症例詳細
Case detail
【モニター】閉じにくい口元 ワイヤー装置での抜歯矯正
治療症例の内容
- 診療科目
- 担当医
- 藤巻太一朗(ドクタープロフィール)
- 患者様
- 20代女性
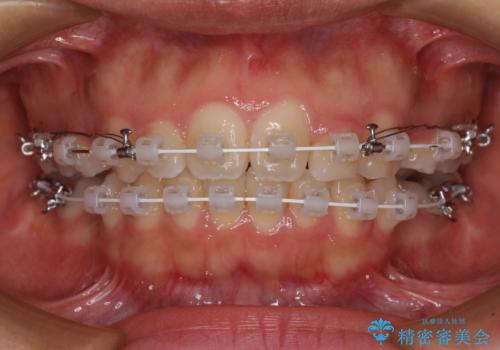
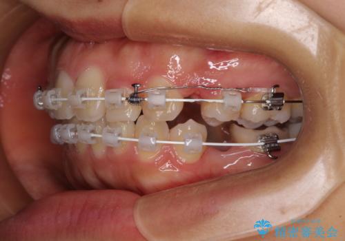
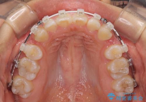
- 矯正装置
- 審美装置
- 治療期間
- 2年2ヶ月
- 治療回数
- 10-30回
- 治療計画
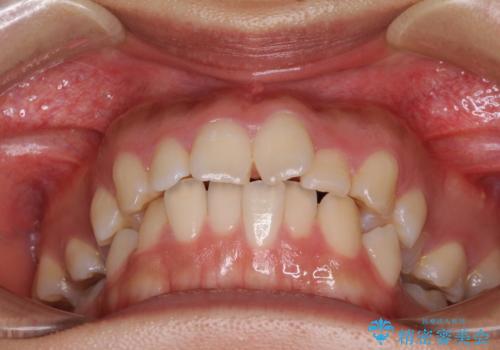
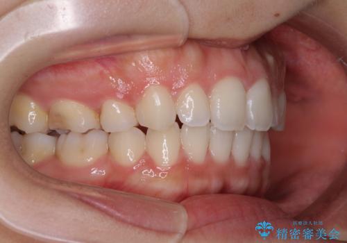
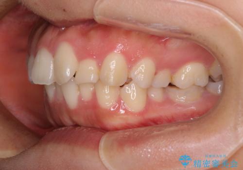
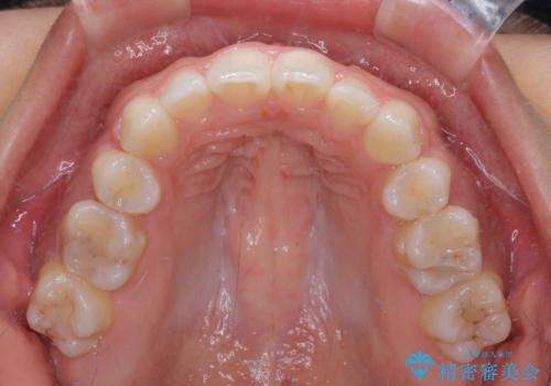
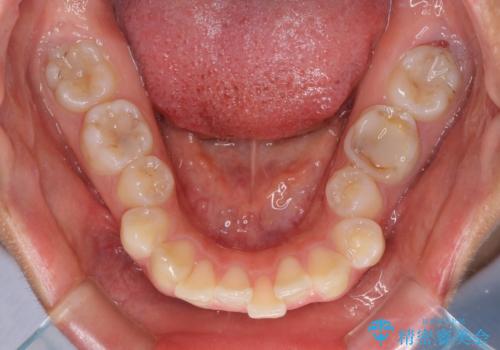
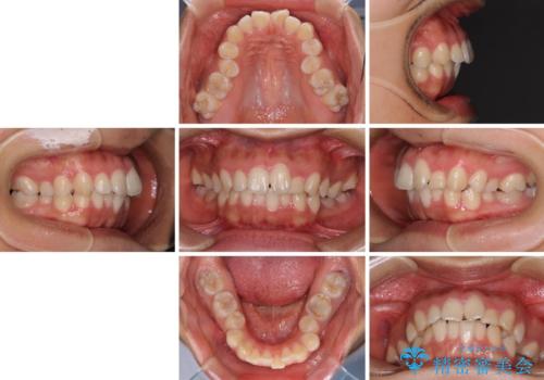
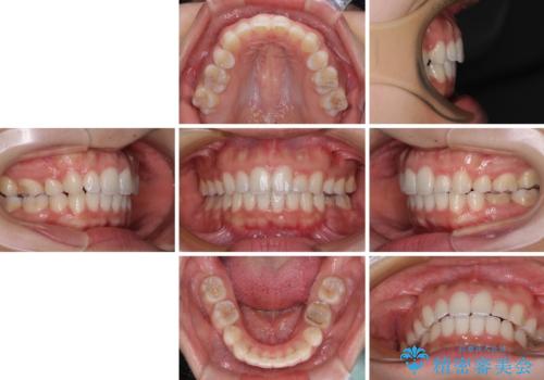
- 咬み合わせと口元の突出感を気にして来院された患者様です。
上顎に対して、下顎が後方にある咬み合わせであるため、上顎左右小臼歯のみの抜歯か、下顎左右小臼歯も抜歯とするのか悩むところでした。
まずは上顎のみ抜歯を行って矯正治療を進め、下顎小臼歯も抜歯が必要となれば速やかに抜歯することとしました。
- 費用(概算)
- 治療費の目安: 100万円(税込)費用は治療当時の料金となります
※顔写真掲載にあたり、患者様の了解を得ております
治療について
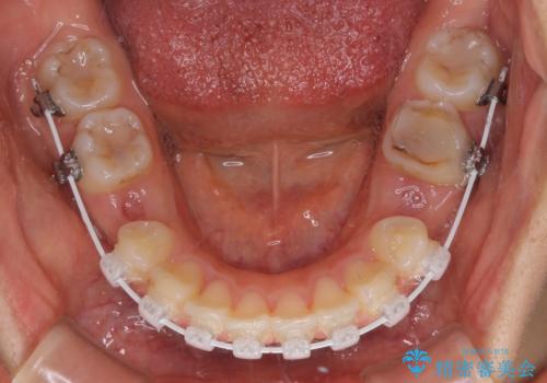
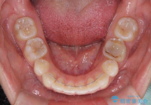
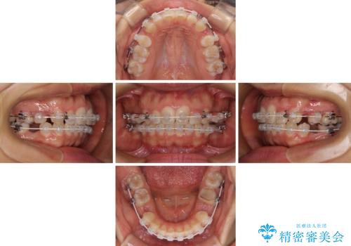
上顎抜歯のみでは奥歯の咬み合わせを改善することが困難であったため、途中で下顎小臼歯も抜歯をしました。
抜歯のタイミングが遅れると治療期間が長期化するため、速やかに抜歯の判断をし、2年強の期間で治療を終えることができました。
ワイヤー矯正の注意事項(リスク・副作用など)
- 治療中は違和感や痛みが起こることがあります
- 症状により、抜歯が必要な場合があります
- 治療中は歯磨きがしにくくなるため、虫歯や歯周病になりやすくなります
- 矯正治療後の保定が不十分だと後戻り(元の位置に戻ろうとする動き)をします
- 自費診療(保険適用外)となります
当サイトの内容、テキスト、画像等の無断転載、複製、複写、盗用を固く禁じます。


























