症例・治療例紹介
Cases
矯正歯科治療 → 審美装置
30ページ目 / 39
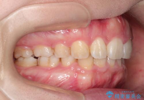
上下の歯のガタガタ ワイヤーでの抜歯矯正で整った歯並びへ


40代の矯正 八重歯を綺麗に


埋もれた八重歯を引っ張り出す 目立たない矯正装置
担当医 藤巻太一朗


ワイヤーによる抜歯矯正 全体的なガタガタを整った歯並びへ


口元が出てるの気になる、引っ込めたい ワイヤーによる抜歯矯正で横顔の改善


前歯がでていて口が閉じずらい ワイヤーによる抜歯矯正


埋まっている犬歯を抜歯して、歯列矯正


エナメル質形成不全症の方の全顎治療 矯正治療から最終補綴処置まで


成人式に間に合う 前歯の矯正


抜歯矯正で口元に変化を ラビアル・ワイヤー矯正でEライン


抜歯をして前歯を下げ、ガタつきを取り除く ワイヤー矯正


永久歯が生えてこない ワイヤー矯正で複雑な状態を正常咬合へ誘導する


片顎の部分矯正 ワイヤーを用いて短期間でガタつきを改善する


抜かない、削らない矯正 大人も上顎を骨から広げます
担当医 井上季実子


ワイヤー矯正歯科治療の注意事項(リスク・副作用など)
- 治療中は違和感や痛みが起こることがあります
- 症状により、抜歯が必要な場合があります
- 治療中は歯磨きがしにくくなるため、虫歯や歯周病になりやすくなります
- 矯正治療後の保定が不十分だと後戻り(元の位置に戻ろうとする動き)をします
- 自費診療(保険適用外)となります


