症例・治療例紹介
Cases
矯正歯科治療 → マウスピース
14ページ目 / 22
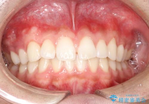
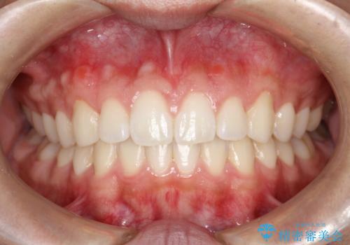
上下のがたつきをインビザラインで目立たない矯正


50代女性 インビザライン かみ合わせが深く、難しい症例


前歯の隙間がきになる インビザラインですきっ歯の治療


前歯が反対になっている マウスピース矯正+奥歯ブリッジ


再矯正、後戻りを治したい、マウスピース矯正


前歯が気になる 大人のマウスピース矯正 矮小歯を整える


上下のガタガタのマウスピースによる非抜歯矯正


全体のガタガタをインビザラインできれいな歯並びへ


前歯のクロスバイト インビザライン矯正で改善


インビザラインを使用した深いかみ合わせの矯正


インビザラインによる矯正治療 前歯を整った歯並びへ


出っ歯 インビザラインで歯を抜かない治療


マウスピース矯正の注意事項(リスク・副作用など)
- 口腔内・歯並びの状態によっては対応できない場合があります
- マウスピース型矯正装置の長時間装着が必須です
- 治療計画通りに進めるためには、患者様の意志が重要になります
- 矯正治療後の保定が不十分だと後戻り(元の位置に戻ろうとする動き)をします
- 自費診療(保険適用外)となります






