症例詳細
Case detail
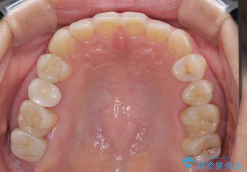
見た目の不揃いなセラミックを統一感のある歯に
治療症例の内容
- 診療科目
- 治療カテゴリ
- 担当医
- 藤巻太一朗(ドクタープロフィール)
- 患者様
- 30代女性
- 治療期間
- 1ヶ月
- 治療回数
- 2-5回
- 治療計画
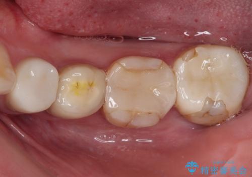
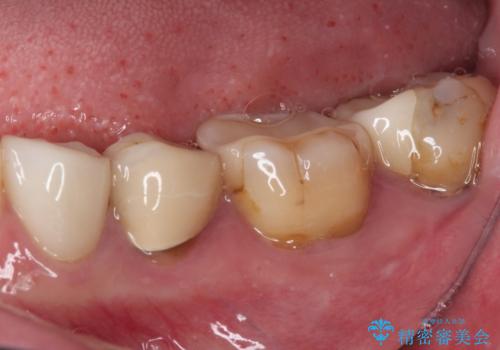
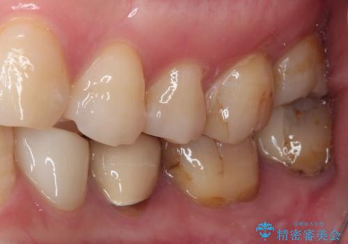
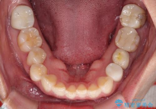
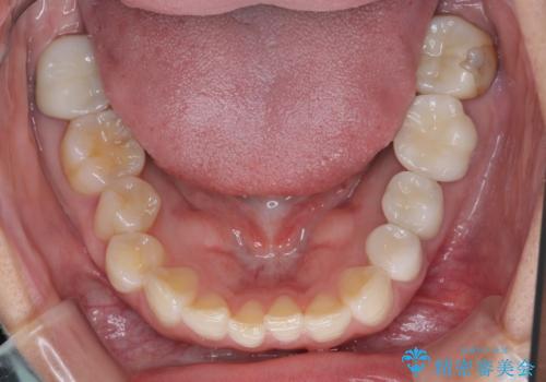
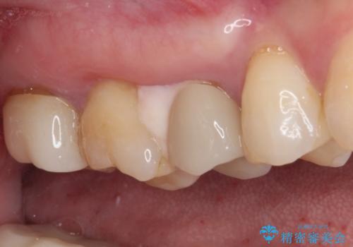
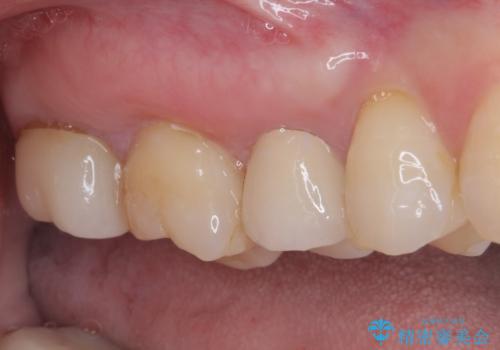
- 見た目の不揃いなセラミックと、痛みを感じる歯を気にして来院された患者様です。
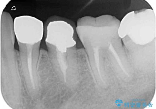
右上の歯は噛んだときに何カ所か痛みを感じるとのことで、診査したところ第二小臼歯が患歯と疑われました。
患者様は他の歯にも痛みを感じるとおっしゃっていましたが、そのような所見が認められなかったため、まずは第二小臼歯を処置し、その痛みが引いた後に再診査することとしました。
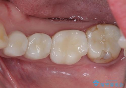
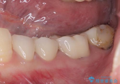
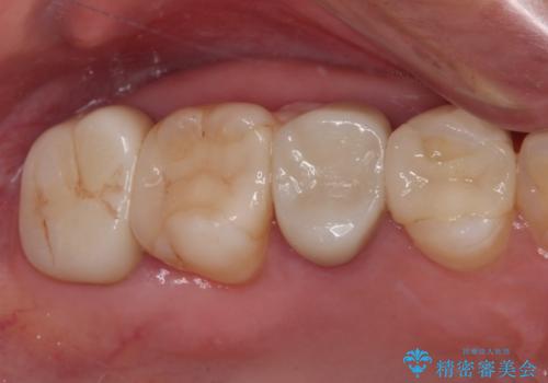
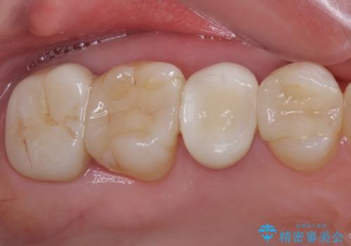
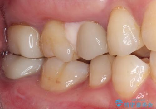
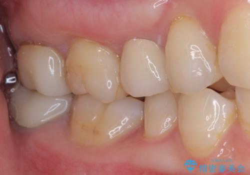
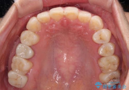
痛みが引いた後、不揃いな見た目で気になっていた左下の奥歯とともにオールセラミッククラウンにて補綴治療を行うこととしました。
- 費用(概算)
- 治療費の目安: 50万円(税込)費用は治療当時の料金となります
治療について
右上の歯は、第二小臼歯の初回処置後に痛みを感じなくなったため、他の歯については問題なしと診断しました。
将来ホワイトニングをされるとのことで、前歯よりもやや白い色合いのオールセラミッククラウンを選択されました。
セラミック治療の注意事項(リスク・副作用など)
- 天然歯を削ります
- 硬い素材は天然歯を傷つけてしまう場合があります
- かみ合わせや歯ぎしりが強すぎる方はセラミックが割れてしまう可能性があります
- 自費診療(保険適用外治療)となります
当サイトの内容、テキスト、画像等の無断転載、複製、複写、盗用を固く禁じます。




















