイヤー矯正


ワイヤー矯正とマウスピース矯正を併用して、短期間で歯列矯正
担当医 藤巻太一朗


前歯のがたがた 出っ歯が気になる 永久歯が一本足りない変則的な治療


重度の不正咬合 Cl.Ⅱ div.2 を表のワイヤー矯正で綺麗に!


ブリッジ・矯正・インプラント 総合歯科診療
担当医 藤巻太一朗


ワイヤー矯正歯科治療の注意事項(リスク・副作用など)
- 治療中は違和感や痛みが起こることがあります
- 症状により、抜歯が必要な場合があります
- 治療中は歯磨きがしにくくなるため、虫歯や歯周病になりやすくなります
- 矯正治療後の保定が不十分だと後戻り(元の位置に戻ろうとする動き)をします
- 自費診療(保険適用外)となります
