症例詳細
Case detail
クロスバイトの前歯を治したい ワイヤー装置でも抜歯矯正
治療症例の内容
- 診療科目
- 担当医
- 藤巻太一朗(ドクタープロフィール)
- 患者様
- 50代女性
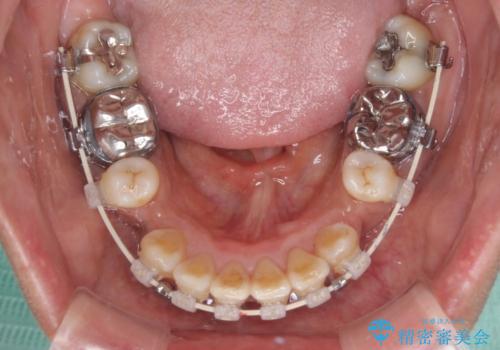
- 矯正装置
- 審美装置
- 治療期間
- 2年4ヶ月
- 治療回数
- 10-30回
- 治療計画
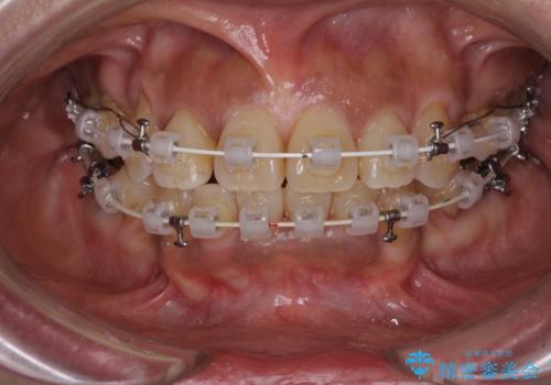
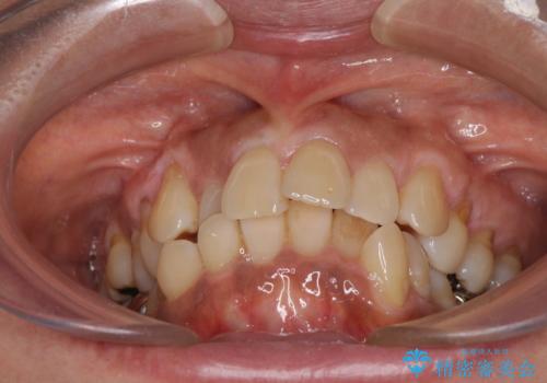
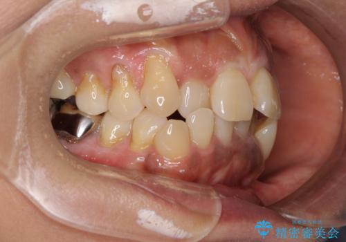
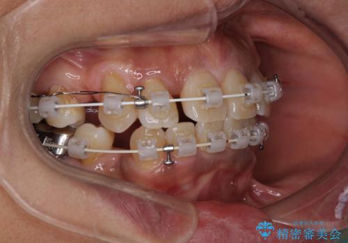
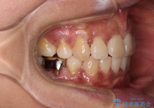
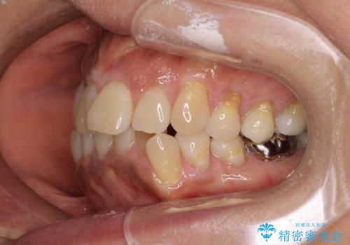
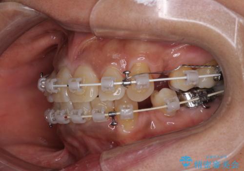
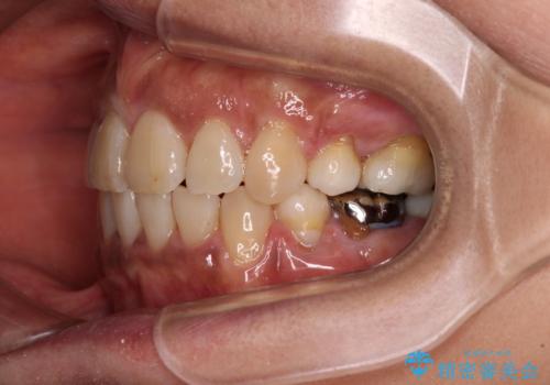
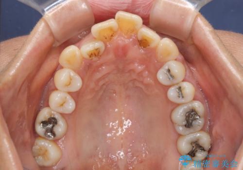
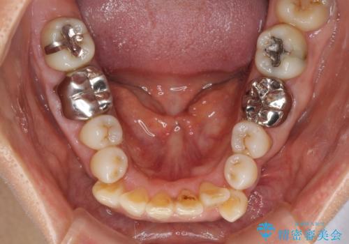
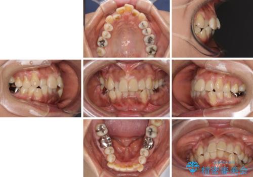
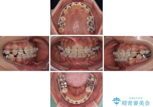
- 八重歯やクロスバイトを気にして来院された患者様です。
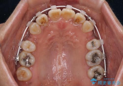
口元の突出感はありませんでしたが、デコボコが強く、非抜歯矯正とすると出っ歯仕上がりとなる可能性があったため、上下左右の第一小臼歯4本を抜歯し、ワイヤー装置にて矯正治療を行うこととしました。
- 費用(概算)
- 治療費の目安: 105万円(税込)費用は治療当時の料金となります
治療について
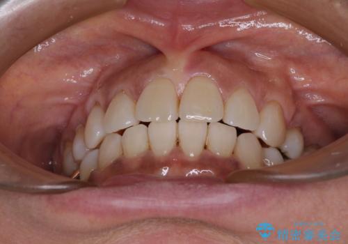
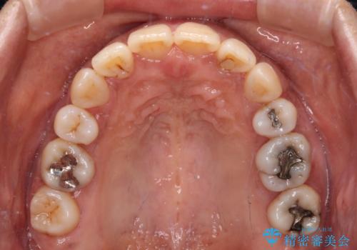
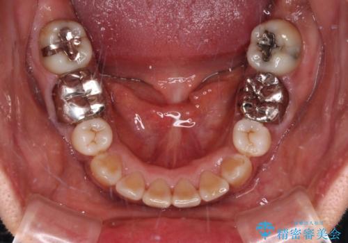
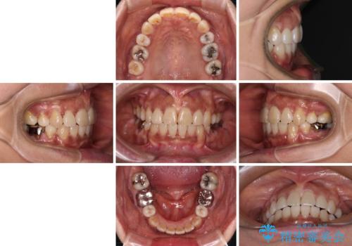
抜歯矯正により口元が引っ込みすぎて、ほうれい線が顕著となるのではないかと心配しておりましたが、矯正後にほうれい線が気になることはなく、口元もすっきりとした感じになりました。
ワイヤー矯正の注意事項(リスク・副作用など)
- 治療中は違和感や痛みが起こることがあります
- 症状により、抜歯が必要な場合があります
- 治療中は歯磨きがしにくくなるため、虫歯や歯周病になりやすくなります
- 矯正治療後の保定が不十分だと後戻り(元の位置に戻ろうとする動き)をします
- 自費診療(保険適用外)となります
当サイトの内容、テキスト、画像等の無断転載、複製、複写、盗用を固く禁じます。


























