症例詳細
Case detail
放置した奥歯の虫歯 インプラントによる欠損補綴治療
治療症例の内容
- 担当医
- 藤巻太一朗(ドクタープロフィール)
- 患者様
- 30代女性
- 治療期間
- 8ヶ月
- 治療回数
- 5-10回
- 治療計画
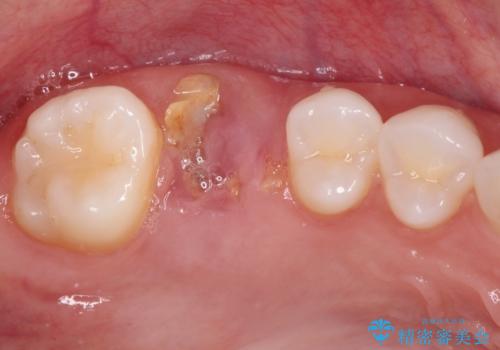
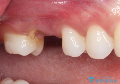
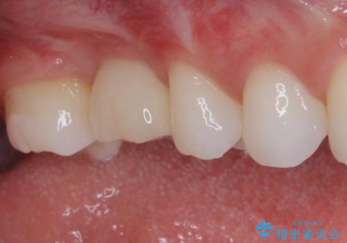
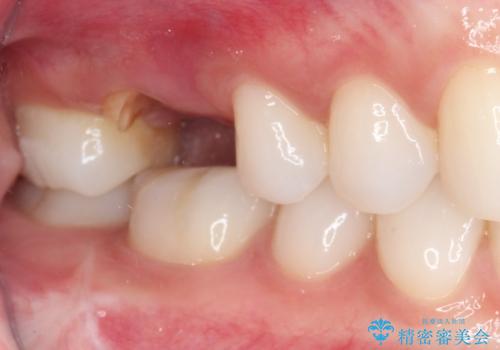
- 歯がほとんどなくなってしまうまで虫歯を放置してしまったとのことで来院された患者様です。
抜歯が必要であることは患者様自身も理解されており、インプラントによる欠損補綴治療を希望されていらっしゃいました。
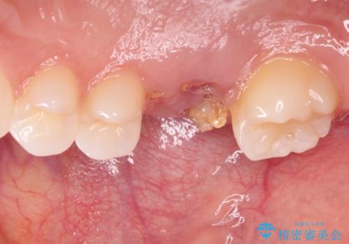
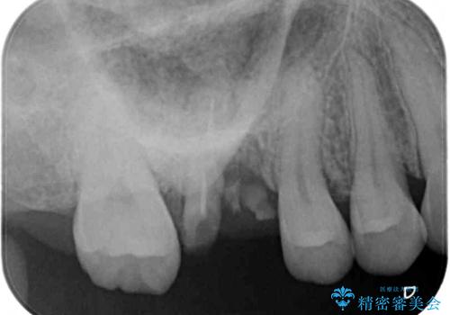
抜歯前のCTにより、インプラントを埋入するために必要な歯槽骨量が不足することが予想されたため、サイナスソケットリフトにより上顎洞内の粘膜を挙上して、インプラントを埋入することとしました。
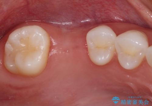
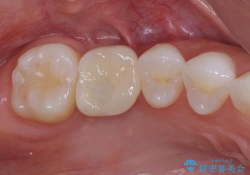
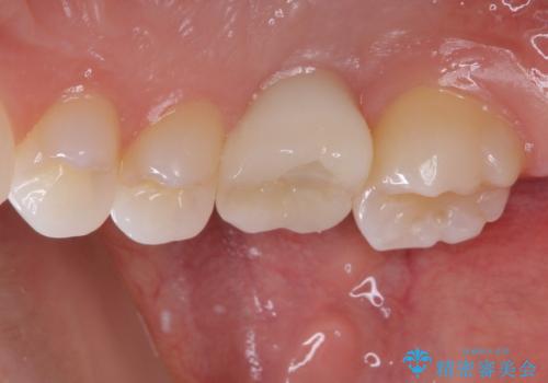
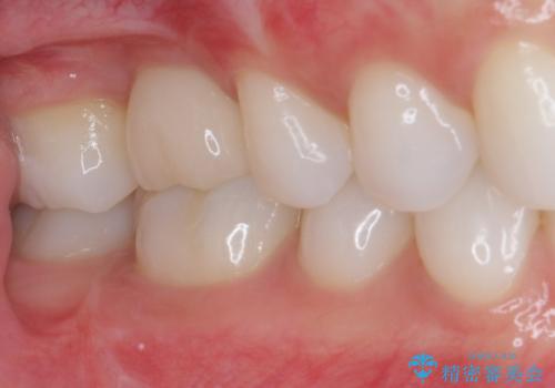
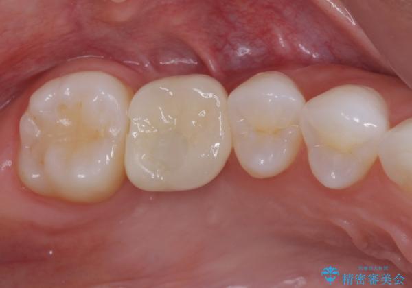
その後は、オールセラミッククラウンにて補綴することとしました。
- 費用(概算)
- 治療費の目安: 45万円(税込)費用は治療当時の料金となります
治療について
虫歯を放置した期間が長かったため、対合の下顎大臼歯が上顎に迫ってきており、咬み合わせは非常にシビアでした。
仮歯装着中に頻繁に脱離したため、オールセラミッククラウンは脱離の少ないスクリュータイプとしました。
インプラント治療の注意事項(リスク・副作用など)
- 外科手術のため、術後に痛みや腫れ、違和感を伴います
- メンテナンスを怠ったり喫煙により、お口の中に大きな悪影響を及ぼすインプラント周囲炎等にかかる可能性があります
- 糖尿病、肝硬変、心臓病等の場合、インプラント治療ができない可能性があります
- 高血圧、貧血・不整脈等の場合、インプラント治療後に治癒不全を招く可能性があります
- 自費診療(保険適用外治療)となります
セラミック治療の注意事項(リスク・副作用など)
- 天然歯を削ります
- 硬い素材は天然歯を傷つけてしまう場合があります
- かみ合わせや歯ぎしりが強すぎる方はセラミックが割れてしまう可能性があります
- 自費診療(保険適用外治療)となります
当サイトの内容、テキスト、画像等の無断転載、複製、複写、盗用を固く禁じます。















