症例詳細
Case detail
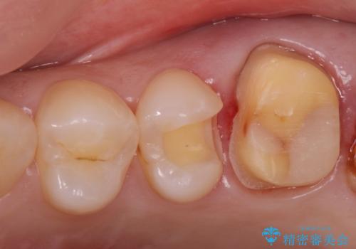
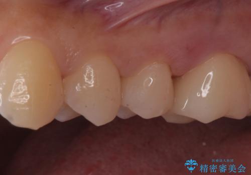
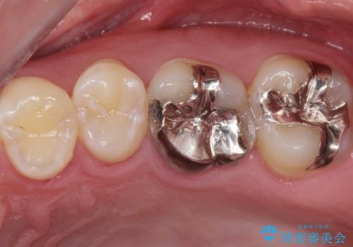
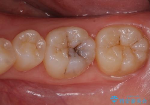
口を開けたら銀が目立つのが気になる。
治療症例の内容
- 診療科目
- 担当医
- 青山卓弘(ドクタープロフィール)
- 患者様
- 40代女性
- 治療期間
- 1ヶ月
- 治療回数
- 2-5回
- 治療計画
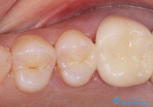
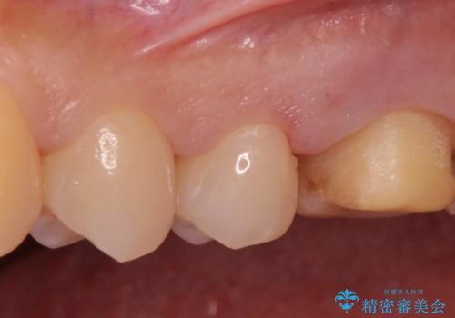
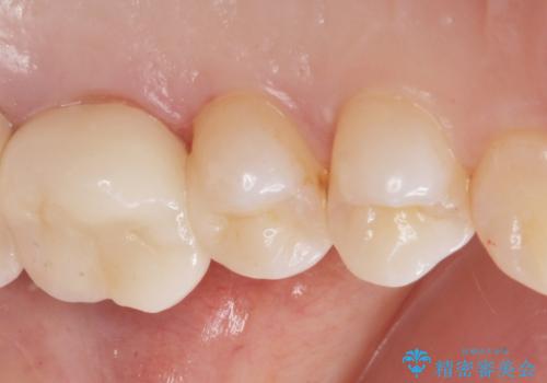
- 銀が目立つので白くしたいとの事で来院。
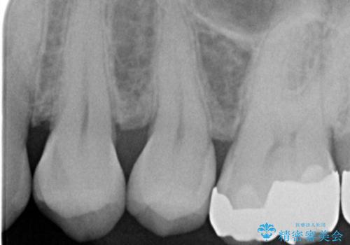
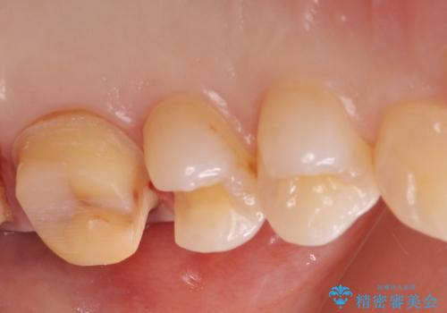
銀の詰め物を拡大鏡下で取り除き、う蝕がないことを確認してから
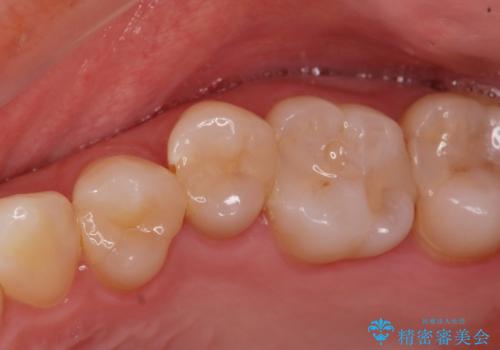
ZrCrの被せ物で治療を行いました。
また、一つ手前の歯に小さな虫歯があったため
e-maxインレーでの治療を行いました。
- 費用(概算)
- ジルコニアクラウン・仮歯・e-maxインレー 19.8万円費用は治療当時の料金となります
治療について
銀の詰め物の範囲が大きいほど
やりかえをする時、セラミックの詰め物だと割れるリスクがあるため
ZrCrの被せ物のご案内をする事があります。
セラミック治療の注意事項(リスク・副作用など)
- 天然歯を削ります
- 硬い素材は天然歯を傷つけてしまう場合があります
- かみ合わせや歯ぎしりが強すぎる方はセラミックが割れてしまう可能性があります
- 自費診療(保険適用外治療)となります
その他の注意事項(リスク・副作用など)
- 担当歯科医師、歯科衛生士又は医院スタッフから受けた説明・注意事項をよくご確認ください
- 医療を提供するに当たり、適切な説明を行い、患者様の十分な理解を得るよう努めております
当サイトの内容、テキスト、画像等の無断転載、複製、複写、盗用を固く禁じます。










