症例詳細
Case detail
治療途中で転院 奥歯のセラミック補綴治療
治療症例の内容
- 診療科目
- 治療カテゴリ
- 担当医
- 藤巻太一朗(ドクタープロフィール)
- 患者様
- 40代男性
- 治療期間
- 3ヶ月
- 治療回数
- 2-5回
- 治療計画
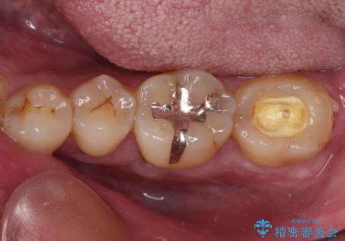
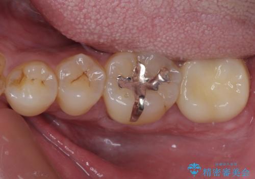
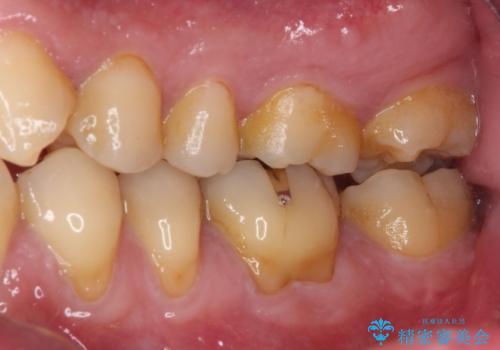
- 職場近くで通っていた医院の先生が体調不良で診療できなくなったとのことで、転院されてきた患者様です。
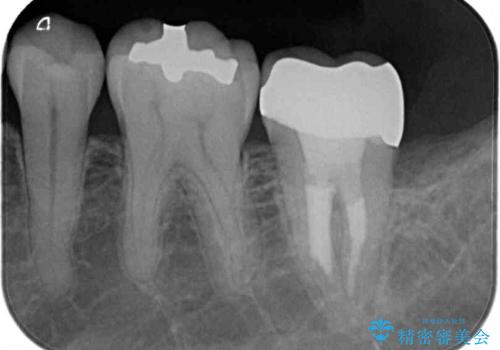
既に根管治療を終えている状態での来院で、クラウンを装着を希望されていらっしゃいました。
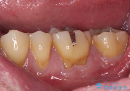
レントゲン写真より根管治療のやり直しをお勧めしたところ、ラバーダム使用下で処置を行うことを希望されたため、根管治療を行った後にオールセラミッククラウンにて補綴治療を行うこととしました。
- 費用(概算)
- 治療費の目安: 28万円(税込)費用は治療当時の料金となります
治療について
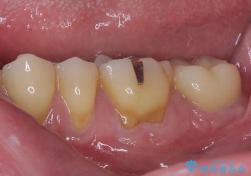
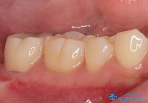
後方は歯肉内にまで虫歯が及んでいたため、歯肉の一部を切除して、クラウンとの境目を明示して処置を行いました。
クラウン装着後には、来院時に気になさっていた歯肉の腫れが解決され、快適に生活を送れるようになりました。
セラミック治療の注意事項(リスク・副作用など)
- 天然歯を削ります
- 硬い素材は天然歯を傷つけてしまう場合があります
- かみ合わせや歯ぎしりが強すぎる方はセラミックが割れてしまう可能性があります
- 自費診療(保険適用外治療)となります
当サイトの内容、テキスト、画像等の無断転載、複製、複写、盗用を固く禁じます。










