症例・治療例紹介
Cases
セラミック治療 → 前歯クラウン(オールセラミック)
34ページ目 / 73
下の前歯の色が気になる セラミックで綺麗に 40代男性


他院で神経を取ると言われた 神経を極力残した虫歯治療


インビザラインとセラミック治療で整った歯並びへ


矯正しても虫歯が気になる 前歯のオールセラミッククラウン


欠けてしまった前歯のセラミック 同じ色合いで再製作


歯周病改善のための総合歯科治療
担当医 藤巻太一朗


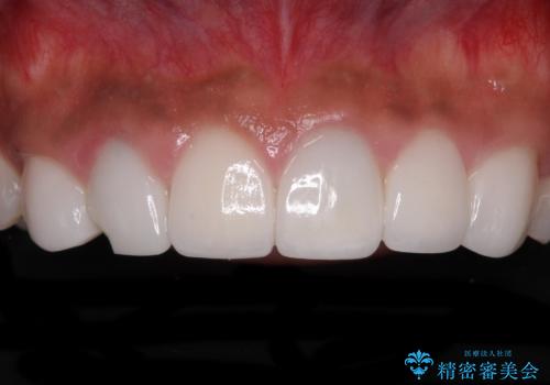
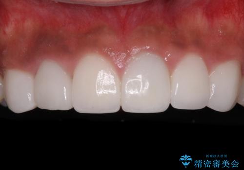
前歯の変色 オールセラミッククラウン
担当医 河口智英


前歯が左右対称じゃない 保険の被せ物をきれいにしたい ホワイトニング併用


老朽化した前歯のセラミック治療やりかえ
担当医 大元洋佑


前歯を整えたい 小さい前歯がある 矯正・セラミック併用で美しく インビザラインでも抜歯矯正できます


前歯が黒い セラミックで綺麗に 20代女性


ラミネートの前歯をオールセラミッククラウンで自然に


何度も欠けてしまう前歯を被せ物で治療


[前歯 セラミック治療] すぐに前歯が取れる きちんと治療して欲しい
![[前歯 セラミック治療] すぐに前歯が取れる きちんと治療して欲しいの症例 治療前](https://seimitsushinbi.jp/wp/wp-content/uploads/2021/01/9e6ce61e0bdd79ba9b3792484754c3e3-500x350.jpg?v=1609914925)
![[前歯 セラミック治療] すぐに前歯が取れる きちんと治療して欲しいの症例 治療後](https://seimitsushinbi.jp/wp/wp-content/uploads/2021/01/1c3b62c3a0de497eade34ec62d821d52-500x350.jpg?v=1609914963)
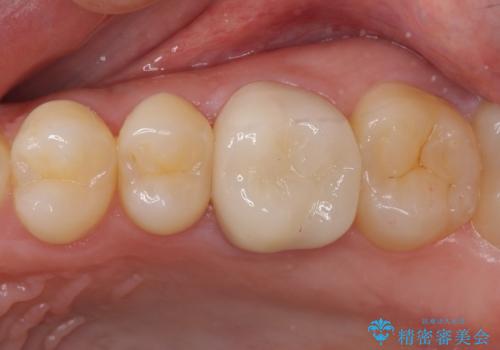
[根管治療・セラミッククラウン] 他院で抜くしかないと言われた歯の治療
![[根管治療・セラミッククラウン] 他院で抜くしかないと言われた歯の治療の症例 治療前](https://seimitsushinbi.jp/wp/wp-content/uploads/2021/01/91d1d4b8e73e8b08ee1f1a8d4bfa764d-500x350.jpg?v=1609913634)
![[根管治療・セラミッククラウン] 他院で抜くしかないと言われた歯の治療の症例 治療後](https://seimitsushinbi.jp/wp/wp-content/uploads/2021/01/08b00294d18b426c4a403cba0a149a80-500x350.jpg?v=1609913645)
セラミック治療の注意事項(リスク・副作用など)
- 天然歯を削ります
- 硬い素材は天然歯を傷つけてしまう場合があります
- かみ合わせや歯ぎしりが強すぎる方はセラミックが割れてしまう可能性があります
- 自費診療(保険適用外治療)となります
