症例・治療例紹介
Cases
矯正歯科治療 → マウスピース
18ページ目 / 22
前歯のガタガタを目立たずきれいにしたい インビザラインによる見えない矯正


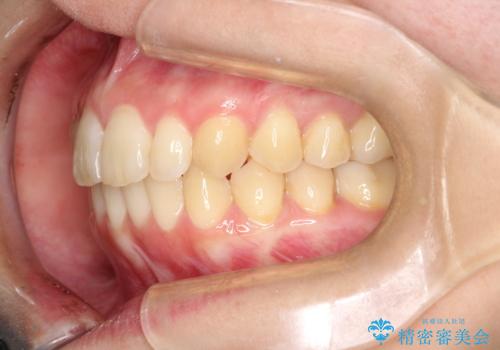
前歯の歯並びが気になる マウスピース矯正 30代女性


[インビザライン ライト] 短期間(3.5ヶ月)で終わるマウスピース矯正
![[インビザライン ライト] 短期間(3.5ヶ月)で終わるマウスピース矯正の症例 治療前](https://seimitsushinbi.jp/wp/wp-content/uploads/2020/02/C3-500x350.jpg?v=1580813654)
![[インビザライン ライト] 短期間(3.5ヶ月)で終わるマウスピース矯正の症例 治療後](https://seimitsushinbi.jp/wp/wp-content/uploads/2020/02/2f36cdf472a802b537022ae239b8cb6b-500x350.jpg?v=1580813669)
インビザライン矯正 神経のない歯をとって、全て天然歯に


インビザラインでデコボコを目立たず矯正


前歯のすきま 受け口 インビザラインで


抜かない矯正 前歯がとび出ているのをマウスピースで


インビザラインで前歯のがたつきを目立たずに矯正治療


シビアな前突症・過蓋咬合 インビザラインで改善する invisalign


インビザラインによるガタつきの矯正治療 シンプル・短期間


マウスピース矯正の注意事項(リスク・副作用など)
- 口腔内・歯並びの状態によっては対応できない場合があります
- マウスピース型矯正装置の長時間装着が必須です
- 治療計画通りに進めるためには、患者様の意志が重要になります
- 矯正治療後の保定が不十分だと後戻り(元の位置に戻ろうとする動き)をします
- 自費診療(保険適用外)となります







![[スプリングリテーナー] 小矯正後のガタつき再発を防ぐリテーナーの症例 治療前](https://seimitsushinbi.jp/wp/wp-content/uploads/2019/11/9035f43ca34dea8b7bf5a0edb46d41dd-500x350.jpg?v=1574908988)
![[スプリングリテーナー] 小矯正後のガタつき再発を防ぐリテーナーの症例 治療後](https://seimitsushinbi.jp/wp/wp-content/uploads/2019/11/f5ad30e4b5037ddeedc93a57a0d5ef8c-500x350.jpg?v=1574908999)

