症例詳細
Case detail
裏側矯正の途中で海外へ インビザライン・チェンジによる矯正治療
治療症例の内容
- 患者様
- 20代女性
- 矯正装置
- リンガル・インビザライン
- 治療期間
- 6年9ヶ月
- 治療回数
- 10-30回
- 治療計画
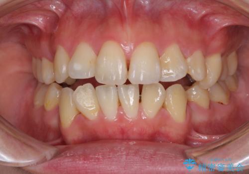
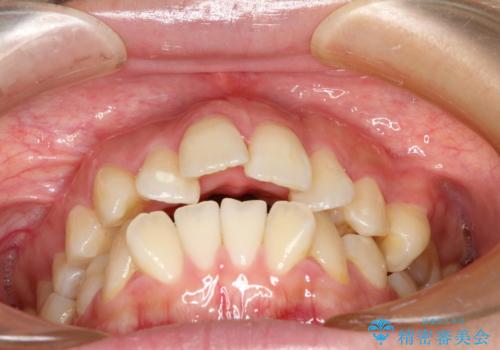
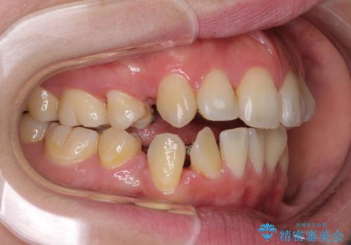
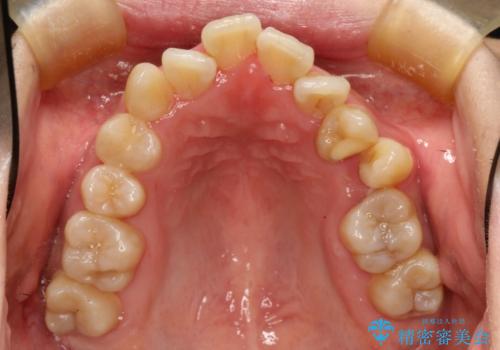
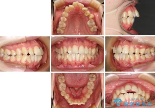
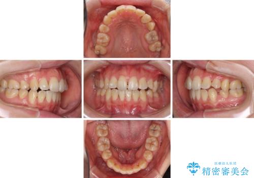
- 口元の突出感とデコボコを裏側装置で矯正をしたいとのことで来院された患者様です。
欠損があったり、順序が逆になって萌えている部分があったりしていましたが、第1小臼歯を抜歯することでデコボコを整えながら口元を引っ込めていくこととしました。
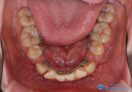
虫歯や処置された歯が多く、上下のズレも大きかったため、裏側矯正はおすすめできませんが、患者様の強い希望により裏側装置で矯正治療を行うこととしました。
- 費用(概算)
- 治療費の目安: 180万円(税込)費用は治療当時の料金となります
治療について
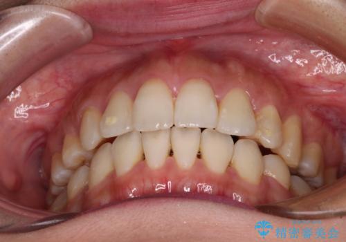
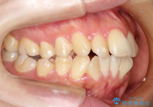
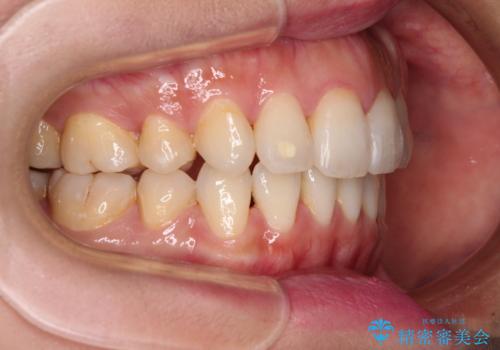
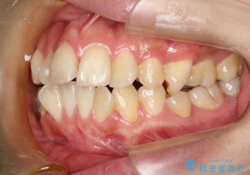
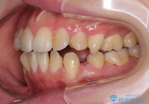
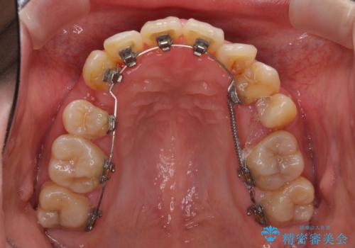
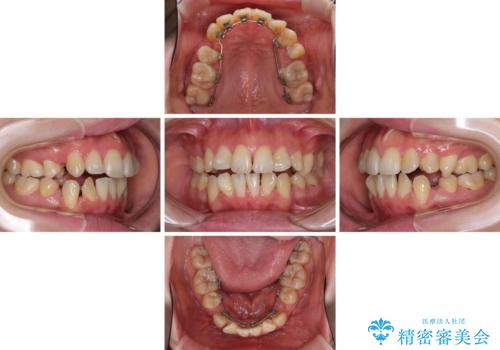
矯正治療を開始して2年半ほどが経過し、治療の終了が見えてきた頃、急遽海外へ転居することが決まり、ワイヤー装置での治療継続が不可能となってしまいました。
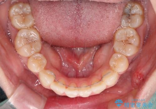
海外へ転居する前にインビザラインへ装置を変更し、転居後は帰国のタイミングに合わせて処置を進めて行くことになりました。
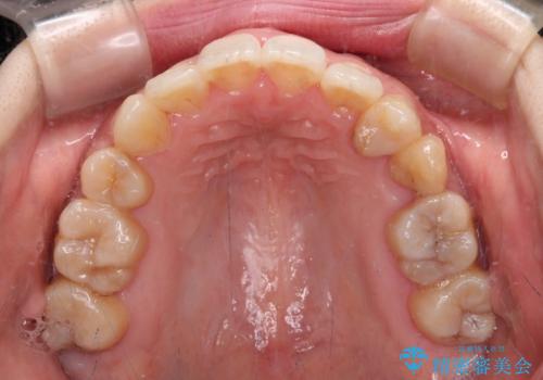
なかなか帰国できない中、何とか治療を進め、4年間のマウスピース矯正により治療を終えることができました。
ワイヤー矯正の注意事項(リスク・副作用など)
- 治療中は違和感や痛みが起こることがあります
- 症状により、抜歯が必要な場合があります
- 治療中は歯磨きがしにくくなるため、虫歯や歯周病になりやすくなります
- 矯正治療後の保定が不十分だと後戻り(元の位置に戻ろうとする動き)をします
- 自費診療(保険適用外)となります
マウスピース矯正の注意事項(リスク・副作用など)
- 口腔内・歯並びの状態によっては対応できない場合があります
- マウスピース型矯正装置の長時間装着(1日20時間以上)が必須です
- 治療計画通りに進めるためには、患者様の意志が重要になります
- 矯正治療後の保定が不十分だと後戻り(元の位置に戻ろうとする動き)をします
- 薬機法対象外の矯正歯科装置のため医薬品副作用被害救済制度の対象外となる場合があります
- 自費診療(保険適用外)となります
当サイトの内容、テキスト、画像等の無断転載、複製、複写、盗用を固く禁じます。



























